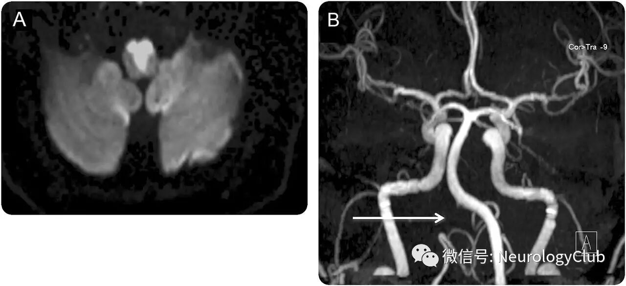
63岁有多种血管危险因素的男性,表现为突发左侧偏瘫,迅速进展至四肢瘫痪,构音障碍,双侧舌下神经麻痹和呼吸衰竭。给予重组组织型纤溶酶原激活剂静脉溶栓。MRI证实双侧延髓内侧面梗死(图,A),CT和MRA提示右侧椎动脉V4闭塞,推测可能与动脉粥样硬化相关(图,B)。3月后舌头运动完全恢复。
Dejerine综合征是一种罕见的卒中综合征;其嘴部双侧受累在MRI上呈现特征性的“心征”(图,A)。

(图:A:DWI:双侧延髓内侧面梗死;B:MRA:右侧V4闭塞[白箭])
(视频1:外侧舌部随意运动不能,但下颌横向运动保留[不同神经支配])
(视频2:外侧舌部运动完全恢复)
[参考文献]
Tsetsou S, Beuchat I, Laginha I, Michel P.Complete lingual palsy from bilateral Dejerine syndrome (bilateral medial medullary stroke).Neurology. 2016 Aug 2;87(5):550.
请尊重我们的劳动成果,转载不要忘了注明出处哦~~~

神经病学俱乐部 微信号:NeurologyClub神经病学俱乐部,立足一线临床,服务神经科同行,助力神经病学天天向上