穿支动脉粥样硬化疾病研究进展

1989年,Caplan根据3例患者的病理结果首先提出了穿支动脉粥样硬化疾病(branch atheromatous disease,BAD)这一新的病理概念。BAD即由于动脉粥样硬化所致的穿支动脉口狭窄或闭塞导致的脑深部的单个脑梗死,主要用来区分由小动脉纤维玻璃样变所导致的腔隙性脑梗死(lacunar infarction,LI)或小血管病(small vessel disease)。尽管这一概念的提出已经过去20多年,但是由于临床上很难获取该类患者的病理组织学标本,导致该病在病理方面的研究仍无明显进展。影像学特别是MRI技术的进步,给BAD影像方面的研究开辟了新道路。我们可以通过磁共振弥散加权成像(DWI)上梗死灶与载体动脉的位置关系,通过头颅磁共振脑血管造影(MRA)观察载体动脉来间接确定BAD以及BAD的类型。目前有关BAD的影像方面的研究逐步增多,但有关BAD影像学定义并不统一,且所得结果仍存在差异。由于受限于现有影像学技术,目前我们尚不能直接观察到穿支动脉管壁及管腔内部的结构。因此,为了便于临床实践,中国缺血性卒中亚型(Chinese ischemic stroke subclassifieation,CISS)分型中将穿支动脉疾病作为一型单独列出来,而不再具体细分BAD和小血管病。但影像学技术的发展(高分辨MRI以及高场强Mm)仍给我们未来的研究带来了希望。文中穿支动脉疾病包括BAD和小血管病,而BAD的定义则忠于其最初的病理学的定义。我们就BAD的定义以及临床和影像学方面的进展进行综述。

一、BAD相关概念

1. BAD的概念广义的BAD包括了Caplan提出的3种病理表现形式(载体动脉的粥样硬化斑块导致穿支动脉开口部狭窄或闭塞;载体动脉的粥样硬化斑块延伸至穿支动脉开口处;穿支动脉起始部的微动脉粥样硬化)狭义的BAD特指穿支动脉起始部的微动脉粥样硬化(根据CISS分型)由于穿支动脉口粥样硬化(BAD)或小动脉纤维玻璃样变(小血管病)所导致的急性穿支动脉区孤立梗死灶被称为穿支动脉疾病发生在穿支动脉供血区孤立的急性梗死叫穿支动脉梗死


2. BAD、LI与CISS分型:1965年,Fisher根据临床及解剖研究提出了“腔隙假说”,试图在形态学与临床、病因和治疗之间寻找或建立某种联系。目前认为经典的LI为分布于脑穿支动脉的供血区,病灶直径<15mm的缺血性梗死灶,通常是大脑中动脉、大脑后动脉、基底动脉的穿支闭塞引起常见累及部位为基底节、丘脑、脑桥、尾状核等,临床上主要表现为5种常见的腔隙综合征之一。临床上,LI被等同于小血管闭塞,而归属于缺血性脑卒中的一种临床亚型(如TOAST分型)。LI常见于高血压和糖尿病的患者。其病理类型为小动脉(直径100-400μm)纤维玻璃样变和脂质透明样变目前认为其病理及发病机制可以是脂质透明变性,纤维素样坏死、栓塞、微小动脉粥样硬化以及其他原因。而其中穿支动脉微小动脉粥样硬化为BAD的3种病理表现形式之一。根据CISS分型,对于穿支动脉区存在孤立梗死灶的患者,如果发现其载体动脉有粥样硬化斑块或任何程度的粥样硬化性狭窄,则归入颅内外大动脉粥样硬化型。因此,Caplan提出的BAD的3种病理表现形式在CISS分型中分别归类到大动脉粥样硬化型(载体动脉的粥样硬化斑块导致穿支动脉开口部狭窄或闭塞;载体动脉的粥样硬化斑块延伸至穿支动脉开口处)或者穿支动脉疾病(穿支动脉起始部的微动脉粥样硬化)

二、解剖病理

豆纹动脉由大脑中动脉M1段垂直发出,分为内外侧两组供应豆状核、内囊前后肢的上2/3,以及侧脑室旁前部的尾状核体部分脑桥穿支动脉起自基底动脉,主要为脑桥旁正中动脉、脑桥短旋支和长旋支。研究显示豆纹动脉(大脑中动脉穿支动脉)可单独发出或以共干的形式发出。Feekes等对穿支动脉的微血管分布进行了研究(包括豆纹动脉)。结果显示穿支血管的1级、2级和3级分支构成了终末端的微血管床,这一结构是解释LI的结构基础。Phan等发现穿支区梗死的大小取决于穿支血管的分级,1级穿支病变者梗死灶最大,3级穿支病变者梗死灶最小,其中最大的梗死直径可达30mm


Fisher对10例患者的11个基底节区的腔隙包括责任穿支动脉进行了细致的研究。结果显示其中9个存在责任血管病变,这部分的血管直径为300-800mm。8个存在穿支血管堵塞,1例的动脉粥样斑块堵塞了豆纹动脉内侧组,很可能导致了内侧组穿支动脉的开口处的堵塞。


1989年,Caplan提出BAD时提供了3例脑桥梗死患者的尸检病理结果。其中2例患者起源于基底动脉的穿支动脉开口处存在严重的堵塞。其中1例为基底动脉斑块导致了穿支动脉闭塞,另外1例患者的基底动脉粥样硬化斑块延伸至穿支动脉开口处。第3例患者为双侧脑桥梗死患者,1个穿支动脉开口处存在微小夹层导致斑块出现裂口。这一概念扩展至其他颅内动脉,包括豆纹动脉、丘脑膝状体动脉以及脉络膜前动脉等。根据梗死灶与载体动脉的位置关系,梗死可分为近端BAD和远端小血管玻璃样变,即BAD和小血管病

三、临床及影像特点

BAD的危险因素包括常见的血管病危险因素,如高血压、糖尿病、高脂血症、吸烟。研究显示BAD患者高血压、糖尿病和高脂血症的发生率分别为50%-92%、23%-63%和17%-86%。理论上BAD多与糖尿病和无症状性脑动脉粥样硬化相关而小血管病与高血压、脑白质疏松症以及微出血密切相关BAD组梗死体积更大,NIHSS评分较高。然而也有研究显示BAD组患者高血压、糖尿病、高脂血症等血管病传统危险因素的发生率与小血管病组并无明显差异。


BAD所致脑梗死在临床上与小血管病所导致的经典腔隙综合征相似理论上BAD累及的穿支动脉包括大脑前动脉、大脑中动脉、大脑后动脉、椎动脉及基底动脉所发出的所有穿支动脉前循环主要分支有豆纹动脉(大脑中动脉的分支)和Heubner回返动脉(大脑前动脉的分支),供应基底节和内囊;还包括脉络膜前动脉,其起源于颈内动脉,供应放射冠后部、内囊、尾状核尾部和苍白球中部后循环包括丘脑穿通动脉(大脑后动脉的分支)、丘脑膝状体动脉(大脑后动脉的分支)、脑桥旁正中动脉和短旋支(基底动脉的分支)。这些穿支动脉较小,载体动脉粥样硬化斑块容易导致单支或邻近多支穿支动脉闭塞。豆纹动脉及脑桥旁正中动脉所致的梗死相对容易识别,因此临床研究多集中在这两者的供血区域。目前认为BAD在急性期易出现早期神经功能恶化,其次是短期的临床转归欠佳


单纯从临床症状及体征很难区分BAD和小血管病,目前均通过临床影像来分辨豆纹动脉的BAD大多由于动脉粥样硬化斑块阻塞豆纹动脉开口,形成靠近大脑中动脉且至下向上似扇形扩展的“逗号样”梗死灶一般认为病灶在头部轴位DWI影像上≥3个层面,病灶大小≥10mm或者15mm脑桥BAD的MRI影像特征是梗死灶靠中线,病灶多为楔形,底部紧靠脑桥腹侧表面,尖部朝向脑桥被盖;病灶大部分位于基底动脉旁中央支的供血区域内,常位于脑桥中下部,很少累及第四脑室底,多数情况下不同时合并脑桥外病灶

四、诊断

BAD来源于病理组织学研究,是一种病理诊断标准。由于临床上很难获取该类患者的病理组织学标本,因此目前诊断多为临床诊断。Caplan提出这一概念时已经为我们提供了临床诊断BAD的几点建议:(1)深部小梗死灶局限于1个或少数几个穿支动脉供血区域,特别是影像检查发现梗死灶位于载体动脉正上方。如果存在以下情况梗死灶可以超过1个穿支支配区:既往存在无症状性的相邻穿

支动脉闭塞并且此次累及的穿支动脉提供侧支供血给既往闭塞的穿支动脉。(2)既往存在节律性缺血发作,如短暂性脑缺血发作(TIA)或者症状体征逐步进展加重(提示血栓形成而不是栓塞)。(3)血管检查未发现明显大动脉狭窄闭塞,心脏评估排除心源性栓塞的证据。(4)既往无高血压病史,无高血压所导致的靶器官损害的证据


1. 病理诊断:病理上,由于动脉粥样硬化所致的穿支动脉口狭窄或闭塞,导致脑深部的单个脑梗死。由于很难获得病理组织学标本,因此病理诊断困难。


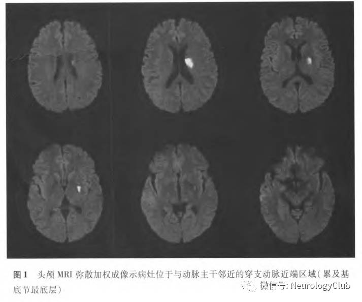
2. 临床诊断:目前临床上主要是通过MRI DWI上梗死灶与载体动脉的位置关系来确定(图1)。不同研究所采用的定义尚不统一。Yamamoto等将BAD定义为DWI上累及基底节区3个或以上层面且直径大于10mm的孤立梗死灶。Nakase等将BAD定义为DWI上累及基底节区3个或以上层面且直径>15mm的孤立梗死灶。Jeong等将BAD定义为在层厚为5mm的头颅MRI检测中,病灶在DWI上累及基底节区4个层面。Nah等将大脑中动脉供血区BAD定义为梗死灶累及基底节的最底部,且梗死灶大小限定为≤20mm。关于基底动脉穿支动脉疾病的定义比较明确(图2):在脑桥旁正中动脉供血区,梗死病灶在头部轴位DWI上由脑桥深部延伸至脑桥腹侧表面


3. 穿支动脉梗死灶大小标准:以往根据病理研究结果将由于小血管病所导致的LI限定于<15mm。而15mm的诊断标准来源于早期尸体解剖的研究结果。随着影像学的发展,目前多倾向于将头颅MRI上20mm作为标准大脑中动脉供血区穿支分布区脑梗死病灶的大小与累及的动脉直径和数目有关,病灶越大,累及的穿支动脉越多。有学者认为巨大LI与大脑中动脉狭窄有关。而一些学者认为并不存在一个明确的临界。有关基底节微血管分布的解剖学研究显示,基底节区穿支血管分为1-3级。基于头颅MRI的研究发现,梗死的大小取决于穿支血管的分级,1级穿支血管梗死病灶最大,其最大的梗死直径可达30mm。目前根据梗死直径大小来区分LI存在争议,对于大小的限定对结果会产生不同的影响。我们的研究并未限定梗死大小的上限,而把所有大脑中动脉供血区的单个梗死的患者全部纳入研究。

五、目前研究现状

1. BAD和小血管病临床特点:尽管BAD源于病理研究,由于很难获得病理组织学标本,因此针对BAD的病理研究很困难。临床上均间接通过神经影像方面的手段进行研究。理论上BAD患者动脉粥样硬化特征更为明显。而小血管病高血压患者小血管病变的特征更为突出。因此目前临床研究多关注于两组患者的危险因素,影像学特征,神经系统评分严重程度以及预后。有关BAD的研究包括前循环和后循环。前循环多集中于豆纹动脉和Heubner动脉,供应基底节和内囊区域后循环研究多集中在基底动脉旁中央支和短旋支,两者血液主要供应脑桥


与小血管病相比较,BAD血管病变位于穿支动脉近端。因此缺血性病灶大于经典的LI患者。Cho等研究了豆纹动脉供血区的单个皮质下梗死,结果显示存在大脑中动脉狭窄的患者梗死灶较大且更临近主干血管;合并严重的白质疏松的患者梗死灶较小且远离主干血管。关于大脑中动脉供血区的BAD的定义尚有争论,不同研究所采用的定义不一致,其所得结果存在差异。部分研究将BAD定义为DWI上累及基底节区3个或以上层面且直径>15mm的孤立梗死灶。但不同研究所采用的层厚可能不同,这影响了对于结果之间的分析。关于基底动脉穿支动脉疾病的定义比较明确:在脑桥旁正中动脉供血区,梗死病灶在头部轴位DWI上由脑桥深部延伸至脑桥腹侧表面


Nah等将所有入组患者的梗死灶(包括大脑中动脉供血区和基底动脉供血区单发梗死)大小限定为≤20mm。大脑中动脉供血区BAD定义为梗死灶累及基底节的最底部。结果发现小血管病与高血压、脑白质疏松症以及微出血密切相关,但BAD更多地与糖尿病和无症状性脑动脉粥样硬化相关。Yoon等和Zhang等采用与Nah等相同的定义研究大脑中动脉供血区的皮质下梗死,结果显示小血管病组微出血的发生率高于BAD组。但两组间高血压、糖尿病及冠心病等传统血管病危险因素的发生率无显著差异。而Yamamoto等采用不同的BAD定义,结果同样显示两组之间高血压、糖尿病、高脂血症等危险因素无显著差异。Men等观察了220例BAD患者,其白质疏松的发生率高达86.4%。Erro等对孤立脑桥梗死进行研究,结果显示脑桥旁中央梗死组与LI组相比TIA发生率高,而高血压、糖尿病、高脂血症、冠心病、外周血管病及心房颤动的发生率两组间均无显著性差异。


理论上的推测与以上研究所得结果并不一致。这些差异与各研究所使用的BAD定义不同有关。目前对BAD是否归于小血管病或大动脉粥样硬化尚无一致意见。中国CISS分型中将穿支动脉疾病作为一型单独列出,而不再具体细分BAD和小血管病。国内可考虑根据CISS分型的理念,采用统一分类方法及定义,以利于开展大规模临床研究。


2. 早期神经功能恶化(early neurological deterioration,END)及预后:目前研究显示,END更常发生于BAD患者,其发生率波动于17%-75%。当然我们必须认识到目前关于END的定义尚未达成统一,有关END的评分标准及时间标准均存在争议。


Jeong等分析了587例发病48h内的单个皮质下小梗死患者。END的发生率为13.5%,与非END组相比,END组BAD的比例显著增高。而小血管病的影像标志(陈旧LI、白质疏松症、脑微出血)在两组之间无明显差异。一项有关BAD的研究共入组179例BAD患者和129例LI(小血管病)患者,结果显示高同型半胱氨酸血症和C反应蛋白与BAD患者出现END相关。Logistic回归分析显示高同型半胱氨酸血症为进展型BAD患者的独立危险因素。Zhang等的研究显示小血管病组住院时间短,出院时功能依赖比例低,1年内病情恶化和复发的风险低。Nakase等对42例BAD和57例LI(小血管病)患者进行了比较分析。结果显示,相较于小血管病组,BAD组进展性卒中的比例明显升高,分别为12.3%和38.1%。将小脑和脑桥分开分析显示:低密度脂蛋白升高是小脑进展性BAD的最主要的危险因素,而年龄是脑桥进展性BAD的最主要的危险因素


BAD患者的功能预后介于小血管病和大动脉粥样硬化患者之间。Suto等随访1310例患者平均751d,结果显示大的皮质下梗死(>15mm,提示BAD)近期预后与动脉粥样硬化卒中患者相似与经典的LI患者(小血管病)相比,近期预后不良而远期预后相似与心源性卒中和大动脉粥样硬化卒中相比,BAD患者病死率及卒中复发率明显减低


尽管不同研究所采用的BAD及END的定义不尽相同,但目前认为BAD患者更容易出现END,且近期预后相对要差,而远期预后不同研究所得结果也不一致。尽管其具体的病理生理机制尚不清楚,目前认为与局部血栓形成、局部血脑屏障破坏、水肿、炎症以及兴奋性毒性等因素有关。笔者认为应采用统一的分类方法及定义,以利于下一步开展有关BAD的大规模临床研究。


3. 高分辨核磁相关研究:Tatsumi和Yamamoto报道了1例脑桥右侧梗死的患者,头颅MRA显示基底动脉正常,因此临床考虑BAD。该患者9个月后死于肺炎。而病理结果显示基底动脉存在中到重度的动脉粥样硬化。因此该文的作者认为基底动脉正常并不是诊断BAD所必须满足的条件。临床上,对于脑梗死的患者进行病理检查比较困难。而随着神经影像学的发展,通过高分辨MRI检查,有助于提高我们对于BAD的认识。Yoon等研究显示头颅MRA结果正常的患者中,通过高分辨MRI发现51.3%患者存在大脑中动脉斑块。Chung等的研究包括前循环以及后循环的患者,通过高分辨MRI发现60%患者存在载体动脉斑块。Klein等的研究表明,常规MRA检查正常的患者中,42%的脑桥深部梗死患者存在基底动脉斑块。Miyaji等报道了1例脑桥旁中央动脉梗死的患者,高分辨MRI显示基底动脉斑块延伸至旁中央动脉起始部位。


Xu等对载体动脉斑块进行了系列研究。对5例头颅MRA显示正常的患者进行高分辨MRI检查,结果发现存在斑块及管壁增厚。2例头颅MRA存在狭窄的患者显示管壁正常(考虑负性重构)。进一步研究比较了症状性大脑中动脉狭窄和无症状性大脑中动脉狭窄的患者。结果显示,更多有症状大脑中动脉狭窄的患者,有偏心性斑块和扩张性重构;更多无症状患者为缩窄性重构。有关斑块分布与临床相关性研究将管壁的斑块分布分为上方、下方、腹侧和背侧。结果显示,斑块好发部位为管壁下方和腹侧。在症状性大脑中动脉狭窄的患者中,与无穿支动脉梗死组相比,存在穿支动脉梗死的血管壁斑块多位于上方。作者认为需进一步研究明确斑块的部位是否为预测卒中复发的独立危险因素。


最近一项豆纹动脉供血区深部梗死的高分辨MRI研究报道了动脉的负性重构现象(局限管壁内,而对管腔不造成影响),解释了为何MRA正常的患者,行高分辨MRI检查能观察到明显的动脉粥样硬化。以上有关高分辨MRI的研究病例数相对较少,且高分辨MRI并不能观察到穿支动脉本身的情况,其在临床中的应用价值还需进一步验证。

六、治疗与展望

目前,关于BAD的定义尚不统一,缺乏大规模随机对照试验。有关BAD的治疗基本上参照其他的缺血性脑卒中。急性期治疗包括静脉重组组织型纤溶酶原激活剂(rt-PA)溶栓治疗,以及抗血小板聚集、降脂、抗凝、扩容等治疗。Mustanoja等对957例接受rt-PA溶栓治疗患者的病因分型进行了回顾性分析,结果显示穿支动脉区域孤立梗死患者相对于其他类型脑梗死患者,在经静脉rt-PA溶栓治疗后出血率更低,神经功能结局更好。Yamamoto等分3个阶段对BAD患者进行联合抗血小板治疗研究。第1阶段(2001至2005年,105例患者),给予患者当时被认为最好的内科治疗;第2阶段(2005至2009年,104例患者),联合阿加曲班、西洛他唑和依达拉奉治疗;第3阶段(2009至2012年,104例患者),在第2阶段治疗基础上加用氯吡格雷抗血小板治疗。采用改良Rankin量表评分评价患者1个月后的功能状态,结果显示:总体来说第2阶段和第3阶段患者的预后优于第1阶段的患者(P=0.0004,P<0.0001)。西洛他唑在脑桥旁中央供血区组更有优势,而氯吡格雷在豆纹动脉供血区组更具优势


其他治疗包括保持呼吸道通畅、循环系统功能稳定,管理血压、血糖,积极预防感染、下肢静脉血栓及应激性溃疡等并发症也非常关键。对缺血性脑卒中后24h内血压升高的患者,临床上应谨慎处理。一般对于卒中24h后病情稳定的患者,可开始加用降压药物或者恢复既往降压药物理论上对于穿支动脉疾病或小血管病的患者可考虑早期加用降压治疗,并可以早期达标


尽管弥漫白质疏松病变、脑微出血以及血管间隙扩大可以间接反映小动脉玻璃样变,但由于动脉粥样硬化病变与纤维玻璃样变常共存,目前临床上常规影像很难观察到穿支动脉。即便是高场强的MRI也不能观察到穿支动脉管壁情况,因此,在临床诊断上还是难以区分两者。随着影像学的发展,特别是高分辨MRI以及高场强MRI的发展,将来有可能让BAD的临床定义与最初病理定义相一致。


中华神经科杂志  2016年10月第49卷第10期

作者:杨磊 张小雨 胡文立(首都医科大学附属北京朝阳医院神经内科




神经病学俱乐部 微信号:NeurologyClub
神经病学俱乐部,立足一线临床,服务神经科同行,助力神经病学天天向上


分享 :