中年男性,意识模糊,记忆力下降,恶心呕吐伴头痛2周


51岁亚洲男性,表现为意识模糊,记忆力下降和表达性言语障碍伴恶心呕吐以及头痛2周。既往有慢性乙型肝炎病毒感染史,病情稳定。


查体发现患者警觉性较高,地点和人物定向力可,但时间定向力下降。未行详细的认知功能评估。无视乳头水肿。余神经系统检查正常。除血生化提示低钠血症(131mmol/L)和高钾血症(5.3mmol/L)外,常规血化验和胸片均正常。


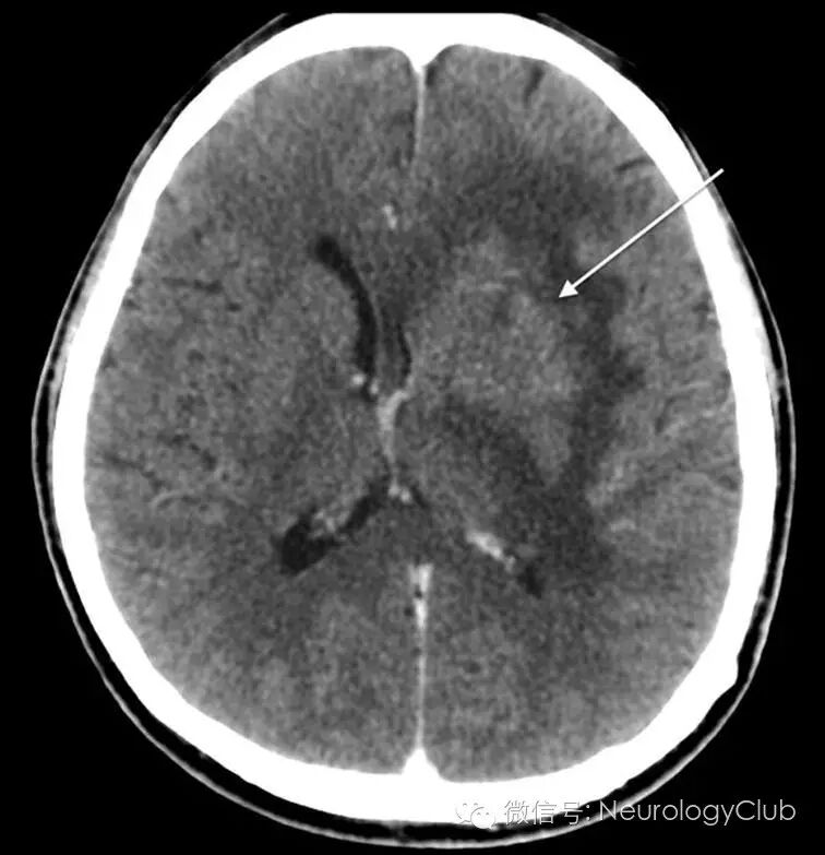
头颅CT提示单发的52×41×38mm不均匀强化肿块,中心位于左侧豆状核,伴周围白质低密度,延伸至左侧额叶、颞叶和顶叶,中线偏移7mm(图1)。初步诊断考虑胶质母细胞瘤。


随后的MRI证实位于左侧基底节区的一较大的不均匀强化肿块,颞叶,岛叶和直回后部均有累及,占位效应存在(图2)。右侧额叶和左侧延髓也有局灶性强化。MRS提示部分区域Cho,NAA和乳酸峰升高。



(图1:增强CT提示单发的52×41×38mm不均匀强化肿块,中心位于左侧豆状核[箭],中线偏移7mm,高度怀疑多形性胶质母细胞瘤



(图2:起初的头颅MRI。T1WI[A],T1增强[B],T2WI[C]和FLAIR[D]证实左侧基底节区的一较大的不均匀强化肿块[箭],颞叶,岛叶和直回后部均有累及,占位效应存在


诊治经过

MRI提示多灶性高级别胶质瘤或中枢神经系统淋巴瘤。行立体定向左侧颞部开颅活检。冰冻切片提示淋巴瘤,但常规病理证实为脑血管炎。因为影像学和组织学不一致,患者行二次活检,最终不考虑淋巴瘤样肉芽肿或嗜血管性T细胞淋巴瘤,支持PACNS的诊断。血清隐球菌、类鼻疽和寄生虫抗体阴性,其他血液学检查和全身影像学无肿瘤依据。抗核抗体、抗可提取性核抗原抗体和类风湿因子阴性。


患者开始接受大剂量口服泼尼松龙和每月静脉注射环磷酰胺治疗。6月后复查头颅MRI可见病灶明显缩小,水肿和占位效应消失,残余的信号改变提示含铁血黄素沉着和脑软化灶,而非持续的炎症反应(图3)。



(图3:治疗后复查头颅MRI。T1WI[A],T1增强[B],T2WI[C]和FLAIR[D]证实强化肿块和异常信号较前明显好转[箭]


最终诊断

原发性中枢神经系统血管炎


讨论

原发性中枢神经系统血管炎(Primary angiitis of the central nervous system,PACNS)是一种引起中枢神经系统血管炎症和破坏的不常见疾病。其病因和发病机制尚不清楚。推测发病率约为2.4/1000000/年,各年龄人群均可受累年(平均50岁),以高加索人种常见。


准确并及时的诊断本病充满挑战,因PACNS可模拟其他疾病且缺乏特异性的血清学检测。


PACNS的临床表现千变万化,常无特异性,其鉴别诊断很多,包括肿瘤,感染,其他结缔组织疾病等。头痛是最常见的症状,常伴随恶心呕吐,正如本例患者。认知功能下降,行为学异常和视觉障碍也可出现。相对少见的症状包括癫痫发作,共济失调,昏迷和颅神经病。全身症状如体重下降,发热和嗜睡罕见,可提示系统性病因。反复的短暂性脑缺血发作或卒中见于30-50%的PACNS患者,可导致局灶性神经功能缺失。


脑活检是诊断PACNS的金标准,推荐开放活检,取标本时病灶组织应包括灰质、白质、软脑膜和皮层血管。血管中心性透壁炎症伴血管壁破坏,伴或不伴纤维素样壁坏死可确诊,但由于节段性受累,导致假阴性比率高达25%。


CT,MRI,MRA和血管造影有助于本病诊断。MRI的敏感性约为90%甚至更高,但特异性较低,例如脑膜强化,脑梗死,颅内出血和T2/FLAIR高信号等。最常见的表现为梗死,见于53-97%的患者,超过80%为多灶和/或双侧。有时与多发性硬化,胶质瘤病以及原发性中枢神经系统血管内淋巴瘤等难以鉴别。


MRA和血管造影可见75%的患者脑血管多发双侧狭窄,以大脑中动脉分叉远端多发中至小血管受累常见。高分辨率3T血管壁成像MRI可见壁强化并增厚。


瘤样块状病灶罕见,仅占5-15%,通常与肿瘤难以区分。因病灶强化,T2WI高信号,T1WI低信号,出血和明显的水肿以及占位效应常被误诊为高级别胶质瘤。这说明,瘤样病灶是PACNS认识不足的一种亚型,Molloy等报道在737例组织学诊断为PACNS的患者中就发现了38例瘤样病灶。


本例患者部分区域Cho,NAA和乳酸峰升高。典型的胶质瘤在MRS上表现为Cho升高,NAA降低,乳酸峰升高。MRS可能有助于两者的鉴别,但上述改变多为非特异性。有一些报道称PACNS患者谷氨酸和谷氨酰胺峰明显升高。


早诊断早治疗有助于患者症状改善。免疫抑制治疗包括大剂量糖皮质激素和静脉注射环磷酰胺。对于表现为肿瘤样病灶的PACNS,及时识别并积极的免疫抑制治疗,患者可获得良好的预后,也可避免手术切除。如患者对治疗无反应,那么PACNS的诊断需重新评估。本例患者接受治疗后临床-影像学迅速改善。


总之,诊断肿瘤样PACNS对临床医生而言是一巨大挑战,MRI改变结合血管造影和/或活检可明确诊断,以便早期给予恰当的治疗。


[参考文献]

Gan C, Maingard J, Giles L, Phal PM, Tan KM.Primary angiitis of the central nervous system presenting as a mass lesion.J Clin Neurosci. 2015 Sep;22(9):1528-31.




神经病学俱乐部 微信号:NeurologyClub
神经病学俱乐部,立足一线临床,服务神经科同行,助力神经病学天天向上


分享 :