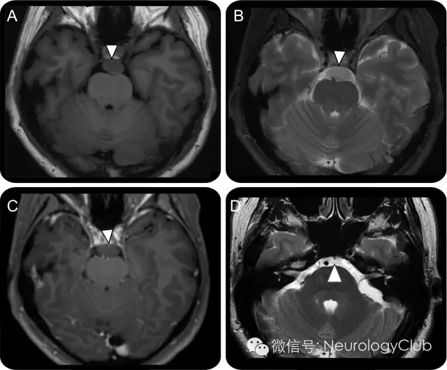
46岁女性,表现为慢性头痛和面部麻木。临床查体无殊。头颅MRI提示T1WI中等信号,T2WI高信号的斜坡肿块,无强化(图A-C)。脊索瘤,软骨肉瘤,表皮样囊肿,转移瘤等均有可能。但可见骨性蒂状结构,证实肿块为颅内脊索瘤(图D)。

(3T磁共振上可见一卵圆形,边界清楚的斜坡区肿块,T1WI上为中等信号[A],T2WI上为稍高信号[B],注射对比剂后无明显强化[C];可见骨性蒂状结构从斜坡背侧发出延伸至肿块,可明确为颅内脊索瘤[D])
最终诊断
颅内脊索瘤
影像学上认识颅内脊索瘤(一种良性的脊索残留物)可避免不必要的活检。骨性蒂状结构的存在有诊断意义,其在CT和MRI上均可见到。多数患者没有症状,但也可出现头痛,视觉障碍,步态不稳和感觉异常。
[参考文献]
Wells S, Srinivasan A.Teaching neuroImages: Incidental retroclival mass in a patient with headache.Neurology. 2010 Dec 7;75(23):e93.
请尊重我们的劳动成果,转载不要忘了注明出处哦~~~

神经病学俱乐部 微信号:NeurologyClub神经病学俱乐部,立足一线临床,服务神经科同行,助力神经病学天天向上