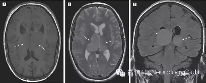
56岁女性,因强直-阵挛发作入院。既往史无殊。查体未见明显异常。白细胞计数12200/μL,中性粒细胞计数10200/μL。头颅MRI提示双侧丘脑不对称肿胀增大,信号均匀,侧脑室受压变形。丘脑病变T1WI等信号,T2WI/FLAIR高信号,注射对比剂后无明显强化。磁共振波谱分析(MRS)提示病变区肌醇,Cr峰出现伴Cr/Cho比值升高,NAA降低。上述影像学提示双侧丘脑胶质瘤。

(A:T1WI;B:T2WI;C:FLAIR)

(磁共振波谱分析提示Cr/Cho比值升高,NAA下降,肌醇升高)
诊治经过
行立体定向活检,病理证实为星形胶质细胞瘤,WHO II级。患者接受地塞米松,丙戊酸钠和放疗等治疗。末次随访时,无癫痫发作。
最终诊断
双侧丘脑胶质瘤(WHO II级)
丘脑胶质瘤是少见的中枢神经系统肿瘤,占所有脑肿瘤的1%-1.5%。而双侧丘脑胶质瘤仅见于少数文献报道。患者年龄从20月到80岁不等,肿瘤级别从WHO I级到IV级均可出现。
双侧丘脑胶质瘤常引起行为学改变或痴呆,不伴有感觉或运动异常。本例患者不同于其他案例,而以强直-阵挛发作为主要表现且不伴有脑积水。CT上,双侧丘脑胶质瘤呈边界清楚,等密度的对称或不对称的丘脑肿胀;MRI上,病灶信号均匀,T1WI等信号,T2WI/FLAIR高信号。
双侧丘脑胶质瘤的鉴别诊断包括血管性病变(特别是脑深静脉血栓形成),其他类型脑肿瘤(生殖细胞瘤,畸胎瘤和淋巴瘤),感染(病毒性脑炎,弓形虫病和脓肿)以及代谢性疾病。MRS有助于双侧丘脑胶质瘤和其他疾病的鉴别。低级别的双侧丘脑胶质瘤在MRS表现为Cr/Cho比值升高,NAA降低。而脓肿表现为醋酸,琥珀酸和乳酸水平升高。本例阐述了磁共振成像和波谱分析在双侧丘脑胶质瘤诊断中的重要性。
[参考文献]
Douis H, Jafri M, Sherlala K.Bilateral thalamic glioma.Arch Neurol.2008 Dec;65(12):1666-7.
请尊重我们的劳动成果,转载不要忘了注明出处哦~~~
神经病学俱乐部 微信号:NeurologyClub神经病学俱乐部,立足一线临床,服务神经科同行,助力神经病学天天向上