
63岁女性,既往体健,2周前出现人格改变和社会性退缩,无视家庭,朋友和工作,没有明显的幻觉和妄想。在患者不能回忆个人信息和家庭成员名字的症状出现后,其儿子带她来医院就诊。查体:患者意识清,注意力不集中,情感贫乏,无自发言语,但语言内容基本正常,长时和短时记忆力均下降。其他神经系统查体无殊。患者脑脊液检查提示有核细胞数21/mm3,90%为淋巴细胞,糖、蛋白正常。HIV病毒检测阴性。PET检查未发现其他部位异常。
头颅MRI提示双侧额叶和胼胝体前部对称性强化病灶,DWI弥散受限。

(A:FLAIR;B:T1增强;C:DWI;D:ADC)
诊治过程
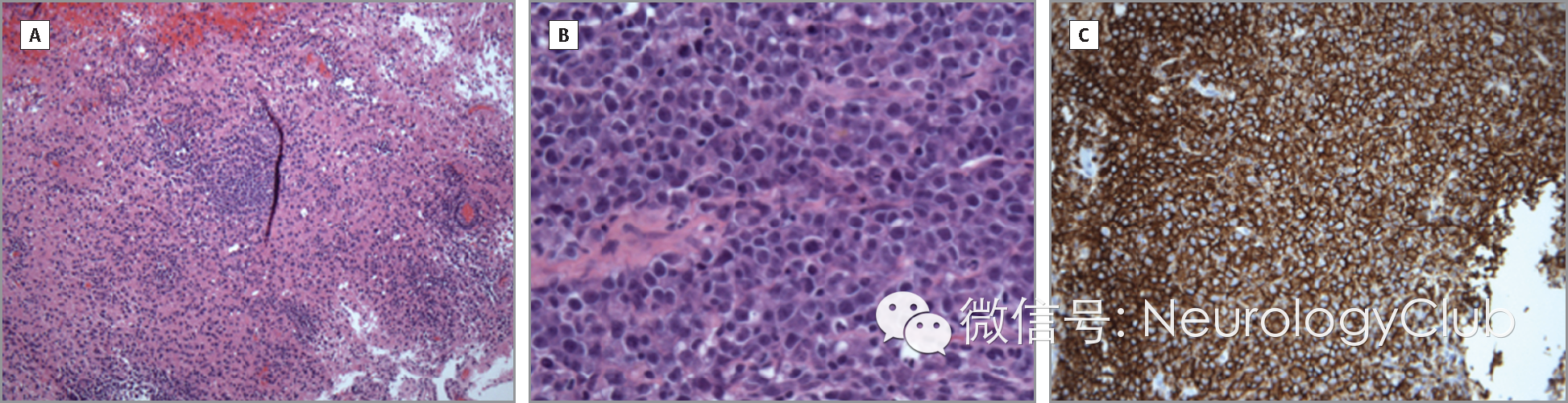
患者脑脊液细胞学检查发现淋巴瘤细胞。最终立体定向活检明确诊断。患者接受以静脉注射大剂量甲氨蝶呤为基础的治疗后,临床症状与影像学异常迅速改善。

(A:HE×10;B:HE×40;C:CD20染色阳性)
最终诊断
原发性中枢神经系统淋巴瘤
讨论对本例患者头颅MRI的细致分析有助于临床诊断。病灶异乎寻常的对称性,可提示代谢性或中毒性脑病,脑白质营养不良或肿瘤。有一些值得注意的特征,提示淋巴瘤的可能,从而可指导进一步的评估和处理。①侧脑室旁轻微的占位效应和胼胝体的增大提示病灶是一肿块;②病灶均匀强化形式符合免疫健全的中枢神经系统淋巴瘤患者;③位于脑室旁的病灶并非脑淋巴瘤特有,但却比较常见,同样的,胼胝体受累也是如此;④弥散受限在脑淋巴瘤中比较普遍。充分认识疾病特征性的影像学改变有助于初步诊断的形成与随后检查的选择,对患者和医生而言大有裨益。
[参考文献]
Jordan JT, Plotkin S, Dietrich J.Magnetic resonance imaging observations in primary central nervous system lymphoma.JAMA Neurol. 2014 Jul 1;71(7):918-9.