老年男性,头痛,颅内占位性病变

62岁HIV阴性男性患者,在入院前3年未发生过婚外性行为。本次因头痛就诊,头颅MRI可见一恶性肿瘤样环形强化病变(图1)。


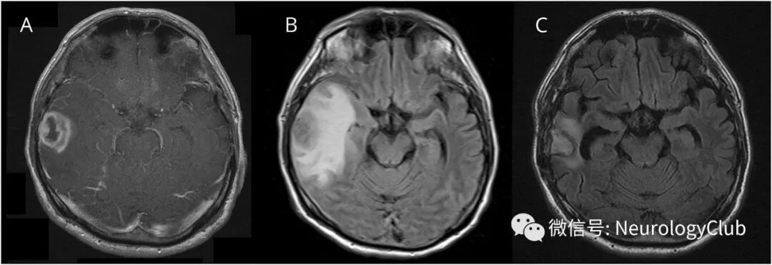
(图1:T1增强[A]和FLAIR[B]可见右侧颞叶环形强化病灶伴大片水肿;C:瘤样病灶切除和术后抗菌治疗[青霉素G 6000000U/d,共14天,阿莫西林4000mg/d ,共14天]后3月复查,病灶明显改善)


(图2:A:抗梅毒螺旋体抗体免疫组化染色可见大量血管周围螺旋体[×40];B-C:HE染色提示树胶肿,包含肉芽组织和大量坏死,伴明显炎性细胞浸润,也可见大量淋巴浆细胞性脑膜炎伴部分血管闭塞[B×2.5,C×4])


诊治经过

切除肿瘤,免疫组织化学染色可见大量螺旋体(图2)。术后予抗菌药物治疗后病灶水肿明显改善。开始的血清快速血浆反应素(RPR)高出正常值155.6倍,梅毒螺旋体血凝反应高40960倍,荧光密螺旋体抗体吸收试验高1280倍,脑脊液RPR水平高出2.2倍,在超过6个月时间逐渐下降。


最终诊断

梅毒性树胶肿


讨论

脑梅毒性树胶肿通常在梅毒感染10年后出现。MRI上可见单发或多发病灶,直径约2.0-2.5cm,位于大脑皮层及皮层下,T1像上病灶中心干酪样坏死为低信号或等、低混杂信号灶,T2像上干酪样坏死为高信号或等、高、低混杂信号,周围有较大面积水肿且有占位效应,增强扫描病灶呈不规则环形强化,可伴有邻近脑膜强化。尽管免疫组织化学染色很难发现单个螺旋体,但在侵袭性病例中可见大量螺旋体。


[参考文献]

Kuroi Y, Tani S, Shibuya M, Kasuya H.Teaching NeuroImages: Cerebral syphilitic gumma with numerous spirochetes inimmunohistochemical staining.Neurology. 2018 Feb 27;90(9):e818-e819.


温馨提醒
请尊重我们的劳动成果,转载不要忘了注明出处哦~~~


分享 :