中国脑积水规范化治疗专家共识(2013版)


一、脑积水概念和分类

颅内蛛网膜下腔或脑室内的脑脊液异常积聚,使其一部分或全部异常扩大称为脑积水。单纯脑室扩大者称为脑内积水,单纯颅内蛛网膜下腔扩大者称为脑外积水。脑积水不是一种单一的疾病改变,而是诸多病理原因引起的脑脊液循环障碍。脑积水是由脑脊液循环障碍(通道阻塞),脑脊液吸收障碍,脑脊液分泌过多,脑实质萎缩等原因造成。临床中最常见的是梗阻性病因,如脑室系统不同部位(室间孔、导水管、正中孔)的阻塞、脑室系统相邻部位的占位病变压迫和中枢神经系统先天畸形。按流体动力学分为交通性和梗阻性脑积水;按时限进展分为先天性和后天性脑积水,急性和慢性脑积水,进行性和静止性脑积水;按影像学分为单纯性、继发性和代偿性脑积水;按病理生理分为高压力性、正常压力性、脑萎缩性脑积水;按年龄分为儿童和成人脑积水。

二、脑积水的诊断

1.临床症状和体征:头颅及前囟增大(婴幼儿),颅内压增高的临床症状和体征(头痛、恶心、呕吐、视乳头水肿),脑组织受压引起进行性脑功能障碍表现(智能障碍、步行障碍、尿失禁)。


2.脑室穿刺测压:高于正常值(小儿40-110mm H2O,成人80-180mm H2O)。成人正常压力脑积水的脑室内压力在正常值范围内。临床常以患者侧卧位腰穿测蛛网膜下腔压力代表脑室内压力,梗阻性脑积水严禁做腰蛛网膜下腔穿刺测压


3.头颅影像学检查

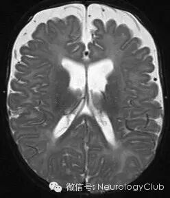
(1)梗阻性脑积水:头颅X线片为颅骨内板可见指压痕(慢性病例)。CT见脑室扩大,双额角径或颅内径(Evans指数)>0.33是诊断脑积水的标志性指标;额角变锐<100°颞角宽度>3mm;脑室边缘模糊,室旁低密度晕环;基底池,脑沟受压/消失。MRI为矢状位T1可显示导水管梗阻,幕上脑室扩大;胼胝体变薄,向上拉伸;穹窿、大脑内静脉向下移位、第三脑室底疝入扩大的蝶鞍。T2显示脑脊液样的指纹状高信号向脑室外延伸到脑组织,间质水肿在脑室角周围明显;脑室内脑脊液形成湍流;导水管流空消失。增强T1显示软脑膜血管淤滞,类似于脑膜炎改变。心电门控相位对比MRI电影为在导水管中无明显脑脊液流动。推荐影像学检查:3DCISS序列可减少脑脊液流动伪影,更好显示脑室轮廓及透明隔,心电门控相位对比MRI电影。


(图来自网络——小编注)


(2)正常压力脑积水:CT见脑室扩大伴额角变钝。MRI有脑室扩大;额角颞角扩大不伴海马萎缩;基底池、外侧裂扩大,脑沟正常;部分病例在质子密度像及常规自旋回波序列可消失导水管流空现象;脑脊液电影可消失脑脊液流速增加。推荐影像学检查是心电门控相位对比MRI电影。


(3)蛛网膜下腔增宽(脑外积水):CT见双侧额部(前部半球间裂)蛛网膜下腔增宽≥5mm;脑池增宽;轻度脑室扩大;增强CT显示静脉穿过蛛网膜下腔。MRI有蛛网膜下腔增宽伴穿行血管;在所有序列,蛛网膜下腔内为脑脊液信号;推荐影像学检查:多普勒超声显示静脉穿行蛛网膜下腔;MRI排除慢性硬膜下积液;增强CT或MRI排除基础病因。


(图来自网络——小编注)


4.其他特殊检查:神经电生理检查,MRI的脑脊液动力学检查等。

三、脑积水的治疗

目的为预防或治疗因颅内压增高或脑组织结构的病理改变引起的神经功能损伤,原则是解除病因和解决脑室扩大兼顾,综合考虑患者的个体因素,采取个体化治疗。


1.手术适应证:(1)新生儿和儿童脑积水为脑室扩大并有颅内压增高、脑功能损害的临床表现。(2)无症状且脑室大小稳定不再增大的儿童脑积水,要考虑儿童认知功能有无损害,积极手术治疗对改善儿童神经功能有明确益处。(3)颅内出血后和脑脊液感染继发脑积水,在血性脑脊液吸收后,有脑脊液感染者采用静脉(脑室内或鞘内用药要根据中国药典和药品说明书)用抗生素,待脑脊液感染控制后(接近或达到正常脑脊液指标),可行分流术。(4)肿瘤伴发的脑积水,对伴有脑积水的第三和第四脑室内肿瘤,如估计手术不能全部切除肿瘤,或不能解除梗阻因素,做术前脑室-腹腔分流术有助于肿瘤切除术后安全渡过围手术危险期。(5)伴有神经功能损害的正压性脑积水。(6)脑外积水的处理原则是狭义的脑外积水见于1岁以内的婴幼儿,原因不明,表现为双额蛛网膜下腔增宽,前囟张力正常或轻度饱满。如无颅内压增高的表现,绝大多数患儿在l岁半以后积液消失,无需特殊治疗。


2.手术禁忌证:(1)颅内出血急性期。(2)颅内感染,有脑脊液感染或感染病灶。(3)头皮、颈部、胸部、腹部皮肤有感染。(4)腹腔内有感染。


3.手术方式的选择原则:(1)V-P分流术适合于大多数类型的脑积水。(2)L-P分流术适合于交通性脑积水和正压性脑积水,有小脑扁桃体下疝的患者为禁忌证。(3)脑室-心房(V-A)分流术常用于不适合做V-P分流术者,如腹腔内感染,有严重呼吸、循环系统疾病者为禁忌证。(4)第三脑室底造瘘术适合于非交通性和部分交通性脑积水患者。对婴幼儿(尤其是<l岁的婴儿)和严重脑室扩大的患者,由于成功率低和极易引起严重的硬膜下积液,选择此类手术要谨慎。因脑室内条件所限(如出血、感染、隔膜等)无法放入分流管的患者。(5)其他分流术方式包括透明隔造瘘术,托氏分流(肿瘤切除后做脑室-枕大池分流)。

四、分流术后的常见并发症及处理措施

在神经外科疾病的治疗中,分流手术的并发症发生率最高,主要有分流感染(包括颅内或腹腔内感染,切口或皮下感染)、分流管阻塞、分流管断裂、颅内或腹腔内分流管异位、脑脊液过度引流(引起硬膜下血肿或积液,裂隙脑室综合征)、脑脊液引流不足、颅内出血、癫痫等。

(1)感染:术后常见的有颅内感染、切口感染、腹腔内感染、分流管皮下通道感染等。一旦有感染,应先拔出分流管,再进行抗感染治疗,可行脑室外引流或腰穿持续引流,在有效控制感染后,重新做分流术。


(2)过度引流:可表现为裂隙脑室综合征、硬膜下积液或硬膜下血肿。在治疗积液或血肿的同时,应更换高一级压力的分流泵(压力固定型分流管)或调高压力(可调压型分流管)。


(3)引流不足:患者临床表现无明显改善,脑室无缩小。首先检测分流系统是否通畅,如果发现有阻塞,应更换分流管。如果分流管通畅,应调低设定压力(可调压型分流管)或更换低一级压力的分流泵(压力固定型分流管)。长期卧床可致引流不足,应鼓励患者半坐位或站立活动。


(4)分流管阻塞:常见阻塞部位和原因为颅内分流管位置不佳(如靠近脉络丛、紧贴脑室壁)、分流泵内红细胞或脑组织积聚、腹腔内大网膜包绕分流管等。判定分流管阻塞的一般方法是按压头皮下分流泵储液囊,能快速回弹说明分流管通畅,不能回弹或回弹缓慢说明分流管脑室端阻塞。分流管腹腔端阻塞的判定比较困难,可以做腹部B超判定有无腹腔内包块,有包块提示大网膜包裹分流管。处理方法:做分流管调整术或更换分流管。


(5)分流管断裂:常见断裂部位:分流管和泵连接处和皮下走行区。用手触摸和行X线片检查,可判定分流管断裂部位。可用腹腔镜将滑入腹腔内的分流管取出。


(6)其他少见并发症:包括分流管进入肠道、膀胱、阴道、胸腔等,头部分流管皮下积液(因硬膜切口过大和脑皮层薄),分流管处皮肤破溃、感染,颅内出血(分流管颅内盲穿所致),帕金森样反应(在正常压力脑积水分流术后偶见,多巴胺药物有效)。

五、术后随访

要在术后不同时间(术后24h内、术后2周、术后3、6、12个月)以及症状有变化、根据病情需要应该做头颅影像(CT或MRI)检查。L-P分流应行腰椎X线平片检查,判断腰大池段的位置。对分流术的疗效评价是一个长期和综合分析的过程,要结合患者脑积水的类型、手术方式、术后影像学、术后并发症、临床症状和体征、运动功能、认知功能、神经电生理(如肌张力)、排尿功能、日常生活能力等诸多方面对患者进行术后短期疗效和长期随访的评价。

六、特发性正常压力性脑积水

1.概念:特发性正常压力性脑积水(idiopathic normal pressure hydrocephalus,iNPH)是以痴呆、步态不稳和尿失禁为临床三主征的综合征,伴随脑室扩大但脑脊液压力正常,且无导致上述症状的疾患存在。


2.临床表现

(1)步态障碍:发生率为94.2%-100%。典型的三联征为步幅小、抬腿困难和步距宽,走路缓慢且不稳,有时会跌倒,尤其在起身站起或转向时更明显。引流一定量的脑脊液后,步态改善的特征性表现为步幅的增大及转向时所需步数的减少,其他方面则无明显改善。


(2)认知功能障碍:发生率为69%-98%。轻度患者可有额叶相关功能如注意力、思维反应速度、语言流利程度、执行能力和记忆力的障碍。在记忆障碍方面,回忆记忆障碍要比识别记忆障碍相对严重。重度患者可表现为全部认知功能的障碍。少数者也可有行动笨拙及书写困难的表现。分流术后言语记忆和思维反应速度障碍的改善较明显。


(3)排尿功能障碍:发生率为54.0%-76.7%。患者膀胱内压力测定时,显示膀胱机能亢进。


(4)其他临床表现:包括也可见上肢运动功能减退,表现为抓物上抬时因指尖抓力的减退而导致抓起动作缓慢。CSF引流测试可使上举动作得到改善。其他神经系统表现有运动迟缓、运动技能减退、过伸强直、眉心反射、撅嘴反射、掌颏反射出现频率较高。约88%的患者有精神症状,其中包括易疲劳、不耐心、情绪不稳定、瞌睡、冷淡。


3.辅助诊断方法

(1)CT和MRI检查:均可见脑室扩大,外侧裂及脑沟的增大,是脑萎缩的表现,大脑凸面的脑沟和蛛网膜下腔变窄。一些患者可有脑萎缩存在,海马萎缩和海马旁沟增宽均较轻,这一特点有助于和阿尔茨海默病的鉴别。有研究发现:大脑凸面蛛网膜下腔变窄而外侧裂增宽(在MRI的冠状位像上更确切),具有重要的价值


(2)CSF引流测试:该测试是通过腰穿引流一定量的CSF后观察临床症状有无改善的一种方法,也是诊断NPH的有效方法之一。每次引流CSF为30-50ml,如果临床症状呈进行性加重则有必要至少在1周后重复CSF引流测试,引流量可比首次多。对于CSF单次引流测试阴性的患者,可考虑进行CSF持续外引流测试,控制性引流量为500ml/3d。


(3)CSF动力学测试(脑脊液容量负荷测试):通过向蛛网膜下腔注射正常生理盐水,可测定CSF流出阻力(outflow resistance,Ro)及CSF流出传导力(outflow conductance,Cout)。但由于Ro值在不同单位测定,结果不是恒定的;而且Ro值和术后症状改善程度之间,还没有相关性的研究结果;此外Ro和Cout测定,缺乏标准化的数值。因此,此方法为非强制性测试方法。


4.诊断分类和标准:典型的临床表现和影像学所见,是诊断iNPH的必备条件。将iNPH分为2个诊断级别为可能性(possible)和很可能性(probable)。

(1)可能性iNPH的诊断标准:起病年龄≥60岁,缓慢起病并逐渐加重,有时症状可波动性加重或缓解;临床上有典型步态障碍、认知功能障碍和尿失禁三联征表现中的至少2种症状;头颅CT或(和)MRI检查显示脑室增大(Evans指数>0.3),并且无其他引起脑室增大的病因存在,脑室周围可有/无低密度(CT扫描上)或高信号(MRI的T2加权像上)征象,大脑凸面脑沟变窄;腰穿(侧卧位)或脑室内ICP监测证实ICP≤200mm H20,CSF常规和生化检查正常;临床、影像学和生化学检查排除可能引起上述临床表现的神经系统和非神经系统疾患存在;有时可能同时伴有帕金森病、阿尔茨海默病和缺血性脑血管病存在;既往无可能引起脑室增大的自发性或外伤性颅内出血(包括蛛网膜下腔出血、脑室内出血、各种类型的颅内血肿)、脑膜炎、颅脑手术病史,无先天性脑积水病史。


(2)很可能性iNPH的诊断标准:符合术前可能性iNPH的诊断标准,同时符合下列标准之一者:CSF引流测试后症状改善;CSF持续引流测试后症状改善;诊断性脱水治疗后症状改善;Ro测定或ICP监测异常。


5.手术治疗

(1)常用分流手术方法有脑室-腹腔分流术(V-P)、脑室-心房分流术(V-A)和腰池-腹腔分流术(L-P)。V-P分流是最常用方法,疗效肯定。L-P分流术近几年逐渐受到重视,建议多做L-P分流术。


(2)分流管装置的选择,采用可调压分流管治疗的疗效可能更好,因为可以术后在体外根据患者的状态来逐步调节设定的压力,解决分流不足或过度分流的问题,一般是先设定一个稍高的压力,然后根据临床症状渐渐将压力调低。如果使用固定压力分流管,建议使用中压型(50-110mm H2O)分流管(建议用抗虹吸型)。


(3)部分患者可做第三脑室底造瘘术,但不建议首选此方法。


本专家共识仅供临床医师在诊治过程中参考,不具备法律功效,共识中观点也需要随着诊治技术的进步不断完善,同时共识不排斥尚未列入共识内的个体化成功的诊治经验。


共识专家组名单

鲍南(上海儿童医学中心神经外科)
陈国强(清华大学玉泉医院神经外科)
陈谦学(湖北省人民医院神经外科)
更·党木仁加甫(新疆医科大学第一附属医院神经外科)
窦长武(内蒙古医科大学附属医院神经外科)
贺晓生(第四军医大学西京医院神经外科)
梁玉敏(上海交通大学附属仁济医院神经外科)
鲁晓杰(无锡市第二人民医院神经外科)
毛颖(复旦大学附属上海华山医院神经外科)
石祥恩(首都医科大学附属北京三博脑科医院神经外科)
孙涛(宁夏医科大学附属医院神经外科)
王贵怀(首都医科大学附属北京天坛医院神经外科)
王汉东(南京军区南京总医院神经外科)
王茂德(西安交通大学医学院第一附属医院神经外科)
肖庆(清华大学玉泉医院神经外科)
游潮(四川大学华西医院神经外科)
于炎冰(北京中日友好医院神经外科)
余新光(解放军总医院神经外科)
岳树源(天津医科大学总医院神经外科)
詹仁雅(浙江大学第一附属医院神经外科)
詹升全(广东省人民医院神经外科)
张赛(武警后勤学院附属医院神经外科)
张亚卓(北京市神经外科研究所)
张玉琪(清华大学玉泉医院神经外科)


中华神经外科杂志  2013年6月第29卷第6期

作者:中国医师协会神经外科医师分会(执笔:张玉琪)




神经病学俱乐部 微信号:NeurologyClub
神经病学俱乐部,立足一线临床,服务神经科同行,助力神经病学天天向上



分享 :