中年女性,脑和脊髓多发病变

37岁西藏牧羊女性,表现为头痛和下肢无力10月。查体发现直腿抬高试验阳性。神经影像学提示左侧颞叶信号不均的肿块(图1)以及腰骶椎管硬膜内肿块伴L4椎体破坏(图2)。胸部和腹部CT无殊。


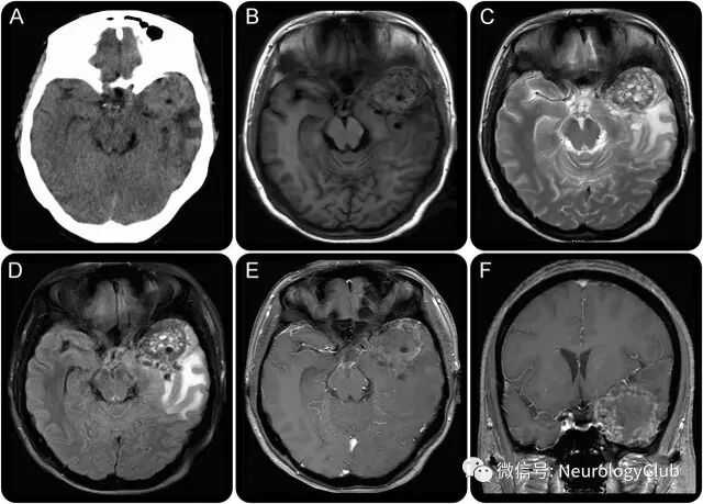
(图1:A:CT可见不均匀的含有多发低密度囊性变的实体肿块伴周围广泛水肿;B-D:T1WI,T2WI和FLAIR可见不均匀信号的球形肿块伴多发中央囊性坏死区;E-F:增强MRI可见病灶边缘不规则强化)


(图2:A-C:腰椎CT可见L4椎体广泛破坏;D-F:T1WI,T2WI和T2短时间反转恢复序列可见L3-S2水平不均匀信号肿块侵袭伴L4椎体破坏)


诊治经过

行两次手术切除病理证实为泡型包虫病(alveolar echinococcosis),术后予阿苯达唑治疗。


最终诊断

包虫病


讨论

原发性肝外泡型包虫病同时累及脑和脊髓罕见。早期诊断并行根治性外科手术,以及术后连续的苯并咪唑治疗很关键。


[参考文献]

Cheng J, Meng J, He W, Hui X.Alveolar echinococcosis presenting with simultaneous cerebral and spinal involvement.Neurology. 2017 May 30;88(22):2153-2154.


分享 :