5岁男孩,左侧眼球突出和眼窝疼痛1周

5岁男孩,表现为左侧眼球突出和眼窝疼痛1周,既往无用药和手术史。查体可见左侧眼球突出,无视野缺损和其他神经系统异常。血常规,电解质和炎症标志物正常。头颅CT可见眼眶内占位性病变。


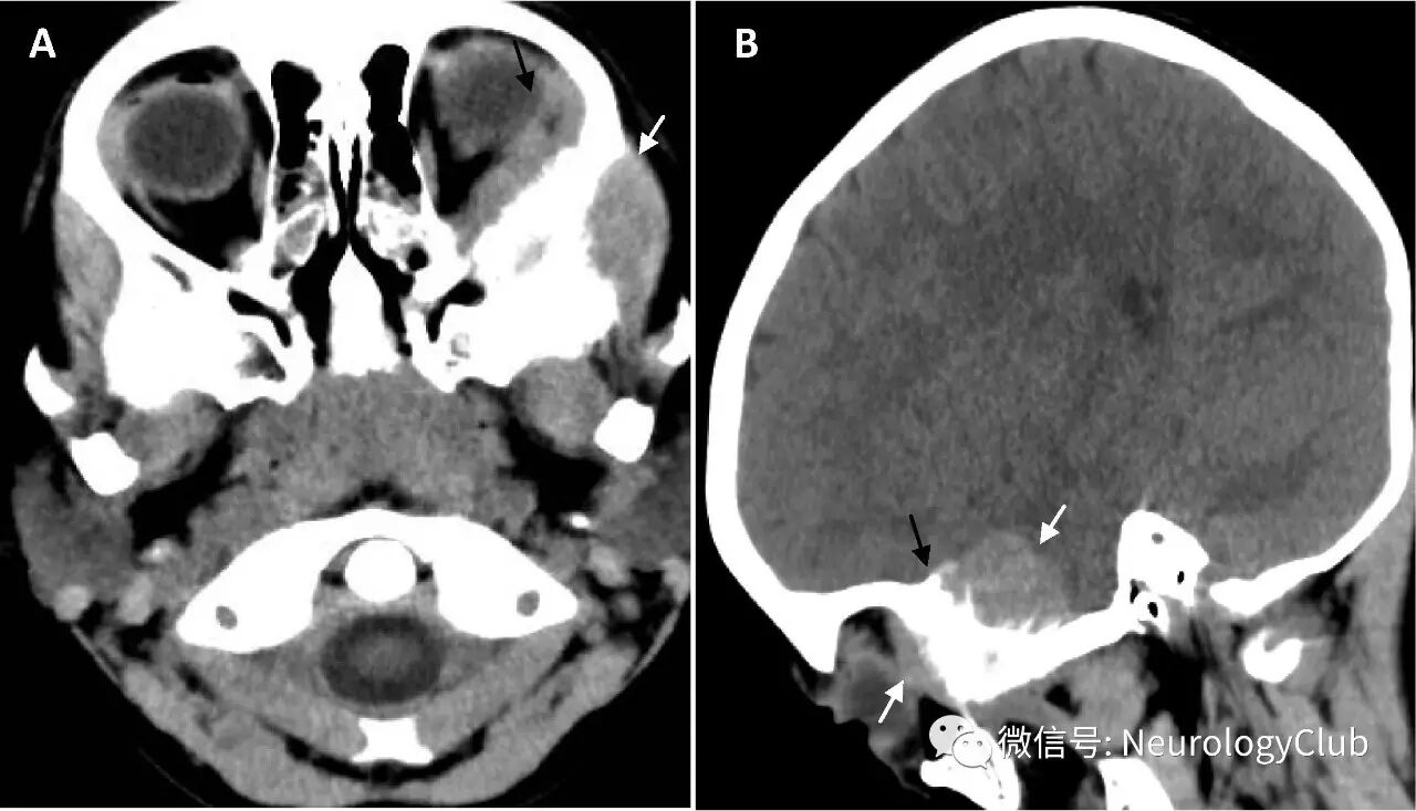
(图1:横断面和矢状位头颅CT平扫)


(图2:A:颅底CT骨窗证实累及蝶骨翼的破坏性侵袭性病变;B:冠状位T2WI可见左侧肾上腺神经母细胞瘤)


诊治经过

本例患儿临床,影像学和病理学特点符合转移性神经母细胞瘤,腹部MRI提示原发部位为左侧肾上腺(图2)。


最终诊断

神经母细胞瘤转移


讨论

眼部症状可能是神经母细胞瘤的首发表现,该肿瘤是儿童转移至眼眶的最常见的肿瘤。原发肿瘤通常位于腹内。


大约10-20%的儿童可出现眶内转移,多达50%为双侧。眼球突出和瘀斑(熊猫眼)是最常见的眼部表现。


儿童眼球突出的最常见原因为眼眶蜂窝织炎。组织细胞增生症、血管瘤或淋巴管瘤也是一些相对良性的病因。恶性疾病包括横纹肌肉瘤,Ewing肉瘤,淋巴瘤和神经母细胞瘤、骨肿瘤或白血病转移。


典型的CT或MRI特征为源于眶壁的肌锥外软组织肿块。如本例患者,肿瘤可局部侵袭深入颞下窝结构或颅内,伴眶顶和眶壁骨性破坏以及骨针形成。


肿瘤可为单侧或双侧,不同于横纹肌肉瘤,后者通常为单侧。此外,横纹肌肉瘤可累及前中隔眼眶结构,而神经母细胞瘤通常不会。神经母细胞瘤还可导致硬脑膜和软脑膜转移,伴颅骨受累。


[参考文献]

S. Culleton, H.K. Kok, H. Asadi, S. Ryan.Proptosis in a previously well five-year-old boy. J Clin Neurosci. 2016 Dec;34:209, 306.


分享 :