[概述]
自1938年Schaltenbrand第一次描述1例自发性颅内低压综合征病例以来,该病症逐渐为人们认识。自发性颅内低压综合症(Spontaneous Intracranial Hypotension,SIH)是无特殊诱因(如颅脑外伤、脊椎穿刺等)的脑脊液压力减低。颅内低压综合征的诊断主要根据临床有典型的体位性头痛症状(直立位出现或加重,平卧位减轻或消失),同时腰椎穿刺测脑脊液压力低于8 kPa(60mm H2O)。本篇主要介绍SIH的头颅影像学特点。

(a)弥漫硬脑膜强化;(b)小脑扁桃体疝;
(c)硬膜下积液; (d)弥漫脑水肿
(引自:Intracranial hypotension syndrome: A post dural puncture headache? Rev Colomb Anestesiol. 2013;41:57-60.)
[临床表现]
头痛以双侧枕部以及额部多见,很少为单侧,表现为轻至中度钝痛或搏动样头痛。与体位明显相关,立位时出现或加重,卧位时减轻或消失。头痛多在变换体位后15-30分钟出现。
可伴有后颈部疼痛或僵硬、恶心、呕吐、畏光、畏声、耳鸣、眩晕等。
脑组织下坠压迫效应:视物模糊或视野缺损、复视、面部麻木或疼痛,面瘫或面肌痉挛。
可并发硬膜下出血或脑疝,病情严重者可有认知功能改变,意识障碍,脑疝等。
[影像学产生的病理生理机制]
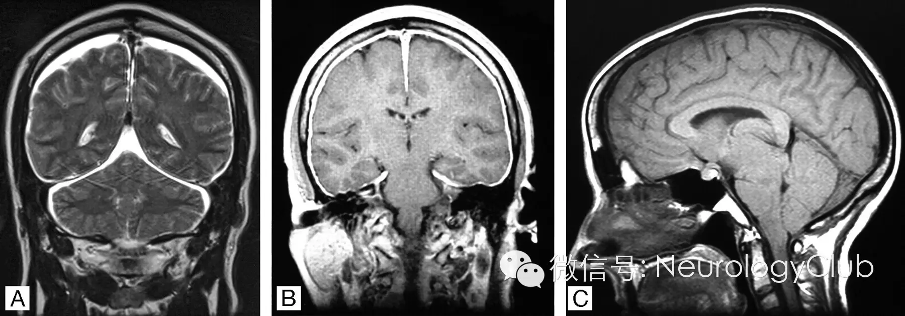
根据Monro-Kellie假说,颅内腔容积恒定不能扩张,颅内容物的总量之和即脑组织、脑血流量及脑脊液量的总和应保持恒定不变。如果其中一种成份增加必然导致另外两种成份的减少;反之,当颅内低压综合征患者的脑脊液容量减少时,必然导致另外两种成份增加。由于脑组织容积相对恒定,所以只能依靠脑血流量的变化起到代偿作用。因为软脑膜及脑实质血管有血脑屏障而硬脑膜没有,所以这种静脉的充血扩张只能表现在硬脑膜和脑静脉窦上。影像学则相应地表现为硬脑膜、硬脊膜弥漫性增厚、增强以及颅内静脉窦的扩张,垂体硬膜充血则表现为垂体增大。如果脑静脉充血扩张仍不能完全代偿,还可进一步表现为硬膜下积液。另外,在正常情况下,脑组织是漂浮在脑脊液中的,在脑脊液容量减少时,脑脊液对脑组织的浮力作用下降使脑组织向下移位,称为下垂脑,构成了影像学上的另外一组表现。
[头颅影像学特点]
记忆方法:SEEPS

(1)硬膜下积液(Subdural fluid collections)
硬膜下积液表现为双侧对称性薄层积液,无占位效应,对下面的脑沟脑裂无压迫效应。

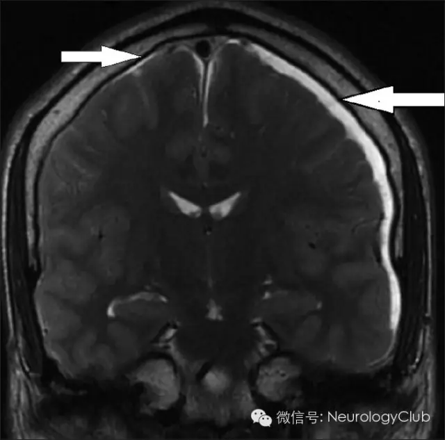
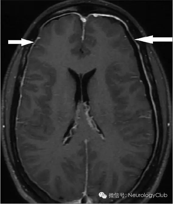
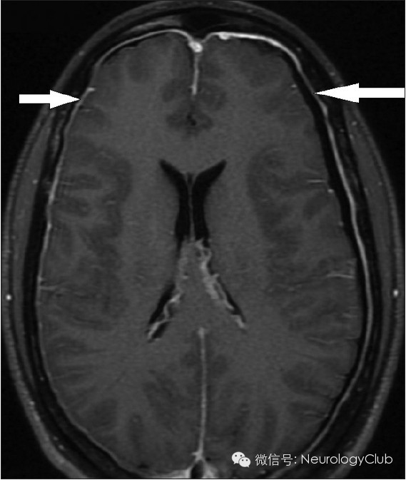
(2)硬脑膜强化(Enhancement of the pachymeninges)
增强扫描时硬脑膜弥漫性增强增厚是颅内低压综合征的最具特征性表现,也是阳性率最高、出现最早的MRI表现。呈不间断的线样增强,无局限性结节,同时经常伴有硬脑膜增厚和皮层静脉的扩张,但从不累及软脑膜。

(3)静脉结构充盈(Engorgement of venous structures)

(静脉窦扩张变圆)
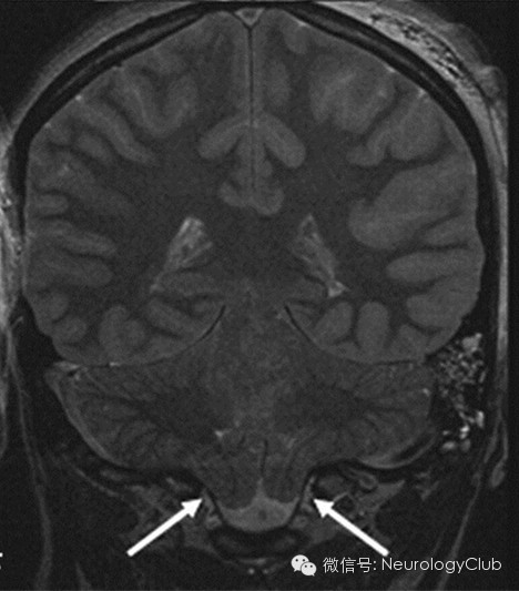
(4)垂体充血(Pituitary hyperemia)

(5)脑组织下沉(Sagging of the brain)

[参考文献]
Schievink WI.Spontaneous spinal cerebrospinal fluid leaks and intracranial hypotension.JAMA.2006 May 17;295(19):2286-96.
Tandon AS, Sinha N.Spontaneous intracranial hypotension: Detection of presumed site of spinal leak using T2 FIESTA MR imaging.Neurol India. 2012 Jul-Aug;60(4):439-41.
韩顺昌,蒲传强:自发性颅内低压综合征的影像学特点,中国医学影像学杂志2006年第14卷第2期