青年女性,视力下降6年

病史概要

女性,18岁

主诉:视力下降6年


影像资料
















病理读片答案:垂体瘤


诊断分析

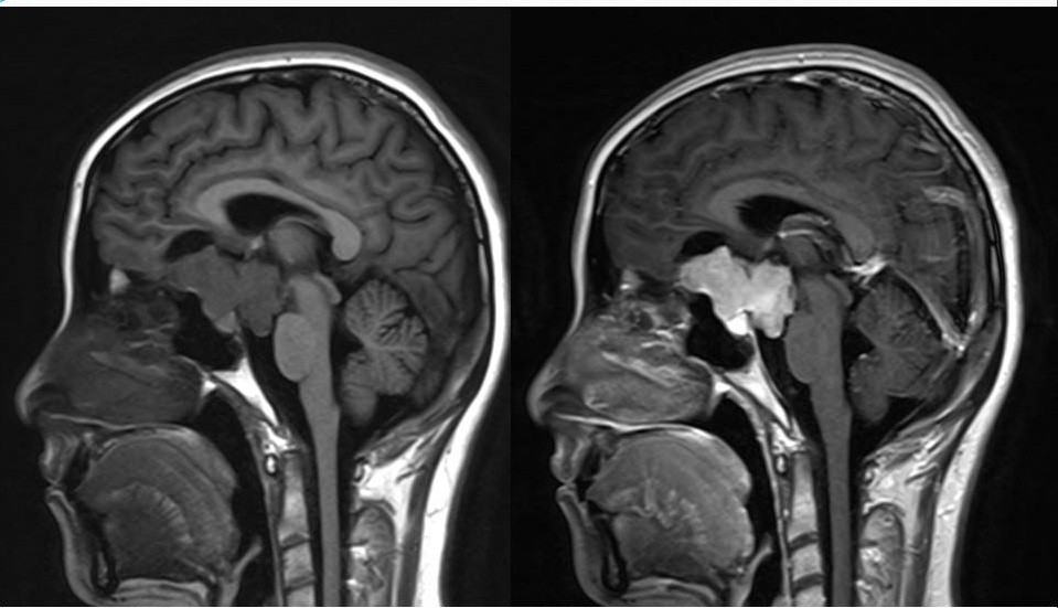
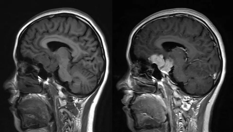
1.患者,女性,18岁,视力下降6年;


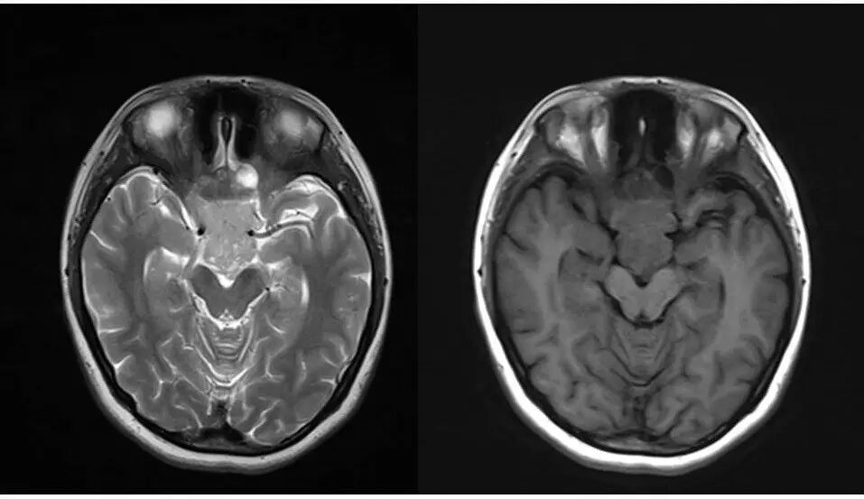
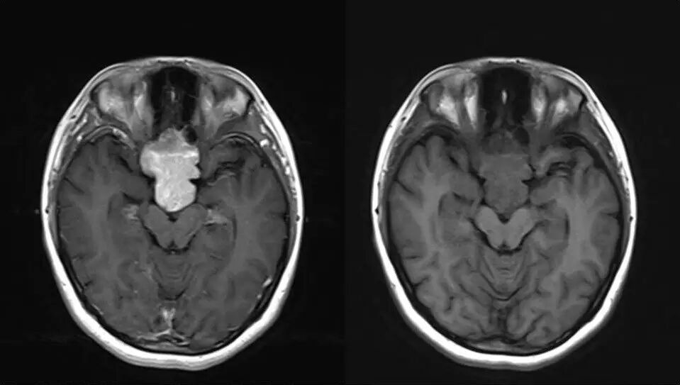
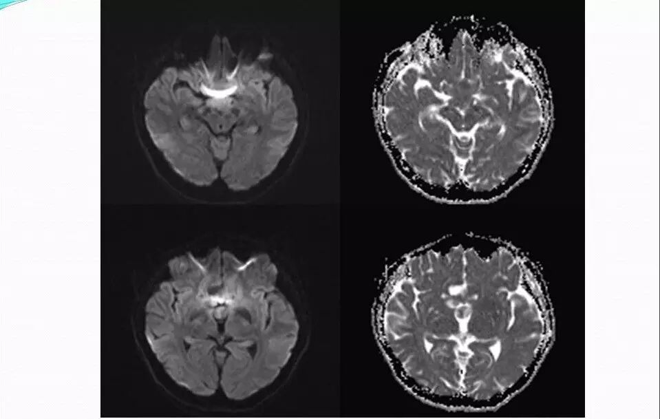
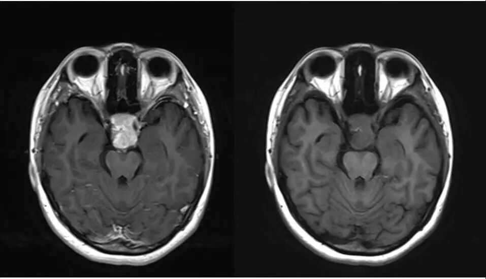
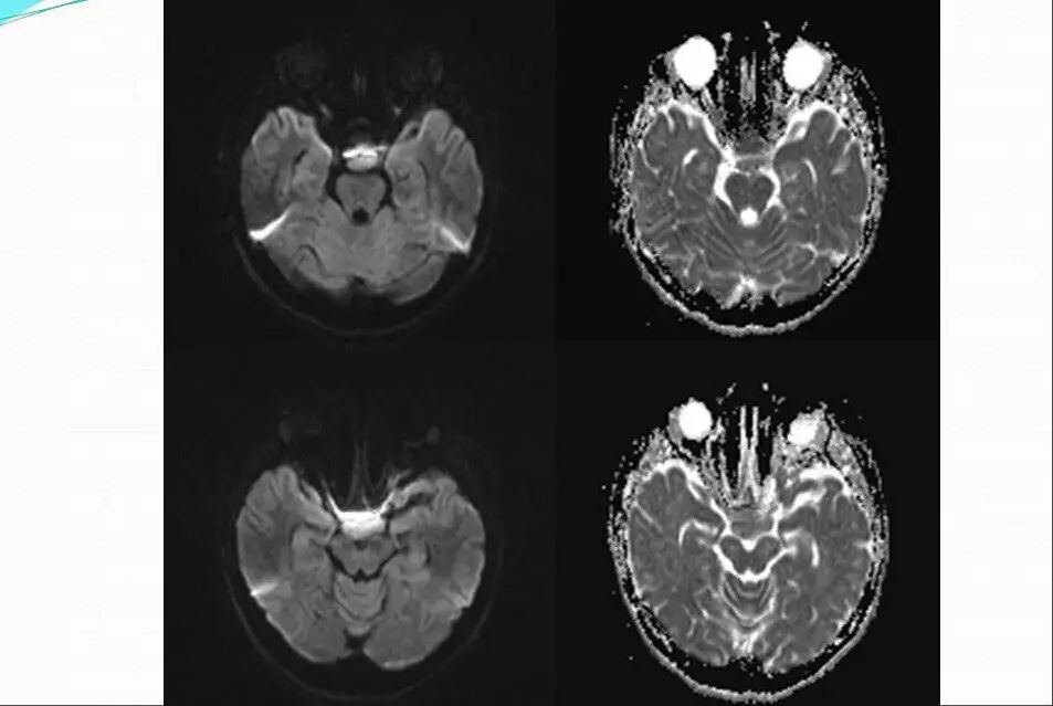
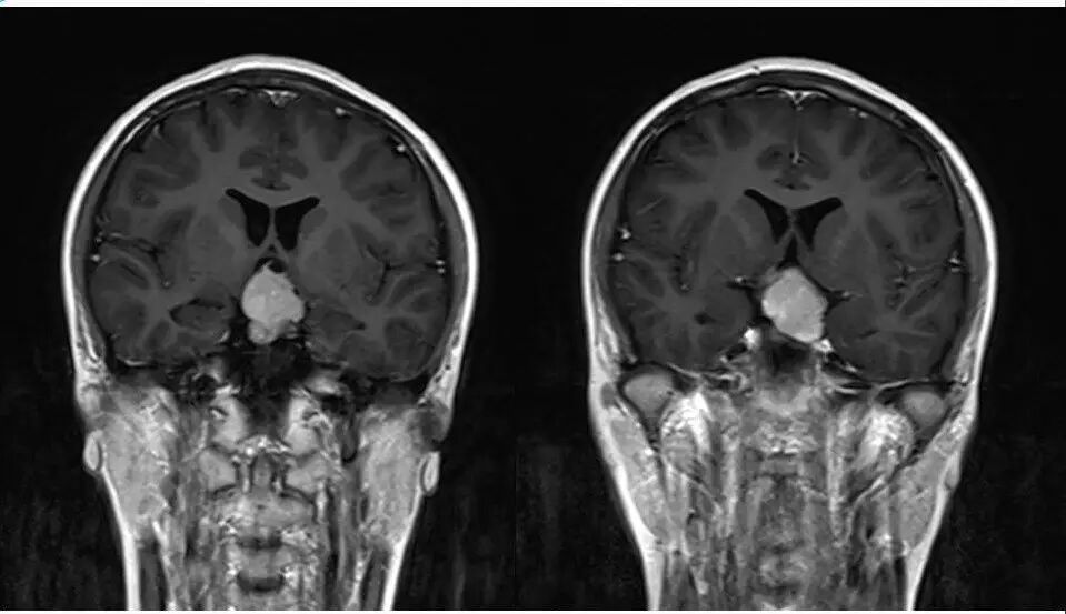
2.MR检查显示肿瘤位于鞍区,分叶状生长,呈稍长T2、稍长T1异常信号影,边界清楚,内部信号不均匀,其内可见“微囊”状异常信号影,视交叉受压上抬,DWI呈等或略高信号影,注药后呈不均匀明显强化;


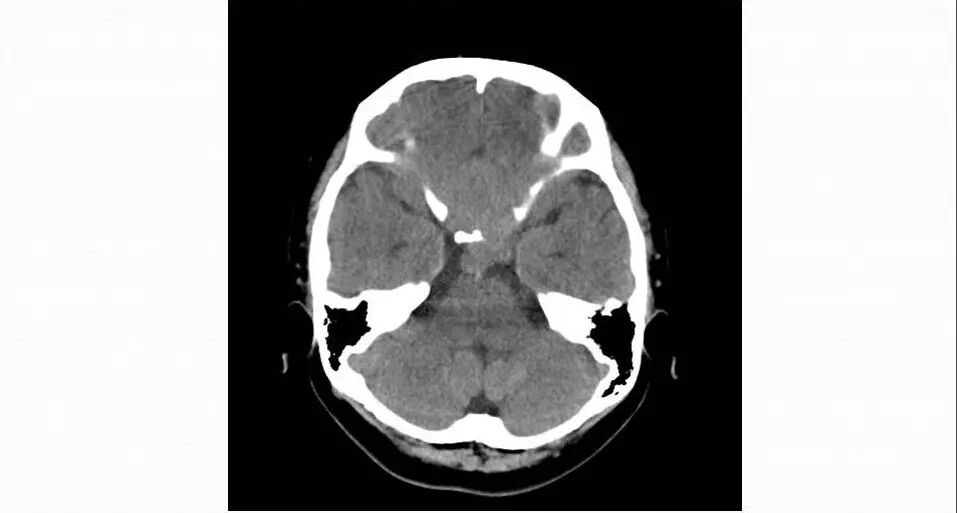
3.CT检查显示肿瘤呈等密度影,可见鞍背骨质破坏;


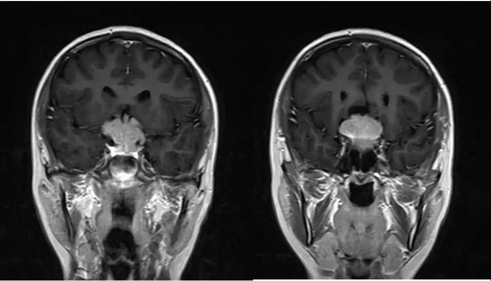
4.重点观察冠状位:病变源于垂体偏左侧,与垂体界限不清楚,肿瘤偏右侧可见垂体与肿瘤之间裂隙,造成矢状位平扫及强化后误认为正常垂体存在,从而首先除外了垂体瘤,导致误诊;


5.影像表现确定肿瘤源于垂体,部位、信号、生长方式、内部结构、骨质破坏,增强显示等均符合垂体瘤诊断。


鉴别诊断

1.脑膜瘤:一般呈等信号,边界清楚,形态规则,分叶状少见,与垂体分界清楚,注药后强化均匀;


2.生殖细胞瘤:生殖细胞瘤位于鞍区,多见于女性,呈不规则形稍长T2、稍长T1异常信号影,其内信号可不均匀,但与垂体分界清楚,注药后呈明显强化;


3.颅咽管瘤:实性颅咽管瘤多为鳞状乳头型,位于鞍上,可呈稍长T2、稍长T1异常信号影,边界清楚,内部信号均匀,注药后明显均匀强化,且与垂体界限清楚;


4.下丘脑胶质瘤:青年下丘脑胶质瘤可为毛细胞星形细胞瘤,常呈长T2、长T1异常信号影,边界清楚,内部信号欠均匀,注药后呈明显均匀强化,与垂体分界清楚。


特别说明

本次病例由熙康云医生授权转载。


点击阅读原文可查看获奖信息及更多精彩。




神经病学俱乐部 微信号:NeurologyClub
神经病学俱乐部,立足一线临床,服务神经科同行,助力神经病学天天向上


分享 :