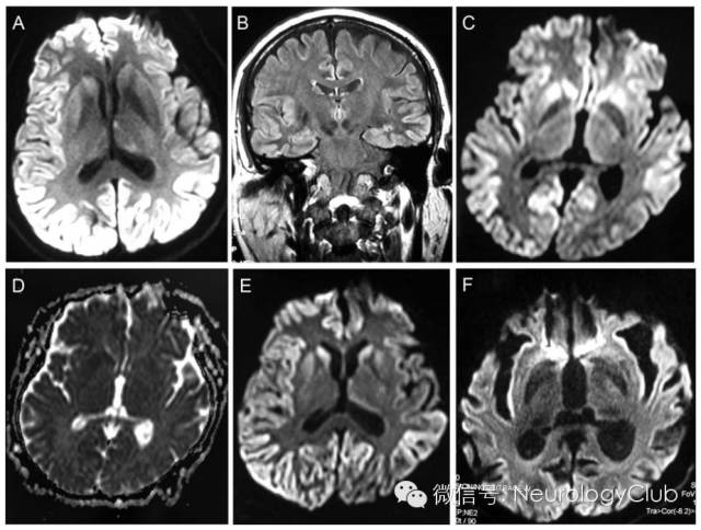
42岁独自生活的男性职员,既往有高血压病史,但控制良好,因“进行性记忆障碍5月”就诊。患者表现为易激惹,且难以回忆起最近的谈话。四肢有麻木和刺痛感,行动缓慢,思睡。起病后3月患者至另一家医院行头颅MRI检查,提示明显的皮层相对对称的DWI高信号,病灶无强化(图,A-B)。脑电图提示全脑慢活动。尽管脑脊液14-3-3蛋白水平正常,但临床症状结合MRI初步考虑CJD,因患者PRNP基因无突变,因此散发型的可能性大。患者接受静脉注射甲强龙,500mg/d,共7天后改口服激素,逐渐减量。
患者症状无改善,在来我院(2012年3月)前1周病情加重。神经系统查体提示明显的认知功能缺损和锥体外系体征。简易精神状态检查量表评分20(总分30)。患者双侧对称性运动迟缓,上肢齿轮样强直,指鼻试验不准。再行MRI提示尾状核、额叶、颞叶和枕叶皮层DWI高信号,ADC低信号(图,C-D)。肌电图提示四肢感觉波幅明显下降。

(图:A-B:起病3月时的DWI和FLAIR可见明显的较为对称的双侧皮层灰质受累;C-D:起病5月时皮层下灰质(尾状核)及皮层灰质病灶DWI呈高信号,ADC呈低信号;E:螯合治疗后DWI上病灶无明显改善;F:2年随访时可见脑萎缩)
结缔组织疾病筛查试验,梅毒血清学及电压门控钾离子通道和副肿瘤抗体检测均无殊。重金属筛查发现患者血汞水平76.3nmol/L(呈波动性,与饮食摄入和其他急性暴露有关,无症状患者可能有比之更高的血汞浓度),尿汞水平109.2nmol/L(参考值:0.0-12.5nmol/L;尿汞水平的可靠性较高)。我们再次询问病史,患者起病前数天在床上打破了汞柱血压计,在第二天用小笤帚清理了溢出的汞。患者接受螯合剂2,3-二巯基丙磺酸钠治疗。麻木和刺痛感明显好转,记忆和运动症状只有轻度改善,复查头颅MRI未见变化(图,E)。出院后2年随访,患者存在持续性认知功能缺损和运动迟缓,血汞水平2.5nmol/L,尿汞水平5.5nmol/L,MRI上可见持久的脑损害(图,F)。
汞中毒性脑病
汞中毒罕见,汞蒸气吸入是主要线索。先前只有1则汞中毒神经影像方面的病例,为一10岁男孩,MRI上表现为孤立的高信号病灶。据我们所知,本例为首篇描述汞中毒成人患者的神经影像学改变的报道。MRI上可见广泛对称性皮层和皮层下灰质受累。本例患者表现为亚急性认知功能损害,帕金森症状以及MRI上双侧大脑皮层和尾状核线样病灶,因此,最初考虑散发型CJD的诊断并不奇怪。已有其他相关疾病报道可与散发型CJD混淆,包括神经退行性疾病和抗体介导的脑炎。通过本例,临床医生在怀疑散发型CJD可能时需考虑到汞中毒这一鉴别诊断。
[参考文献]
Tang Y, Wang X, Jia J.Mercury poisoning presenting as sporadic Creutzfeldt-Jakob disease: a case report.Ann Intern Med. 2015 Mar 17;162(6):462-3.
神经病学俱乐部 微信号:NeurologyClub神经病学俱乐部,立足一线临床,服务神经科同行,助力神经病学天天向上