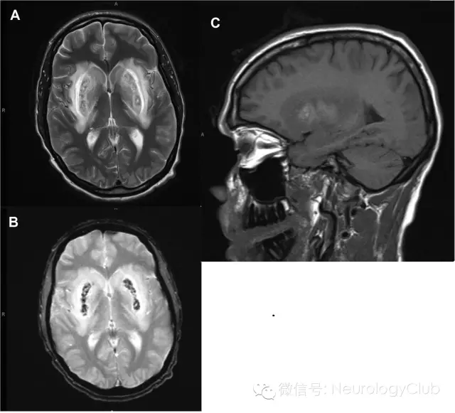
33岁男性,因逐渐加重的抑郁症状和新出现的意识障碍被家属送至急诊室,病程5天。先前有自杀未遂史,无其他疾病史,也并未服用任何药物。实验室检查提示代谢性酸中毒,阴离子间隙32mmol/L。血浆渗透压558mmol/kg,渗透压间隙268mmol/kg。肝酶轻度升高,天门冬氨酸氨基转移酶242U/L,丙氨酸氨基转移酶247U/L。患者意识障碍迅速恶化,予气管插管转至重症监护室。头颅CT正常。头颅MRI提示双侧壳核病变。

(图:A:T2WI;B:T2梯度回波序列;C:T1WI)
怀疑患者毒酒摄入,立即予以甲吡唑、硫胺素、叶酸和维生素B6等治疗,同时行血液透析。最初的血清甲醇水平为231mmol/L,其对治疗反应良好,36小时后已经检测不到。拔管后1周,患者表现为严重的僵直和运动迟缓,伴有明显的上下肢无力。同时,患者因视网膜毒性出现严重的视觉障碍。2月后,积极的物理疗法取得了一定成效,患者可在帮助下行走,四肢肌力恢复至4级以上。
甲醇中毒

甲醇中毒相对罕见,但致死率很高。摄入的甲醇在体内通过乙醇脱氢酶代谢成甲醛,继而通过甲醛脱氢酶变成甲酸。甲醇中毒的特征性表现为高阴离子间隙代谢性酸中毒和视觉障碍。甲酸引起视神经脱髓鞘和坏死,可致11-18%的患者永久性损害。尽管少见,甲醇中毒导致壳核坏死先前已有报道。患者可出现僵直,运动迟缓,面具脸,言语异常和震颤。壳核代谢所需氧和葡萄糖消耗相对较大,对甲酸聚积敏感,可局部抑制细胞色素氧化酶的活性。甲吡唑为首选治疗,但乙醇也是一个替代选择。两者均可抑制乙醇脱氢酶,阻止甲酸的积累。血液透析可同时进行,去除甲醇和甲酸并纠正酸中毒。
[参考文献]
Aleksi Suo, James Scozzafava.Neurotoxic overdose in a young man.J Clin Neurosci. 2016 Jan;23:129,170.
神经病学俱乐部 微信号:NeurologyClub神经病学俱乐部,立足一线临床,服务神经科同行,助力神经病学天天向上