蓝色橡皮疱痣综合征(Blue rubber bleb nevus syndrome)

概述

蓝色橡皮疱痣综合征(Blue rubber bleb nevus syndrome,BRBNS)是一种罕见疾病,发病率仅为1:14000。该病早在1860年由Gascoyens首次报道,此后由Bean于1958年进一步阐述并命名为BRBNS,故而也称为Bean综合征。目前全球约有250余例报道,多在青少年时起病,而成人和低龄儿童的病例罕见。


BRBNS的发病机制尚不清楚,现多认为它是一种因胚胎发育分化过程中组织结构错位或发育不全所致的非遗传性疾病,其本质是弥漫性复杂的静脉畸形,而非典型的血管瘤;而仅有的2例有关这类静脉畸形家族成员的染色体检查的研究则认为:这是一种由于9号染色体短臂的基因突变所导致的常染色体显性遗传病,其中包括α和β干扰素基因簇及肿瘤抑制基因MTS1和MTS2。


临床表现


本病通常以皮肤和胃肠道的多发血管瘤为主要特征。皮肤血管瘤出现的概率几乎为100%,呈蓝色或紫色,直径一般1-2cm, 数目从几个到数百个不等,多分布于躯干和四肢,几乎所有患者在出生后不久即可发现皮肤病变,且随年龄增长而增大,病变甚至可蔓延至皮下组织包括肌肉、骨和关节;胃肠道血管瘤以小肠最常见,其次为结肠和胃。此外,血管瘤亦可分布于鼻咽、腹腔、肠系膜、肝脏、肺脏、阴茎头、眼部和中枢神经系统。患者早期可仅表现皮肤血管瘤,而无其他症状。后期血管瘤逐渐增大并发破裂出血或压迫症状,通常为消化道急、慢性出血,亦可出现不典型症状,如咯血、血尿、腹痛等,与血管瘤所累及脏器相关。瘤体的个数和大小会随年龄增大而增多,且不能自行萎缩。



(A:右手可见静脉突起[红圈];B:嘴唇和胸部可见静脉突起;C:近距离观察静脉突起;D:口腔内静脉突起)



(A:胃镜证实食管内些许静脉畸形;B:胃中同样可见静脉畸形;C:术中可见小肠处数个静脉畸形)



(A-B:上下肢多发蓝色或蓝灰色斑和丘疹;C:皮肤组织学可见不规则扩张的血管,内衬单层扁平上皮;D:CD34阳性;E:葡萄糖转运体1阴性;F:D2-40阴性



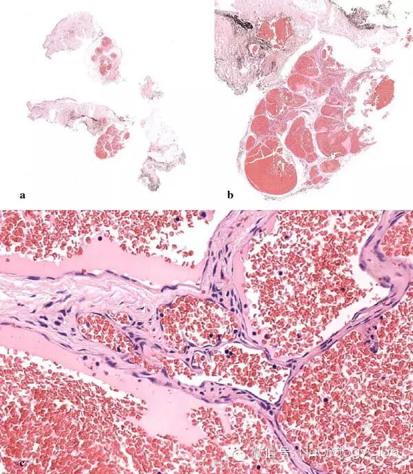
(a:海绵状血管瘤:皮下组织可见边界清楚的血管增生,由众多扩张的血管组成[全景];b:原图×2;c:海绵状血管瘤:薄壁血管和扁平内皮×37


神经系统受累


本病罕见累及神经系统,自Waybright等于1978年描述了第一例后,至今只有20余例报道(7.8%,21/269)神经系统的临床表现与病灶部位及严重程度有关,可出现癫痫发作,头痛,颅神经麻痹,发育迟缓,局灶性神经功能缺失,脊髓压迫,脑干和小脑症状等。影像学上可见颅内或脊髓多发血管畸形,皮质萎缩,静脉窦发育异常等,血管瘤破裂则出现颅内出血或蛛网膜下腔出血。



(CT提示右侧枕部,邻近右侧脑室三角区,透明隔和左侧额部多发高密度病灶



(MRI证实右侧枕区出血性病变伴灶周T1高信号以及内部混杂信号的多发海绵状血管瘤)



(A-C:矢状位MR血管造影可见从矢状窦往下的静脉异常[红箭];D:T2WI证实静脉异常邻近三叉神经根)



(FLAIR证实左侧海绵状血管瘤[上箭],原来上矢状窦的位置出现异常组织[下箭])



(A-B:嘴唇和躯干可见蓝色小结节,符合BRBNS的诊断;右侧周围性面瘫;C:皮肤活检提示真皮层扩张的血管,血管壁由单层内皮细胞排列形成)



(A:T2WI可见右脑桥背侧病灶;B:T2*上病灶呈低信号,符合静脉血和含铁血黄素沉积;C:“X”标记病灶,累及展神经核和面神经;D:4年前的MRI上未见静脉畸形


诊断与鉴别诊断


患者若存在典型皮肤血管瘤体征应当高度警惕本病,同时对相应症状进行深入检查和分析,内镜、超声、造影、CT、MRI和核素扫描等检查可明确消化道和中枢神经系统血管瘤,当发现内脏有血管瘤则应当进行皮肤病灶活检,若病理提示为海绵状血管瘤,且排除遗传性出血性毛细血管扩张症(Osler氏病)、多发性局限性血管瘤、Klippel-Weber综合征(葡萄酒色血管瘤)和全身性血管瘤后,可确诊BRBNS。


治疗与预后


本病尚无统一治疗方案,主要是针对并发症的处理。一般来说,几乎所有的BRBNS患者因贫血都需要口服铁剂或输血进行对症治疗。一些药物如类固醇激素、长春新碱、奥曲肽和干扰素等也被用于抑制血管内皮细胞的生长和增殖,进而达到止血或减少出血的目的,但多数患者在停用药物后症状会反复。最近有报道,患者使用西罗莫司(雷帕霉素)治疗后,血管瘤体积明显缩小,消化道出血和肌肉血肿症状消失,随访20个月后未发现药物不良反应。但BRBNS的本质是脉管系统尤其是静脉的发育畸形,而非真正意义上由于内皮细胞异常增殖形成的真性“肿瘤”,因此抗血管生成药物的使用值得商榷。此外,有报道应用内镜下注射硬化剂、套扎术、电凝术和激光凝固法控制血管瘤出血可获得明显效果。外科手术一般作为最后选择,对于持续性出血的病灶可局部切除,如病灶较密集,则可切除相应肠段。多数皮肤血管瘤无露特殊治疗,如瘤体较大影响美观或功能,可选择皮肤血管瘤切除或激光治疗,但术后容易复发甚至需多次手术。迄今为止,尚无关于该病恶变的报道。


[参考文献]

1. 隆琦, 马鸣, 陈洁.小儿蓝色橡皮疱痣样综合征一例.中华儿科杂志, 2013, 51(2):152-3.

2. Ballieux F, Boon LM, Vikkula M.Blue bleb rubber nevus syndrome.Handb Clin Neurol. 2015;132:223-30.

3. Kondziella D, Nordanstig A, Mölne L, Axelsson M.Neurological picture: Cranial neuropathy in the blue rubber bleb nevus syndrome.J Neurol Neurosurg Psychiatry. 2010 Nov;81(11):1207-8.

4. Park CO, Park J, Chung KY.Blue rubber bleb nevus syndrome with central nervous system involvement.J Dermatol. 2006 Sep;33(9):649-51.

5. Wynford-Thomas R, Johnston A, Halpin S, Hamandi K.Rarities in neurology: blue rubber bleb naevus syndrome.Pract Neurol. 2014 Oct;14(5):360-2.

6. Ocampo-Garza J, Salas-Alanís JC, Ponce-Camacho MA, Rosales-Solis GM, Miranda Maldonado I, Elizondo-Riojas G, Villanueva-Nava D, Barbosa-Quintana O, Gonzalez Colunga K, Ocampo-Candiani J.Fatal Outcome from Brain Vascular Lesions in a Neonate with Blue Rubber Bleb Nevus Syndrome.Pediatr Dermatol. 2016 Jan;33(1):e29-31.

7. Waybright EA, Selhorst JB, Rosenblum WI, Suter CG.Blue rubber bleb nevus syndrome with CNS involvement and thrombosis of a vein of galen malformation.Ann Neurol. 1978 May;3(5):464-7.

8. Tomelleri G, Cappellari M, Di Matteo A, Zanoni T, Colato C, Bovi P, Moretto G.Blue rubber bleb nevus syndrome with late onset of central nervous system symptomatic involvement.Neurol Sci. 2010 Aug;31(4):501-4.

9. 邓朝晖, 许春娣, 陈舜年.小儿蓝色橡皮疱痣综合征三例报道及文献分析.中华儿科杂志, 2005, 43(9):694-5


温馨提醒
请尊重我们的劳动成果,转载不要忘了注明出处哦~~~



神经病学俱乐部 微信号:NeurologyClub
神经病学俱乐部,立足一线临床,服务神经科同行,助力神经病学天天向上


分享 :