66岁男性,全面性癫痫发作1次来院。查体提示定向力障碍,认知功能下降。既往有酒精滥用,已戒2周。无其他相关疾病史。在当地医院进行酒精戒断,住院常规筛查发现梅毒。本次入院前数小时已开始静脉青霉素治疗(3000万IU/d),入院后继续治疗2周。患者否认既往有过梅毒症状,皮肤科和泌尿外科医生会诊也未发现目前存在的梅毒表现。
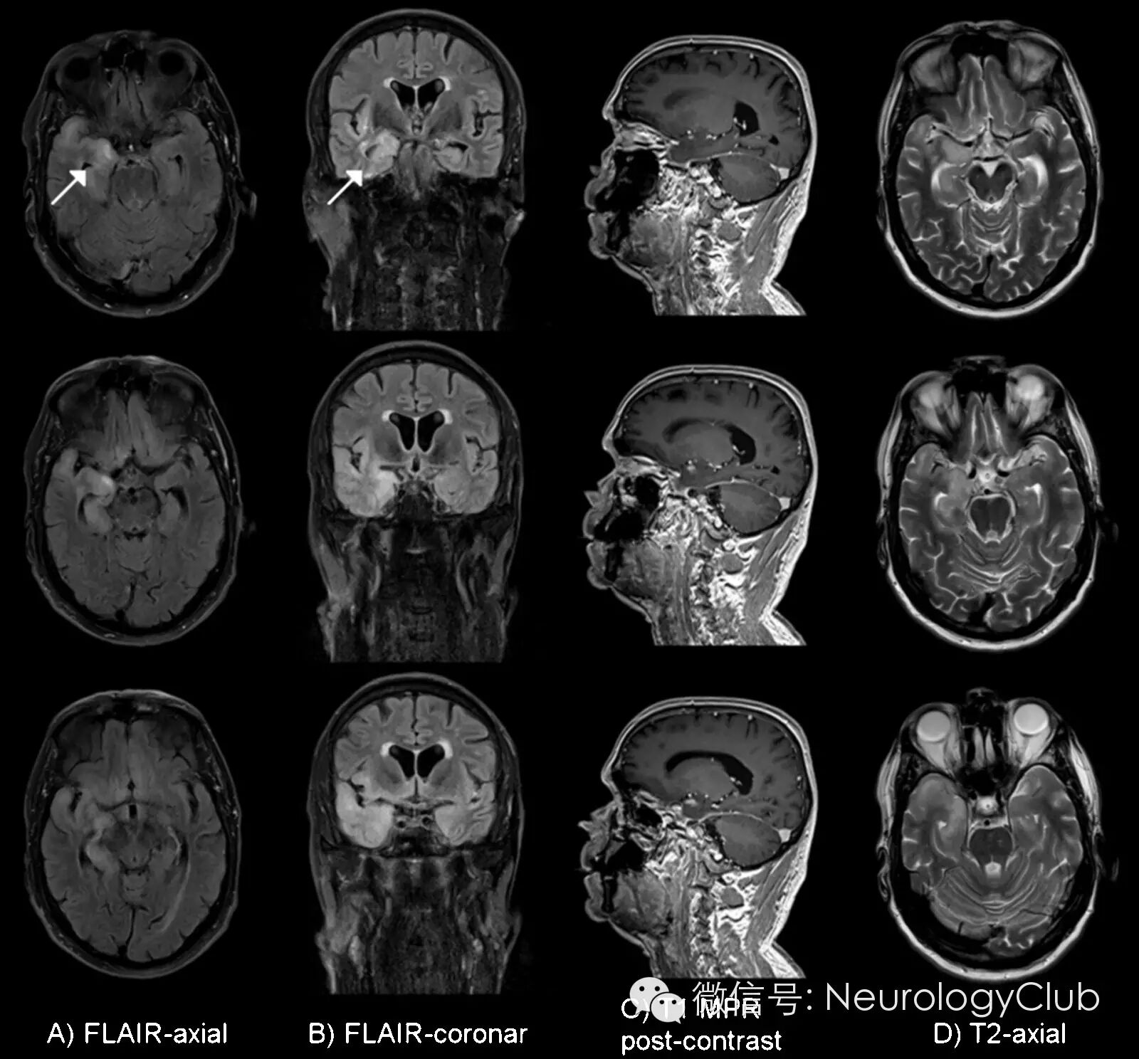
头颅MRI提示两侧颞叶内侧面及海马FLAIR高信号,右侧明显(图)。脑脊液细胞数增多(129/μl),蛋白含量升高(84mg/dl)。血清和脑脊液梅毒ELISA筛查和FTA-IgG阳性,FTA-IgM阴性(血清VDRL检测阳性,鞘内梅毒螺旋体抗体指数107)。疱疹病毒(HSV, VZV, CMV, EBV)血清IgM和脑脊液PCR阴性,伯氏疏螺旋体血清学检测阴性,HIV(HIV-1/HIV-2抗体和p24抗原)以及肝炎系列(HBV和HCV)阴性。毒物学筛查无殊。血清副肿瘤相关抗体(抗Hu,Yo,Ri,Ma/Ta,CV-2,Amphiphysin)和脑脊液自身免疫性脑炎抗体(抗NMDAR,AMPAR,GABA(B)R,LGI1,CASPR2,甘氨酸受体)等亦为阴性。

(入院5天后的3T MRI提示两侧颞叶内侧面及海马异常信号,右侧明显)
诊治经过
入院继续给予青霉素治疗并硫胺素和左乙拉西坦静脉注射。2天后患者定向力障碍好转,但仍有轻度的认知功能缺失,无癫痫发作。2周后患者出院,无神经功能缺失症状。出院近1年时随访,患者已停用抗癫痫药物,情况良好,症状无复发。
最终诊断
神经梅毒
结合患者病史和影像学表现,神经梅毒是最可能的诊断。癫痫发作还可能与酒精戒断或者细菌产物的释放(赫氏反应)有关,因为症状出现在开始青霉素治疗数小时后。
神经梅毒根据病程可分为早期脑膜梅毒,脑膜血管梅毒,麻痹性痴呆和脊髓痨。脑膜梅毒的主要表现为脑膜炎,而脑膜血管梅毒常见血栓形成或梗死。实质型神经梅毒包括麻痹性痴呆和脊髓痨,可见神经精神症状,共济失调,感觉异常等。本例患者开始存在定向力障碍和认知功能下降,怀疑为麻痹性痴呆,但无长期严重的精神症状,其认知功能障碍轻微且短暂,符合癫痫发作后状态。因此,本例神经梅毒难以进行亚型分类。
患者如此的影像学表现最常见于边缘叶脑炎或单纯疱疹病毒性脑炎,而神经梅毒出现类似MRI改变的少见,容易误诊。近年来,自身免疫性脑炎的研究方兴未艾。其也可出现颞叶内侧面及海马异常信号。本例患者相关自身抗体检测阴性,病毒血清学或PCR无感染依据。可排除上述诊断。
梅毒被成为伟大的“模仿者”,其可模拟不同疾病的不同表现。临床上,碰到癫痫发作,认知功能下降,且影像学提示颞叶内侧面脑炎的患者,神经梅毒应作为其中一个重要的鉴别诊断。
[参考文献]
Geisler F, Smyth M, Oechtering J, Tuetuencue S, Klostermann F, Nolte CH.Auto-antibody-negative limbic-like encephalitis as the first manifestation of Neurosyphilis.Clin Neurol Neurosurg. 2013 Aug;115(8):1485-7.
神经病学俱乐部 微信号:NeurologyClub神经病学俱乐部,立足一线临床,服务神经科同行,助力神经病学天天向上