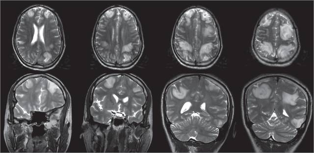
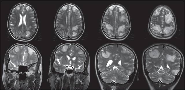
30余岁女性,因全面强直-阵挛发作持续3分钟被私家车送至急诊室。Glasgow昏迷量表评分9分。患者没有发热,生命体征平稳,搬动四肢时似有疼痛感。血糖133mg/dL(换算为mmol/L乘以0.0555)。患者朋友诉其在癫痫发作前使用过合成大麻。患者既往没有癫痫发作史,但4月前因为使用合成大麻出现过左侧大脑缺血性卒中和心肌梗死,症状和神经系统功能缺失已经缓解。患者入院后再次出现强直-阵挛发作,使用劳拉西泮和左乙拉西坦后好转。随后给予患者插管保护气道。以下实验室检查均正常:全血细胞计数,生化电解质,阿司匹林浓度,对乙酰氨基酚浓度,酒精浓度和肝功能检测。尿中药物筛查提示大麻阳性,脑脊液检查未做。头颅MRI提示双侧皮质和皮质下白质水肿。患者被转至重症监护室,神经系统检查结果逐步好转。24小时内脱离机械通气。7天后患者意识恢复正常,并无神经系统功能缺失,出院回家。因为没有医保,导致患者不能在神经科随访,也未复查头颅影像学。出于后90天电话随访,尽管在服用左乙拉西坦,患者诉仍然出现过2次自限性的发作。否认服用其他毒品。患者能独立正常生活,但因为乏力,无法持续站立超过20分钟。此外,患者因为持续存在的记忆问题和做事时难以集中注意力无法重返工作岗位。

(横断面及冠状位头颅MRI,T2WI,提示双侧弥漫的皮质及皮质下水肿)
可逆性脑血管收缩综合征(RCVS)是因脑动脉节段性和多灶性可逆性收缩所致。常表现为突然的严重头痛伴或不伴神经功能缺失或癫痫发作。可自发或在某些诱因(最常见的为产后或使用包括大麻在内的血管活性药物)下出现。RCVS的病理生理机制可能与脑血管张力失调有关,因为活检标本中没有发现组织学的改变。血管紧张度失调推测可能由交感神经过度兴奋,血管内皮功能紊乱和/或氧化应激所致。
治疗上包括停止使用血管活性药物,支持疗法包括镇痛,监测血压,控制癫痫发作。钙离子通道阻滞剂可改善症状但不影响脑血管收缩或其并发症。RCVS多为自限性,一般在3周内症状缓解,只有少数患者会出现缺血性梗死。暴发性病程见于5-10%的患者,可致终身残疾或死亡。
[参考文献]
Sorensen DM.Reversible Cerebral Vasoconstriction Syndrome.JAMA Neurol. 2015 Dec 7:1-2. doi: 10.1001/jamaneurol.2015.3472. [Epub ahead of print]
神经病学俱乐部 微信号:NeurologyClub神经病学俱乐部,立足一线临床,服务神经科同行,助力神经病学天天向上