70岁男性,既往诊断为慢性淋巴细胞白血病,查白细胞计数T辅助细胞95.3/mm3,分类淋巴细胞100%,但患者拒绝治疗。患者后出现排痰性咳嗽和进行性加重的意识障碍。入院时,出现感染性休克。胸部CT提示两肺渗出性病变。头颅MRI提示出血伴周围水肿以及多发小梗死灶(图1)。左侧额叶病灶活检提示脓肿伴大片坏死,中性粒细胞炎症,可见有隔膜的真菌菌丝及锐角分支(图2 )。

(图1:A:胸部CT提示肺下叶渗出性病变;B-C:FLAIR和T2梯度回波序列提示出血伴周围水肿;D:DWI提示多发弥散受限病灶,不符合特殊血管分布)

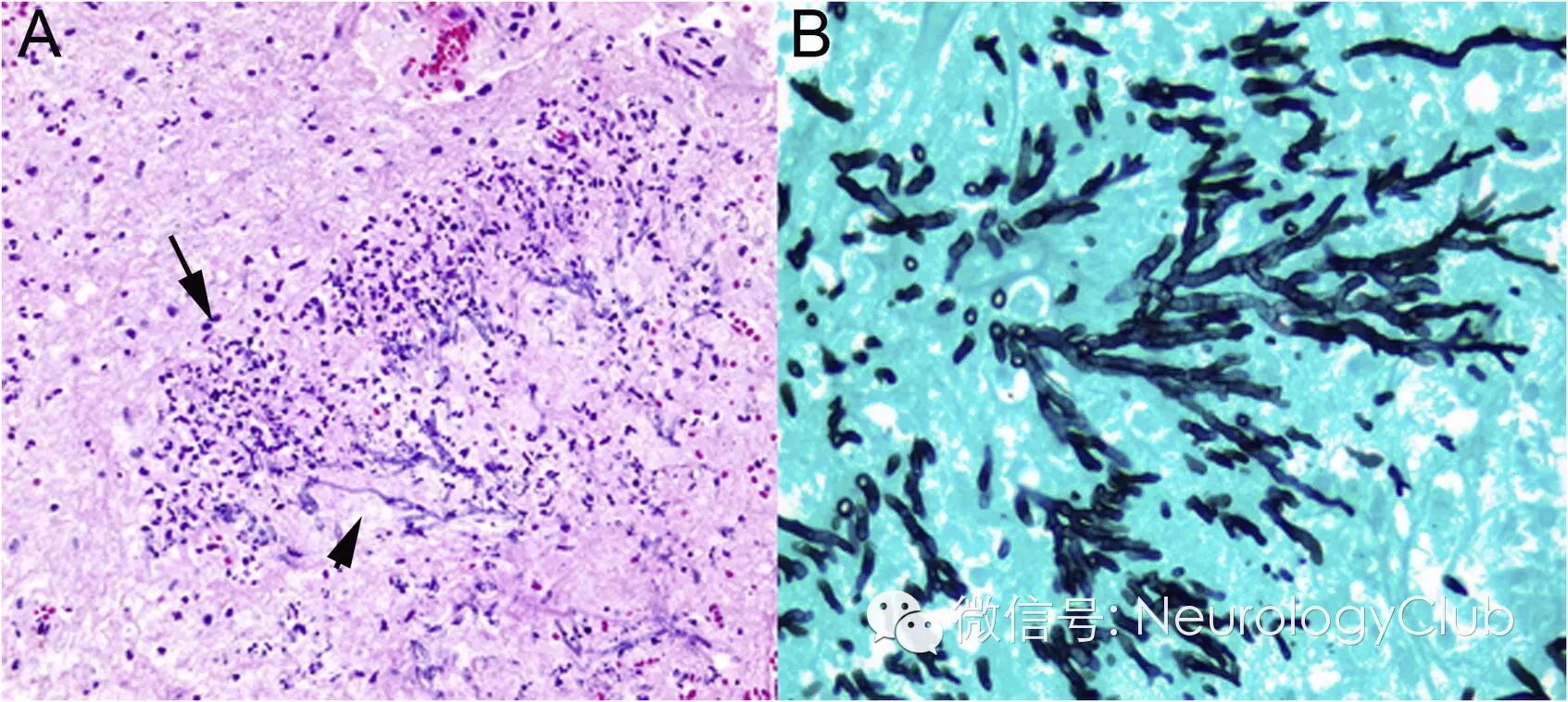
(图2:A:有隔菌丝[箭头]背景下可见中性粒细胞浸润(箭),HE×20;B:
Gomori六胺银染色可见有隔菌丝×40)
最终诊断
曲霉菌病
对于免疫抑制患者,当出现精神状态改变,癫痫发作或局灶性神经功能缺损体征时,需高度怀疑神经系统曲霉菌病的可能。曲霉菌通过呼吸系统进入人体,通过血运或鼻旁窦播散至脑部。曲霉菌颅内播散见于约10%的患者。曲霉菌病引起的感染性血管病变导致出现梗死和出血,部位呈随机分布,有助于和其他机会性感染(如念珠菌病、弓形体病和隐球菌病)区别。因为中枢神经系统曲霉菌病也可见于免疫健全的患者,因此与原发性中枢神经系统血管炎的鉴别也是一个巨大挑战。有时,确诊只能依赖脑活检。
影像学上,侵袭血管的中枢神经系统曲霉菌病表现为多灶出血病变伴弥散受限。出血倾向的原因是因为曲霉菌产生的弹性蛋白酶可降解动脉内弹性膜,而血栓形成和梗死的出现是由于真菌阻塞穿支动脉管腔。本例患者的头颅MRI表现比较典型,可见出血伴外周水肿,同时存在小的不符合特殊血管分布的多发弥散受限病灶。真菌可越过血管壁传播,导致邻近脑组织脓肿形成。
临床上,曲霉菌病的表现无特异性。患者可有意识障碍,局灶性神经功能缺失,癫痫发作和发热。显微镜下,通过银染法可准确识别。菌丝的出现证实频繁的分隔作用,形成约45°锐角的分支。不管是否诊断为曲霉菌病,对影像学上表现为梗死和出血的免疫抑制患者而言,给予抗真菌治疗意义并不大,因为这类颅内曲霉菌病患者预后不良,死亡率近100%。本例患者给予伏立康唑治疗,但不幸的是,用药后3周临床症状并无改善,患者家属决定放弃治疗。
[参考文献]
David Cachia, Monica Makhija, Thomas Smith.Cough and confusion in an elderly man with chronic lymphocytic leukemia.J Clin Neurosci. 2015 Dec;22(12):1963,1996.
神经病学俱乐部 微信号:NeurologyClub神经病学俱乐部,立足一线临床,服务神经科同行,助力神经病学天天向上