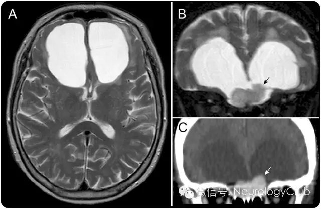
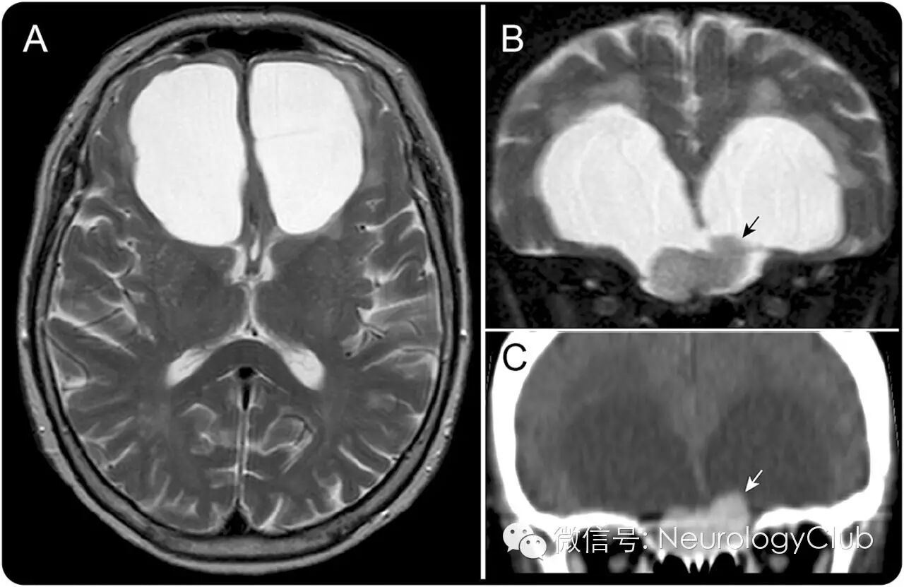
73岁女性,表现为进行性冷漠,健忘和步态障碍6月。神经系统查体提示注意力不集中,记忆缺陷和宽基步态。因患者钆过敏,故只能行非强化磁共振检查。MRI和增强CT提示双侧额叶对称性囊肿(图1A)以及前颅底结节状病灶(图1B和C)。手术证实为鸡冠部来源的脑膜瘤(图2A)。术后患者症状改善,囊肿缩小(图2B)。

(图1:[A]横断位和[B]冠状位T2WI可见对称性双侧额叶大囊肿和一横跨于筛板上的等信号结节;[C]增强CT扫描可见结节状病灶均匀强化。鉴别诊断包括脑膜瘤,嗅母细胞瘤和血管外皮细胞瘤)

(图2:[A]双额经路术中可见囊壁[箭头]和脑膜瘤[箭],起源于鸡冠部硬脑膜[开放箭头]。虚线为中线;[B]术后4月的T2WI证实囊肿缩小)
囊性脑膜瘤可分为瘤内型,实质内型,蛛网膜下/蛛网膜上型等。囊性变偶可见于颅底脑膜瘤,通常为单侧。对称性双侧囊肿罕见。
[参考文献]
Toda H, Maekawa H.Bilateral frontal cysts from a crista galli meningioma.Neurology. 2015 Dec 8;85(23):2081-2082.
神经病学俱乐部 微信号:NeurologyClub神经病学俱乐部,立足一线临床,服务神经科同行,助力神经病学天天向上