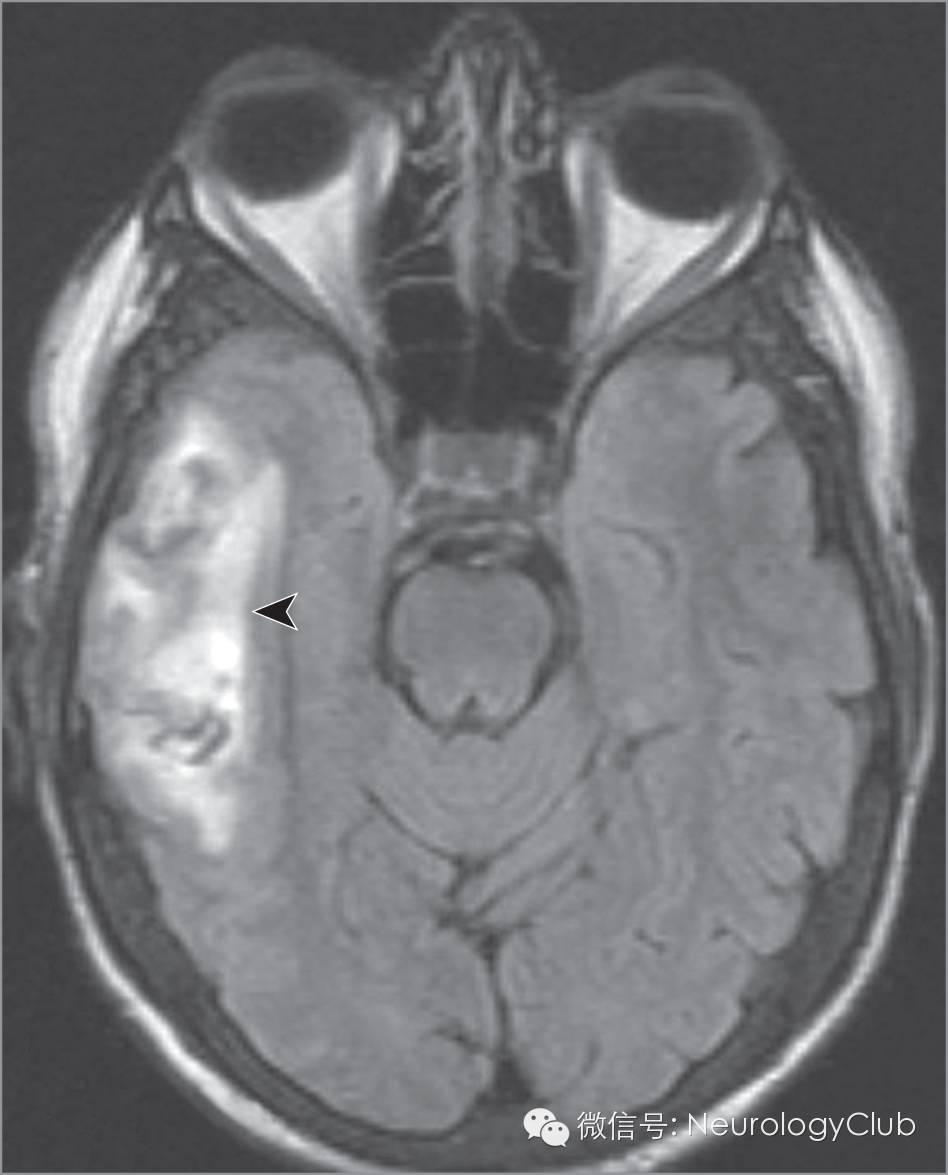
30岁男性,右侧颞叶病灶

30岁男性,因2次强直-阵挛发作来到急诊室,该症状出现前的一周内曾有数次头痛。既往罹患镰状细胞病。神经系统查体未见明显局灶性体征。实验室检查结果如下:血红蛋白,11.2 g/dL;平均红细胞容积,95.2μm^3;血小板,736 ×10^3/μL;电泳提示血红蛋白S水平52%。患者诉每年约有1次镰状细胞危象,并因缺血性坏死行左髋关节置换术。头颅MRI提示右侧颞叶较大面积出血性梗死(图1),提示Labbe静脉血栓形成,磁共振静脉成像证实了这一推断(图2)。患者接受静脉切开术(放血200ml)与静脉补液治疗,目标是把血红蛋白水平降至10g/dL以下。血栓形成倾向检查提示VIII因子水平升高



(图1:黑水像提示右侧颞叶较大面积出血性梗死)



(图2:[A-C]右侧Labbe静脉血栓在T1WI上为高信号,梯度回波序列为低信号,磁共振静脉成像上未见高信号;[D]静脉重建可见左侧Labbe静脉)


讨论

Labbe静脉属于浅静脉系统,引流颞叶外侧面。该静脉发自外侧裂,走行于后下方,最后注入横窦。孤立的Labbe静脉血栓形成罕见。先前的报道均发生于左侧。


皮层静脉血栓形成的危险因素包括易栓症,怀孕或围产期,恶性肿瘤,口服避孕药以及中枢神经系统感染。Labbe静脉血栓形成最常见的临床表现为癫痫发作和头痛。静脉窦血栓形成时出现的颅内压升高,伴意识状态改变和视乳头水肿,在Labbe静脉血栓形成的病例中尚未出现。


VIII因子(抗血友病因子)水平升高合并镰状细胞病先前已有报道。本例患者的静脉血栓形成原因不明,可能继发于一系列因素,包括镰状红细胞淤滞,血栓形成倾向或高粘血症。



[参考文献]

Gold M.Isolated Right Vein of Labbe Thrombosis.JAMA Neurol. 2015 Nov 9:1-2.



神经病学俱乐部 微信号:NeurologyClub
神经病学俱乐部,立足一线临床,服务神经科同行,助力神经病学天天向上



分享 :