舞蹈病-棘红细胞增多症患者进食性肌张力障碍


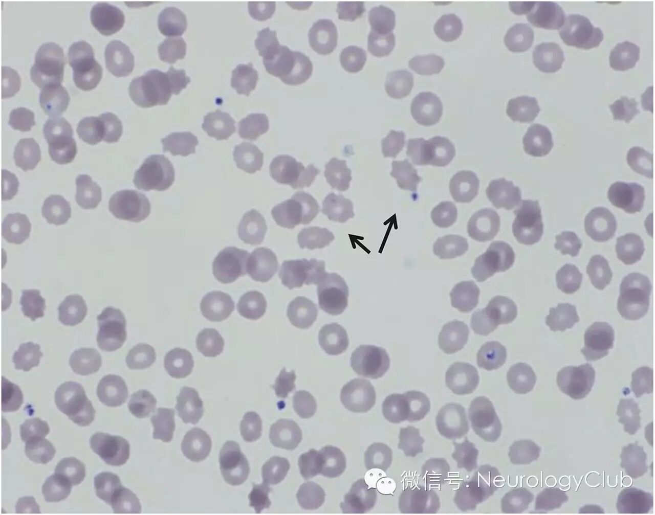
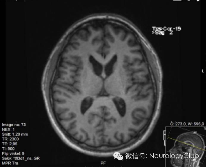
39岁男性,因“人格改变,不自主运动与进食困难”就诊。查体发现进食性肌张力障碍,构音障碍,肢体肌张力障碍以及舞蹈样动作(视频)。血清转氨酶和肌酸激酶水平升高。血涂片可见棘红细胞,肌肉活检提示肌病,影像学检查提示尾状核萎缩(图1-4)。蛋白质印迹法提示chorein蛋白缺失,遗传学检测发现复合杂合子新的VPS13A基因突变(c.266dupT以及外显子52,53,55和58缺失),确诊为舞蹈病-棘红细胞增多症。患者接受颏舌肌肉毒素注射治疗,进食和讲话症状明显改善。




(图1:血涂片可见约10%的棘红细胞)



(图2:左侧胫骨前肌Gomori染色提示肌纤维大小不一,出现中央核[细箭头]以及纵裂[粗箭头],符合肌病特点)



(图3:冠状位T1WI可见尾状核明显萎缩)



(图4:横断面T1WI可见尾状核明显萎缩)


[参考文献]

Martin Paucar, Per-Åke Lindestad, Ruth H. Walker, Per Svenningsson.Teaching Video NeuroImages:Feeding dystonia in chorea-acanthocytosis.Neurology. 2015 Nov 10;85(19):e143.


温馨提醒
请尊重我们的劳动成果,转载不要忘了注明出处哦~~~



神经病学俱乐部 微信号:NeurologyClub
神经病学俱乐部,立足一线临床,服务神经科同行,助力神经病学天天向上


分享 :