Susac综合征(Susac Syndrome)

概述

1979年,美国医生Susac首次报道了2例白人女性患者,以脑病和视网膜分支动脉闭塞(branch retinal artery occlusion,BRAO)为临床表现,实验室检查均未提示任何已知疾病,其中1例患者经类固醇治疗后脑活体组织检查(简称活检)显示为“治愈”的血管炎,2例患者均对类固醇反应良好,Susac称之为脑和视网膜微血管病。随后,被学者称为视网膜耳蜗血管病,又被称为微血管病性视网膜病、脑病、耳聋(retinopathy,encephalopathy,deafness associated microangiopathy,REDM)和耳蜗、视网膜和脑组织小梗死(small infarction of cochlear,retinal and encephalic tissue,SICRET)。1986年,Hoyt建议将此病命名为Susac综合征。1994年,Susac应邀在Neurology杂志上发表综述,正式将本病命名为Susac综合征。


1致病机制


Susac综合征的病因与致病机制目前尚不确切。从病理研究结果来看,Susac综合征可能是一种自身免疫性疾病,因免疫功能异常引起的微血管病变导致小血管阻塞,进而导致大脑、视网膜、耳蜗形成微梗死灶。曾有报道称患者于注射疫苗、病毒感染后可罹患Susac综合征,可能是由于疫苗或病毒进入人体后,激活异常的免疫应答所致。微梗死灶可同时累及大脑、视网膜与耳蜗,原因可能在于三者拥有共同的胚胎起源,其内皮具有共同的抗原。也有学者认为该病可能与血管痉挛、高凝状态相关。近年来,在部分Susac综合征患者的血清中发现了特异性的抗内皮细胞抗体(anti-endothelial cell antibody,AECA),AECA属于补体激活IgA1亚族,可直接与血管内皮细胞结合,或许在Susac综合征的致病过程中起到重要作用。


(图1 Susac综合征的病理生理机制模型)


2临床表现


Susac综合征的典型临床表现为“急性脑病、视网膜分支动脉闭塞和听觉受损”三联征。但仅有13%的患者在发病初期就表现出上述3组症状,一般会延迟数周至数年,平均延迟5个月。头痛可作为该病的前驱症状,常表现为偏头痛,出现于80%的患者中在整个发病过程中,中枢神经系统症状、视觉症状和听觉症状出现在90%以上的患者当中,85%的患者会出现“三联征”表现。Rnenbohm等将Susac综合征的自然病程分为3类:单相病程、多相病程与慢性病程。多数患者为单相病程,常在1-2年内缓解不再复发;部分患者属于多相病程,病情常持续超过2年,急性加重期之间可有缓解期;少数患者属于慢性病程,病情呈持续性活动,常持续数年。


(1)脑病:常呈急性或亚急性起病。约66%的患者起病时伴有中枢神经系统症状,91%的患者于疾病发展过程中表现出中枢神经系统症状。常见的表现包括情感认知功能损害、意识模糊、行为异常、性格改变、步态失调、感觉异常、肢体瘫痪、恶心呕吐等,少数患者还可出现淡漠、精神异常、癫痫发作、构音障碍、动眼神经麻痹、尿失禁等症状。神经系统体检可出现腱反射亢进、病理征阳性等。有文献报道1例Susac综合征患者因脊髓马尾受累,出现马尾综合征的症状,具体表现为尿潴留,便秘、鞍区感觉麻木。


(2)视觉受损:Susac综合征患者起病时,只有40%伴有视觉症状,但在整个病程中,几乎所有患者都出现了视觉症状。视觉症状常为双侧性,主要表现为视野缺损、视力下降甚至完全丧失。视觉症状通常被认为由BRAO引起。可以通过眼底镜、荧光血管造影、光学相干断层扫描等检查评估BRAO的严重程度。


(3)听觉受损:一般为急性起病,可为单侧或双侧,以双侧多见,常为不对称,且经常伴有耳鸣、眩晕、恶心、呕吐、眼球震颤和步态不稳。听觉症状常被其他神经系统症状所掩盖。起病时仅有37%的患者会伴有听觉症状,但在整个病程发展过程中,96%的患者均出现了听觉症状。Roeser等统计分析23例Susac综合征患者,其中10例(45.5%)伴有听觉受损,14例(61%)伴有耳鸣,13例(56.5%)伴有眩晕。


3辅助检查


(1)影像学检查:本病首选MRI进行检查,可见多发灰、白质小病灶,直径多为3-7mm,呈T1低信号、T2高信号影,几乎所有患者均有幕上白质病灶,主要位于胼胝体、侧脑室旁,42%的患者有幕上灰质病灶,包括皮质与深部灰质,43%的患者有幕下病灶,包括脑干与小脑,约50%的患者可出现病灶强化,23%的患者伴有软脑膜强化,也有报道称脊髓可被累及。胼胝体受累以中央纤维为主,周围纤维则较少累及。胼胝体中央部微梗死灶急性期在液体衰减反转恢复序列(fluid attenuated inversion recovery,FLAIR)像中为高信号影,常表现为雪球样,也可表现为锥状或条索状。随着疾病的演变,梗死灶液化坏死,T1像表现为胼胝体中央部的“空洞征”,这是Susac综合征较为特异性的影像学表现。弥散加权成像(diffusion weighted imaging,DWI)可见内囊串珠样改变,为高信号影,系内囊微梗死灶引起,亦为Susac综合征的典型影像学特点。


(2)眼底检查:眼底镜检查常可见由BRAO导致的视网膜缺血性苍白色渗出,常为棉絮状,也可见视网膜动脉壁斑块(Gass斑)、弥漫性小动脉狭窄、动脉银丝样改变,后期可见视网膜动脉间侧支循环形成。Gass斑为Susac综合征的特异性表现,典型的Gass斑为黄色,有或无折光性,常远离视网膜动脉分叉处Gass斑可随着疾病的好转而消散眼底荧光血管造影结果可显示视网膜小动脉上细小、局部的阻塞性病灶,即BRAO,是Susac综合征典型的表现,而视网膜静脉一般不受累及。此外,还可以发现特征性的动脉壁高荧光显像(arterial wall hyperfluorescence,AWH),其位置与视网膜分支动脉闭塞位置无关,AWH可以发生于远离BRAO的位置。Martinet等研究发现7例Susac综合征患者急性期的吲哚氰绿眼底血管造影结果均未见异常,提示脉络膜循环未受影响。


(3)光学相干断层扫描:光学相干断层扫描是一种非接触式无创性光学影像诊断技术,利用光学干涉原理,分析不同组织的结构。Dorr等研究显示Susac综合征患者外网层及外网层内侧视网膜组织的厚度与黄斑总容积均出现下降,而外核层及外核层外侧组织厚度无明显下降。这可能与视网膜的血供相关,视网膜内层组织由视网膜动脉供应,而外层组织由脉络膜动脉供应。


(4)听觉检查:Susac综合征患者常表现为听力明显下降,为感音性耳聋,常为双侧性,双耳听力常不对称。Roeser等统计23例患者中的34只受损耳接受听力检查的结果发现,平均纯音听阈为41.5dB。在语言识别功能检测中,只有26.5%的受损耳能够完全清晰地分辨语言。听觉受损区域最常见于中频和低频,也有报道称患者会出现全频率的听觉受损。中低频听觉受损,与梗死位置有关,主要为耳蜗顶部梗死。Roeser等对1例患者实施双侧人工耳蜗植入术,进行神经反应遥测,显示双侧最大波幅均位于耳蜗基底部,提示双侧耳蜗基底部神经细胞的存活率更高。尸检发现双侧耳蜗顶部可见广泛性耳蜗管结构萎缩。


(5)其他检查:部分Susac综合征患者红细胞沉降率、C反应蛋白等炎性标志物会轻度升高,抗核抗体、类风湿因子、抗中性粒细胞胞质抗体等自身免疫性标志物一般呈阴性。Margo等对11例Susac综合征患者进行血清AECA检测,其中9例检测结果为阳性。Jarius等对25例Susac综合征患者的血清AECA进行检测,发现在25%的Susac综合征患者血清中可检测到高滴度的AECA。AECA在Susac综合征中具有较高的特异度,而敏感度较低。因此,血清AECA的检测具有一定的诊断价值,对于血清AECA阴性的患者也不能完全排除Susac综合征。患者的脑电图常无特异性结果,最常见弥漫性慢波,其他如痫样放电、广泛性三相波、额区间歇性节律性δ活动等也均有报道。脑脊液检查常可发现蛋白含量中度升高,平均为1.62g/L,细胞数轻度增多,平均为12个/mm3,且以淋巴细胞为主,寡克隆带阴性。



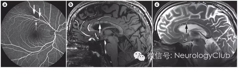
(图2 a:粗箭头示视网膜分支动脉阻塞,细箭头示荧光造影剂渗出;b:T1WI;c:T2WI)



(图3 胼胝体雪球样病变)



(图4 a:视网膜分支动脉阻塞,荧光造影剂渗出;b:Gass斑)


4诊断与鉴别诊断


Susac综合征目前尚无统一的诊断标准,多依靠临床症状,但由于仅有13%的患者在发病初就表现出三联征,大多常需要经过数周甚至数月才出现,故单凭三联征来诊断是不适合的,应结合辅助检查:头颅MRI可发现多发性长T1、长T2病灶,累及脑深部灰质、胼胝体中央部,伴有软脑膜强化,可见胼胝体中央部“空洞征”、内囊串珠样改变,眼底检查可发现Gass斑、BRAO与AWH,血清检查可见AECA阳性等。若患者表现出三联征中的两种症状,并伴随MRI的特异性表现、眼底特异性发现或血清AECA阳性,可以考虑诊断Susac综合征。


以脑病为首发症状的Susac综合征患者需要与多发性硬化、急性播散性脑脊髓炎(acute disseminated encephalomyelitis,ADEM)、病毒性脑炎、脑栓塞、散发性小血管炎、炎性血管炎、红斑狼疮脑病、梅尼埃病、偏头痛、精神分裂症等疾病相鉴别。临床上易将该病误诊为多发性硬化、ADEM或病毒性脑炎,其鉴别要点详见表1。



5治疗与预后


常见治疗方法包括激素、免疫抑制剂、免疫球蛋白、血浆置换、抗血小板、抗凝治疗和扩血管治疗等对于伴随BRAO的患者,可以考虑接受高压氧治疗。对于遗留耳聋的患者,可以接受人工耳蜗植入术。


Rnenbohm等建议:在治疗第1周,首先给予甲泼尼龙冲击治疗,连续3d(或隔天进行)静脉注射甲泼尼龙,接着口服大剂量泼尼松,持续4周左右,而后开始逐渐减量。同时在第1周内可给予静脉注射丙种免疫球蛋白治疗,每月1次,持续6个月。在泼尼松开始减量后,可以考虑加用环磷酰胺或霉酚酸酯。同时推荐每天口服低剂量阿司匹林


血浆置换可以作为Susac综合征的辅助治疗方法,尤其对于那些经过激素治疗后未能达到症状缓解的患者。单克隆抗体也被逐渐用于Susac综合征的治疗。Rnenbohm等将利妥昔单抗与英夫利昔单抗用于难治性Susac综合征患者的治疗,取得了一定的效果。


大部分Susac综合征患者属于单相病程,常在1-2年内缓解后不再复发,少部分患者属于多相病程或慢性病程,病情常持续超过2年,甚至有个案报道称患者缓解18年后再次复发。Susac综合征患者一般不会遗留严重的后遗症,多数患者大脑功能与视力都能恢复到较好的状态,只遗留较轻神经精神症状或轻微视力下降,但多数患者会遗留不同程度的听力障碍。


[参考文献]

1.赖其伦,章殷希,丁美萍.Susac综合征临床研究进展.中华神经科杂志.2015;48(4):347-50

2.Dörr J1, Krautwald S, Wildemann B, Jarius S, Ringelstein M, Duning T, Aktas O, Ringelstein EB, Paul F, Kleffner I.Characteristics of Susac syndrome: a review of all reported cases.Nat Rev Neurol. 2013 Jun;9(6):307-16.

3.Kleffner I, Duning T, Lohmann H, Deppe M, Basel T, Promesberger J, Dörr J, Schwindt W, Ringelstein EB.A brief review of Susac syndrome.J Neurol Sci. 2012 Nov 15;322(1-2):35-40.

4.Greco A, De Virgilio A, Gallo A, Fusconi M, Turchetta R, Tombolini M, Rizzo MI, de Vincentiis M.Susac's syndrome--pathogenesis, clinical variants and treatment approaches.Autoimmun Rev. 2014 Aug;13(8):814-21.

5.Vodopivec I, Venna N, Rizzo JF 3rd, Prasad S.Clinical features, diagnostic findings, and treatment of Susac syndrome: A case series.J Neurol Sci. 2015 Jul 2. pii: S0022-510X(15)00414-1.

6.García-Carrasco M, Mendoza-Pinto C, Cervera R.Diagnosis and classification of Susac syndrome.Autoimmun Rev. 2014 Apr-May;13(4-5):347-50.

7.Bitra RK, Eggenberger E.Review of Susac syndrome.Curr Opin Ophthalmol. 2011 Nov;22(6):472-6.


图文整理:lql

编辑审校:zyx


温馨提醒
请尊重我们的劳动成果,转载不要忘了注明出处哦~~~



神经病学俱乐部 微信号:NeurologyClub
神经病学俱乐部,立足一线临床,服务神经科同行,助力神经病学天天向上




分享 :