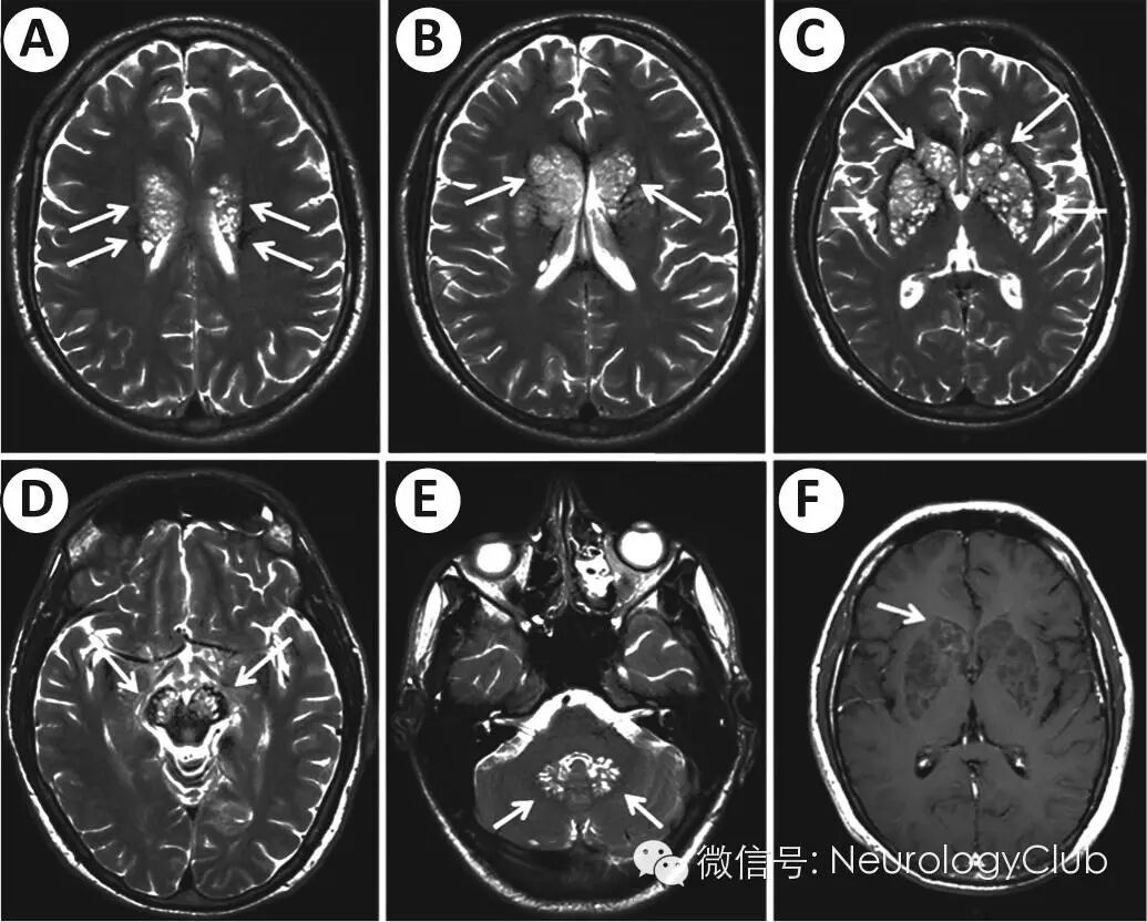
颅内多发肥皂泡样病灶


24岁男性,因头痛,呕吐,困倦,进行性意识下降伴癫痫发作2周就诊。既往曾有HIV-1感染,6月前已停止抗逆转录病毒治疗。入院查体:患者意识模糊,眼底检查正常,腱反射亢进,病理征阳性。脑膜刺激征阴性。腰穿提示压力170mm H2O,色清,白细胞计数1/mm3,糖48mg/dL,总蛋白53mg/dL。CD4+ T细胞计数6/μL,HIV-1病毒载量138000/mm3。胸片正常。头颅MRI提示双侧多发T1低信号,T2高信号囊样病灶,主要位于脑室旁白质,基底节区,乳头体,中脑脚和齿状核。无占位效应。注射对比剂后仅右侧尾状核头病灶轻度强化。无脑膜强化。



(A-E:T2WI;F:T1增强)


诊治经过

脑脊液墨汁染色阳性。患者在ICU中接受两性霉素B静脉治疗,但患者症状仍持续恶化,数天后出现呼吸衰竭伴血流动力学不稳,入院18天后死亡。


最终诊断

隐球菌病


讨论

隐球菌病是艾滋病患者或其他免疫功能不全患者中枢神经系统最常见的机会性真菌感染。这些患者因处于严重的免疫抑制状态,临床上可无脑膜刺激征,也可无脑脊液细胞数增多(缺乏炎症反应)。


中枢神经系统受累多继发于血行播散,且通常因先前静止的肺部感染重新激活所致。脑膜炎常为主要症状,以脑基底部最明显。脑实质受累可见于隐球菌瘤(cryptococcomas),出现V-R间隙扩大,皮质结节状病灶强化。沿颅底部的脑膜感染可延伸至V-R间隙,后者因微生物分泌的黏液状凝胶样物质扩大。因为这些间隙与脑实质间尚未形成膜,因此这些囊样病灶称为凝胶状假性囊肿(gelatinous pseudocysts)。


本例患者中,这些凝胶状假性囊肿在MRI上呈现肥皂泡样改变。可见多发小的圆形或卵圆形囊肿位于基底节区,丘脑,中脑,小脑和脑室旁区域。病灶于T1WI呈低至等信号(粘蛋白),T2WI高信号,FLAIR低信号。免疫功能不全患者因免疫抑制以及没有免疫活性的多糖荚膜,故假性囊肿,隐球菌瘤或脑膜强化罕见。免疫正常患者可出现局灶性神经功能缺失症状,炎症反应更明显,临床预后较好。免疫缺陷患者位于基底节和丘脑的多发假性囊肿群高度提示隐球菌感染。这些病灶反映了真菌侵袭中枢神经系统的病理机制。



[参考文献]

Vieira MA, Costa CH, Ribeiro JC, Nunes-Filho LP, Rabelo MG, Almeida-Neto WS.Soap bubble appearance in brain magnetic resonance imaging: cryptococcal meningoencephalitis.Rev Soc Bras Med Trop. 2013 Sep-Oct;46(5):658-9.


温馨提醒
请尊重我们的劳动成果,转载不要忘了注明出处哦~~~




神经病学俱乐部 微信号:NeurologyClub
神经病学俱乐部,立足一线临床,服务神经科同行,助力神经病学天天向上




分享 :