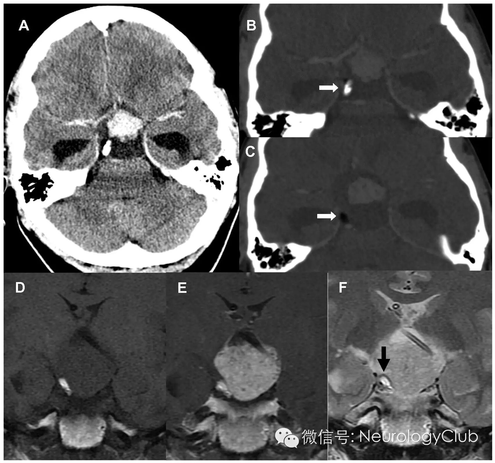
25岁白人女性,表现为头痛,困倦和凝视麻痹。既往体健。行头颅CT提示鞍上区肿块伴钙化,实性部分可强化,邻近右侧后床突可见小灶钙密度和脂肪密度影(A-C)。同时存在梗阻性脑积水。行紧急脑室分流术和肿块囊性部分分流术后,患者困倦和视觉症状有所改善。再行MR检查,提示肿块实性部分均匀强化,脂肪成分呈T1WI和T2WI高信号(D-F)。

(A-C:增强CT;D:T1WI;E:T1+C;F:T2WI)
诊治经过
行手术,病理学明确。

(*所示为成熟骨骼;→所示为脂肪组织 HE ×100)
最终诊断
畸胎瘤
畸胎瘤是罕见的颅内肿瘤,占所有原发性颅内肿瘤的0.4%,分为脑外畸胎瘤和脑内畸胎瘤。脑外畸胎瘤多位于鞍上区和松果体区,儿童多见,平均发病年龄14.5岁。而脑内畸胎瘤是最常见的胎儿颅内肿瘤,产前期即可存在,一般在27周胎龄时发现。脑内畸胎瘤多位于幕上,倾向于累及额叶。
性腺外畸胎瘤多起源于异位的全能原始生殖细胞,这些细胞在早期胚胎发生时错位或经历了异常的迁移。畸胎瘤内为多种混合组织成分,多达90%的儿童畸胎瘤内包含来自三个胚层的成分(外胚层的,中胚层和内胚层)。这与表皮样或者皮样囊肿不同,后两者均为外胚层来源。
尽管皮样囊肿中存在皮脂腺,可产生液体油性皮脂,在CT上表现为脂肪密度,MR上为短T1信号,脂肪抑制序列上信号衰减,但没有固体脂肪组织,因为脂肪细胞是中胚层起源。类似的,皮样囊肿中可有半成齿,但没有软骨或骨。需要注意的是,影像学上未见脂肪或骨骼并不能除外畸胎瘤。
本例患者CT上可见脂肪和骨组织,是诊断的关键。混合性囊性和实性强化肿块中同时存在上述组织,高度提示畸胎瘤的诊断,而在皮样囊肿中,强化罕见。MR进一步证实了脂肪组织的存在。病理学明确畸胎瘤的诊断。
[参考文献]
Sim K, Morokoff A, Tsui A, Gaillard F.Large suprasellar mass.J Clin Neurosci. 2015 Jul;22(7):1183, 1218.
请尊重我们的劳动成果,转载不要忘了注明出处哦~~~
神经病学俱乐部 微信号:NeurologyClub神经病学俱乐部,立足一线临床,服务神经科同行,助力神经病学天天向上