长节段横贯性脊髓炎的鉴别诊断


长节段横贯性脊髓炎(longitudinally extensive transverse myelitis,LETM),是横贯性脊髓炎的一种特殊类型,脊髓受累节段多连续3个或3个以上椎体,是一类由不同原因所致的临床综合征。可出现病变水平以下运动、感觉和自主神经功能障碍。




有助于鉴别长节段横贯性脊髓炎的临床特征

表1

LETM的病因

诊断的临床线索

自身免疫

视神经脊髓炎

先前有恶心、呕吐、呃逆等症状;内分泌功能紊乱;视神经炎病史;既往LETM;自身免疫性疾病病史;临床未愈

系统性红斑狼疮

神经精神症状;皮疹、口腔溃疡、关节痛等病史

干燥综合征

口、眼干燥症状(Sicca综合征)

抗磷脂综合征

栓塞史或习惯性流产史

炎症

多发性硬化

先前症状提示中枢神经系统脱髓鞘

急性播散性脑脊髓炎

前驱感染或免疫接种;脑病;预后良好;多见于儿童或年轻人

神经白塞病

地中海地区高发;口或生殖器溃疡史

神经结节病

多系统受累,特别是呼吸系统症状

感染

类感染:EB病毒,巨细胞病毒,单纯疱疹病毒,水痘-带状疱疹病毒,支原体

在神经症状出现前1-3周有系统感染表现

梅毒


结核


HIV


人类嗜T淋巴细胞病毒I型

非洲高发;脊髓病通常缓慢进展

血吸虫

近期前往疫区旅行或居住在疫区

犬弓蛔虫

系统性症状如咳嗽、哮喘、荨麻疹

猪蛔虫

疫区旅行史。腹痛,体重下降。

肿瘤

副肿瘤性,尤其CRMP-5

脊髓病通常进展缓慢;可能是全身肿瘤(特别是肺和乳腺来源)的表现之一

髓内肿瘤:室管膜瘤,淋巴瘤

缓慢进展的脊髓病

髓内转移瘤


代谢

维生素B12缺乏

其他自身免疫性疾病病史,摄入不足或吸收不良

铜缺乏

胃束带手术史、吸收不良或补锌

血管

脊髓梗死/缺血

症状突发;血管危险因素(也可能无);年龄多在55岁以上;一般脊髓背柱不受累

膜瘘

行走或做Valsalva动作时肢体无力加重;多见于老年人;通常缓慢进展但也可急性发作

其他

放疗

颈部、纵隔或胸腔的放疗史;放疗痕迹


有助于鉴别长节段横贯性脊髓炎的影像特征和实验室检查

表2

LETM病因

辅助检查

说明

自身免疫

视神经脊髓炎(AQP4介导)

AQP4抗体

ANA(抗核抗体)

NMO高度特异性和敏感性的标记物

NMO合并自身免疫性疾病时常见


脊髓MRI

病变累及颈髓或胸髓;轴位上病变位于脊髓中央或全脊髓;T1低信号;脊髓肿胀及强化常见


头颅MRI

发病初期脑室旁病灶不常见;导水管周围,下丘脑丘脑病变典型


脑脊液

脑脊液细胞增多,可能比较明显;蛋白轻至中度升高;寡克隆带罕见。

系统性红斑狼疮

ANA

可合并NMO或本身导致脊髓炎

干燥综合征

ENA(可提取性核抗原)

可合并NMO;无干燥综合征的NMO患者中可见抗Ro抗体

抗磷脂综合征

抗磷脂抗体

可合并NMO

炎症

多发性硬化

头颅MRI

符合Barkhof标准;

Dawson手指征和近皮层的U型病灶


脊髓MRI

脊髓肿胀与强化较NMO少见;有其他病灶存在


视觉诱发电位

常存在亚临床异常


脑脊液

寡克隆带通常阳性但其他多正常

急性播散性脑脊髓炎

头颅MRI

病灶较大且融合成片。基底节区常受累


MOG(髓鞘少突胶质细胞糖蛋白)抗体

急性起病可阳性

神经白塞病

头颅MRI

若存在,病灶常从脑干延伸至间脑结构


针刺反应

常阳性

神经结节病

头颅MRI

MS样病灶软脑膜化,特别是基底脑膜


脊髓MRI

可有软脊膜


血清血管紧张素转化酶

可升高,特别是系统性受累时

感染

类感染

EB病毒,巨细胞病毒,单纯疱疹病毒,水痘-带状疱疹病毒,支原体,肝炎,莱姆病

感染可诱发NMO,因此有明确的系统感染时检测AQP4抗体很重要

梅毒

VDRL

罕见但可治

结核

脑脊液

培养可见抗酸杆菌或分枝杆菌。蛋白常显著升高


胸片

肺结核的证据

HIV

HIV


血吸虫

血吸虫血清学

灵敏度和特异度高


脊髓MRI

常累及圆锥和马尾部的背索

弓蛔虫

全血计数

可出现嗜酸性粒细胞


弓蛔虫血清学


猪蛔虫

大便标本

粪中可见虫卵

肿瘤

副肿瘤

CRMP-5抗体

抗神经元抗体

ampiphysin-IgG

对副肿瘤性脊髓炎有较高特异度,但灵敏度有限


胸片

最常见的相关肿瘤为小细胞肺癌

代谢

维生素B12缺乏

维生素B12


全血计数

贫血和巨红细胞症常见


内因子和壁细胞抗体


铜缺乏

血清铜


全血计数

常有血液学异常

血管

脊髓梗死或缺血

脊髓MRI

早期出现T2高信号,但不绝对。常见于特定部位,包括C1- C3C4-C7T3-T7以及T8-圆锥

硬脊膜瘘

脊髓MRI

常见于中胸段水平以下的T2高信号。

硬膜囊背侧可见流空信号


1视神经脊髓炎


(AQP4阳性的NMO患者。A-B:C2-T10可见长节段脊髓病灶,脊髓中央水肿,呈T2WI高信号,T1WI低信号;C:横断面T2WI脊髓周围白质未受累)


2急性播散性脑脊髓炎


(A:矢状位T2WI提示急性期脊髓长节段T2高信号;B:3月后复查病灶明显消失;C:冠状位FLAIR提示脑室旁,皮质下白质以及基底节区多发T2高信号;D:3月后复查病灶明显消失)


3干燥综合征



(a:C2-T2脊髓长节段T2高信号病灶;b:3天后复查;c:2周后复查;d:1.5年后复查,可见进行性脊髓萎缩)


4中枢神经系统结核



(a:颅内结节状伴脑膜强化;b:三叉神经软脑膜强化;c:C2-T1,2脊髓水肿;d:脊髓水肿伴髓外椎管背侧组织明显强化)


5疱疹病毒6感染



(a:长节段T2高信号长节段病灶;b:病灶位于颈髓中央和左外侧;c:DWI高信号;d:ADC低信号)


6脊髓梗死



(a:下颈段至上胸段异常信号;b:弥散张量成像及ADC提示病灶弥散受限;c:血管造影重建提示C6水平脊髓前动脉闭塞)


7脊髓血管畸形



(a:脊髓长节段高信号与异常流空现象;b:脊髓血管造影提示T5-8后椎管血管性病变;c:动态CT证实硬膜内和硬膜外静脉回流)


8维生素B12缺乏



(A:C2-C5水平异常信号;B:T1-FLAIR未见明显异常;C:颈髓后索V字征)


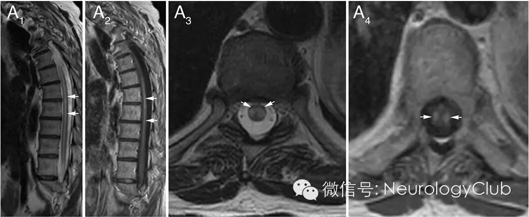
9副肿瘤综合征(扁桃体癌)


(A1:T2WI异常信号超过7个节段;A2:病灶强化;A3:横断面T2WI对称异常信号;A4:病灶强化)


[参考文献]

1.Kitley JL, Leite MI, George JS, Palace JA.The differential diagnosis of longitudinally extensive transverse myelitis.Mult Scler. 2012 Mar;18(3):271-85.

2.Trebst C, Raab P, Voss EV, Rommer P, Abu-Mugheisib M, Zettl UK, Stangel M.Longitudinal extensive transverse myelitis--it's not all neuromyelitis optica.Nat Rev Neurol. 2011 Nov 1;7(12):688-98.

3.Sorte DE, Poretti A, Newsome SD, Boltshauser E, Huisman TA, Izbudak I.Longitudinally extensive myelopathy in children.Pediatr Radiol. 2015 Feb;45(2):244-57

4.Tobin WO, Weinshenker BG, Lucchinetti CF.Longitudinally extensive transverse myelitis.Curr Opin Neurol. 2014 Jun;27(3):279-89.

5.Habek M, Adamec I, Pavliša G, Brinar VV.Diagnostic approach of patients with longitudinally extensive transverse myelitis.Acta Neurol Belg. 2012 Mar;112(1):39-43.

6.Jain KK, Malhotra HS, Garg RK, Gupta PK, Roy B, Gupta RK.Prevalence of MR imaging abnormalities in vitamin B12 deficiency patients presenting with clinical features of subacute combined degeneration of the spinal cord.J Neurol Sci. 2014 Jul 15;342(1-2):162-6.

7.Flanagan EP, McKeon A, Lennon VA, Kearns J, Weinshenker BG, Krecke KN, Matiello M, Keegan BM, Mokri B, Aksamit AJ, Pittock SJ.Paraneoplastic isolated myelopathy: clinical course and neuroimaging clues.Neurology. 2011 Jun 14;76(24):2089-95.


图表整理:zbj

编辑审校:zyx



神经病学俱乐部 微信号:NeurologyClub
神经病学俱乐部,立足一线临床,服务神经科同行,助力神经病学天天向上



分享 :