胶质母细胞瘤(Glioblastoma)

概述

胶质母细胞瘤又称多形性胶质母细胞瘤(Glioblastoma Multiforme,GBM),是星形细胞肿瘤中恶性程度最高的类型,属WHO IV级,分为原发性和继发性。占原发脑肿瘤的17%,神经上皮组织肿瘤的23%,星形胶质细胞瘤的60-75%;可发生于任何年龄阶段,以45-65岁高发,30岁以下者鲜见;男性明显高于女性。病变好发部位依次为额颞叶、顶叶和枕叶,小脑和基底节极为少见,可同时累及多个脑叶。


原发性GBM,好发于老年患者,平均发病年龄55岁,临床病史较短(常小于6个月),以前没有较低级别胶质瘤的病史或组织学证据;继发性GBM,是从低级别(弥漫型星形胶质细胞瘤)或间变性星形细胞瘤发展而来,患者相对年轻(30-45岁)。


肿瘤呈浸润性生长,可经胼胝体或丘脑间粘合越过中线侵犯对侧大脑半球,常见沿白质纤维束和血管周围间隙播散,也可沿室管膜、软脑膜下隙和蛛网膜下隙播散,少见硬脑膜和颅骨侵犯。病理学亚型包括小细胞型胶质母细胞瘤,具有少突胶质细胞瘤成分的胶质母细胞瘤,多灶性胶质母细胞瘤,巨细胞型胶质母细胞瘤和胶质肉瘤。


影像学特点

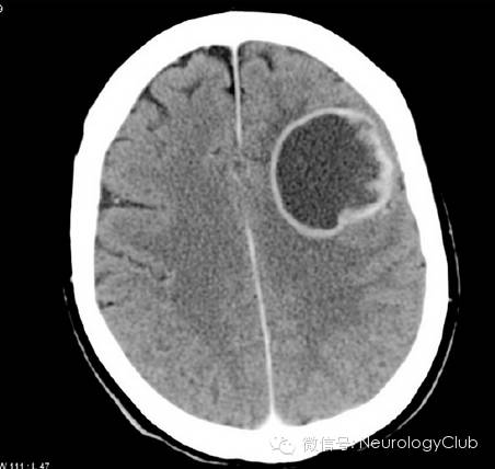
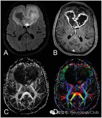
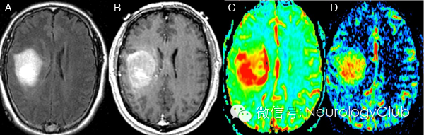
CT显示肿瘤呈边界不清的混杂密度影,常见瘤内出血所致高密度或囊性变、坏死;肿瘤跨胼胝体生长至对侧大脑半球时,呈“蝴蝶征”,水肿和占位效应明显。MRI在一定程度上能够揭示肿瘤的病理改变:T1WI呈不均匀低信号(图 1a),多合并坏死、囊性变或出血性改变;T2WI呈混杂高信号,中心坏死区为高信号,肿瘤生长区周围呈等信号,部分病变与肿瘤周围水肿分界不清,肿瘤内异常血管增生形成线样“流空效应”区(图 1b)。增强扫描肿瘤边缘呈显著对比强化,呈“花环”(ring/rim-enhancing)样(图 1c)、不规则环形、岛形或螺旋形改变;囊变性和坏死区周围肿瘤实质呈特征性“假栅栏征”,即圆形、椭圆形未强化区散在分布在强化区内,类似乳突蜂窝小房。DWI多呈高信号,ADC值明显减低。MRS提示NAA峰降低,Cho升高明显,MI峰较低级别星形细胞瘤低。灌注成像显示,病灶周围和病灶内有多处高灌注区(图 1d),提示大量肿瘤血管生成。胶质母细胞瘤虽具典型影像学特征,但仍需注意与颅内单发转移瘤、间变性胶质瘤、淋巴瘤等肿瘤性病变,以及脑脓肿、结核瘤、脱髓鞘假瘤等非肿瘤性占位性病变相鉴别。



(图2:胶质母细胞瘤)


(图3:蝴蝶征)


(图4:横跨胼胝体的GBM)



(图5:胶质母细胞瘤囊变)



(图6:CT环形强化)


(图7:MRI增强肿瘤呈混杂信号)



(图8:胶质母细胞瘤周围水肿)

注:图2-8源自网络


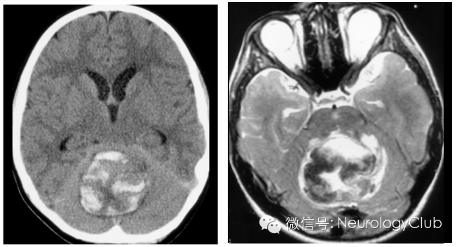
(图9:位于小脑的不典型胶质母细胞瘤)


[参考文献]

1.韩彤.胶质母细胞瘤.中国现代神经疾病杂志,2014年12月

2.Pediatric cerebellar hemorrhagic glioblastoma multiforme.Open Neuroimag J. 2012;6:13-5

温馨提醒

请尊重我们的劳动成果,转载不要忘了注明出处哦~~~



分享 :