色素失调症


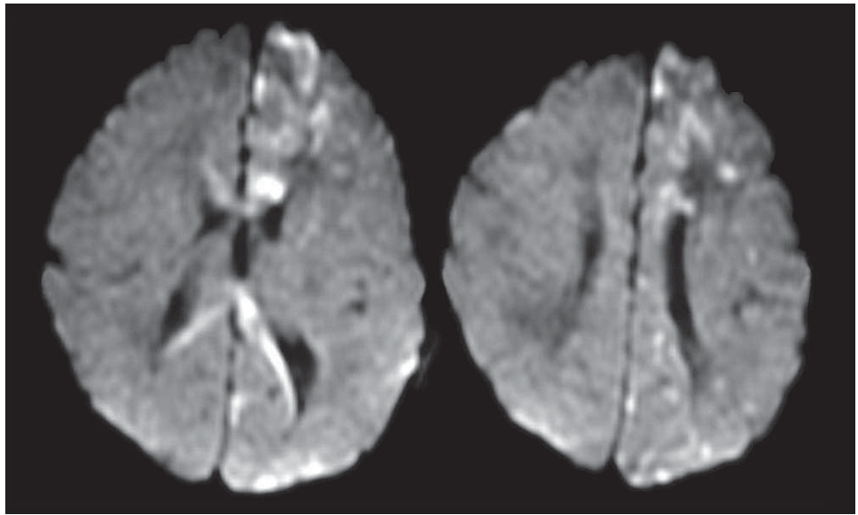
无并发症娩出的一新生儿,女性,被发现身上有皮疹,由半线性成排的水泡和色素沉着过多的丘疹组成(图1)。神经系统查体无殊。对其母亲检查发现左膝后方有轻度色素减退以及包括钉状上门齿在内的异常牙列。患儿4天时出现右侧肢体发作,表现为阵挛性的不同步的面部,上臂和腿部的抽搐。头颅磁共振提示大脑深部和皮质下白质多发弥散受限信号(图2),左侧半球较右侧更甚。临床诊断考虑色素失调症。建议行遗传学检测,但患儿母亲拒绝。



(图1)



(图2:DWI提示弥散受限)


讨论

色素失调症(Incontinentia Pigmenti)是一种X连锁显性遗传的神经皮肤综合征,具有特征性的皮肤病变,常伴有头发,牙齿,指甲,眼睛和中枢神经系统受累。


90%的患者在新生儿期即可表现出炎症性水泡,常呈线性排列(背部可呈V型,躯干前可呈S型),符合胎儿发育期胚胎细胞的迁移(Blaschko线)。通常,水泡随后演变并经历疣状期,色素沉着期,最终进入皮肤萎缩和色素减退期。


30%的患者可有神经系统症状,最常见的表现为癫痫发作,生长发育延迟和轻瘫。神经影像学可提示脑萎缩,脑穿通畸形,出血坏死,脑积水和白质病变。越来越多的MRI和MRA证据表明,微血管的缺血性梗死可能是促成神经系统症状出现的潜在重要因素。一些色素失调症患者可有相关的视网膜血管病变,可支持上述可能的血管病理机制。炎症也被认为可能参与其中,因为其(以嗜酸性炎症性水泡皮肤病变的形式)与缺血性卒中在新生儿期同时发生,但罕有神经病理学的证据。其他可能还包括原发破坏性或感染性发病机制。



[参考文献]

Hsieh DT, Chang T.Incontinentia pigmenti: skin and magnetic resonance imaging findings.Arch Neurol. 2011 Aug;68(8):1080.


温馨提醒

请尊重我们的劳动成果,转载不要忘了注明出处哦~~~



分享 :