嘉兰(秋水仙素)引发的中毒性脑病

背景

嘉兰(Gloriosa superba)是一种隶属于攀缘百合的开花植物(图1),广泛分布于南亚,东南亚及其他赤道国家,例如印度和斯里兰卡,也是津巴布韦共和国的国花。嘉兰的种子和块茎(图2)中含有生物碱化合物秋水仙素,食用后可引起中毒。主要表现为呕吐与腹泻,肝、肾功能衰竭,骨髓毒性,全血细胞减少症和弥散性血管内凝血。也可影响神经肌肉功能产生肌肉毒性。但是,嘉兰中毒出现神经系统症状的报道很少。



图1:嘉兰



图2:嘉兰块茎


病例报道

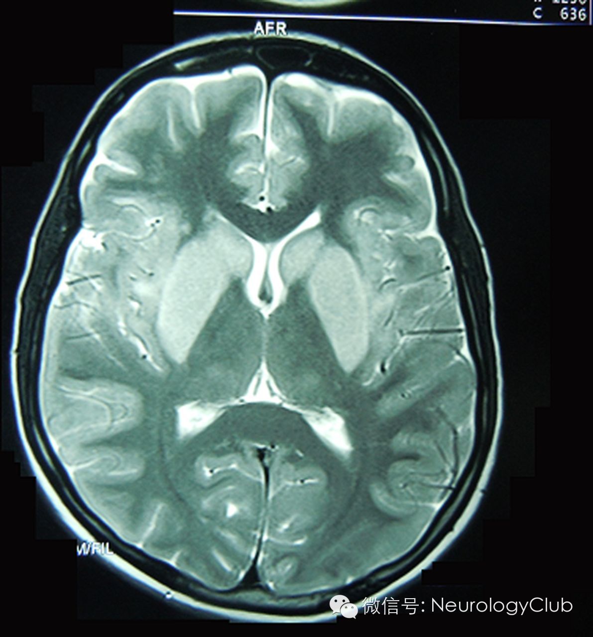
28岁女性,既往体健,因为家庭内部纠纷食用嘉兰块茎准备结束自己的生命,6小时后患者出现腹痛、腹泻及大量呕吐。入院时,患者病情平稳,予活性炭并对症治疗。起初症状有所改善,但在第5天时,出现全面强直-阵挛发作,查血钙偏低0.9mmol/L(1.1-1.4)。予静脉补钙并和抗惊厥药物,患者发作得到了控制。第7天时,患者意识水平下降,Glasgow昏迷评分6分,无其他局灶性神经系统体征。全血计数,动脉血气分析,尿常规,血沉,血清C-反应蛋白,尿素,电解质,葡萄糖,血氨,钙和镁等均正常。血清转氨酶短暂轻度升高:天门冬氨酸氨基转移酶(AST)278U/L(1-31),丙氨酸氨基转移酶(ALT)216 U/L(5-35)。头颅CT,脑脊液化验,腹部盆腔超声均正常。EB病毒,巨细胞病毒,日本脑炎病毒,单纯疱疹病毒血清学阴性。脑电图可见双侧弥漫慢波,提示脑病。MRI见双侧基底节区(尾状核和豆状核)T2高信号。患者住进ICU行支持治疗。病程中出现脱发。第15天时,Glasgow昏迷评分升至11分,随访至报道时,病情平稳。



图3:MRI可见双侧尾状核和豆状核T2高信号


讨论

我们报道了一例嘉兰中毒后出现的迟发性中毒性脑病。根据患者摄入嘉兰块茎的明确病史,神经系统外的临床表现支持嘉兰中毒,随后出现脑病症状,在排除了其他肿瘤性,免疫性,感染性和代谢性的脑病原因后,我们认为患者的脑病是因食用嘉兰块茎后秋水仙素中毒所致。遗憾的是,我们无法检测血液中秋水仙素的浓度。秋水仙素中毒的患者偶可出现意识模糊和癫痫发作,但都伴有肾或肝功能障碍。与之相比,我们这例患者并无明显的代谢紊乱。此外,脑病迟发也是其不典型的表现,让人联想起缺氧性脑病和一氧化碳中毒。


患者头颅MRI显示双侧基底节区尾状核和豆状核T2高信号,符合中毒性脑病的特征,更加支持嘉兰引发的脑病。丘脑区域未受累。壳核和苍白球富含线粒体,神经递质和其他化学成分。因此,代谢极度活跃,也很容易遭受代谢性和中毒性损伤。中毒性和代谢性脑病的基底节区病灶多广泛且对称,正如我们这位患者。此外,类似相对孤立的基底节区病灶不伴有丘脑受累仅见于少数原因的中毒性脑病,如高血氨和低血糖,而这些原因已被排除。感染性疾病也可有基底节区受累,但通常为片状不对称性。还有一种可能是患者服用了出嘉兰外的另一种神经毒性药物。


嘉兰中有活性的毒性化合物是一种生物碱——秋水仙素,其与微管蛋白结合阻止后者聚合成为微管。在神经细胞中,秋水仙素的毒性作用通过微管的破坏干扰轴突和树突的传递。在实验和动物模型中,秋水仙素可引起一些神经元群体中神经元细胞死亡,例如齿状核颗粒细胞和海马锥体细胞。秋水仙素也可诱导产生自体毒性反应,由于中毒细胞产物积聚(正常情况下为微管依赖的运输过程)导致包括基底节区在内的某些神经元群体神经元细胞死亡。这或许可以解释患者的迟发性脑病,随着时间的推移,上述物质的神经元毒性浓度达到了致病水平而出现明显的症状。即使中毒,秋水仙素在脑组织中的含量通常较低,这可能是秋水仙素中毒性脑病临床案例罕见的原因。


[参考文献]

Gooneratne IK, Weeratunga P, Caldera M, Gamage R.Toxic encephalopathy due to colchicine--Gloriosa superba poisoning.Pract Neurol.2014 Oct;14(5):357-9.


温馨提醒
请尊重我们的劳动成果,转载不要忘了注明出处哦~~~




神经病学俱乐部 微信号:NeurologyClub
神经病学俱乐部,立足一线临床,服务神经科同行,助力神经病学天天向上


分享 :