颅内多发雪球样病变

53岁男性,因突然听力丧失就诊,4周前开始有反复眩晕,头痛和共济失调。头颅血管造影和超声心动图无殊。眼底荧光血管造影提示视网膜动脉分支闭塞。


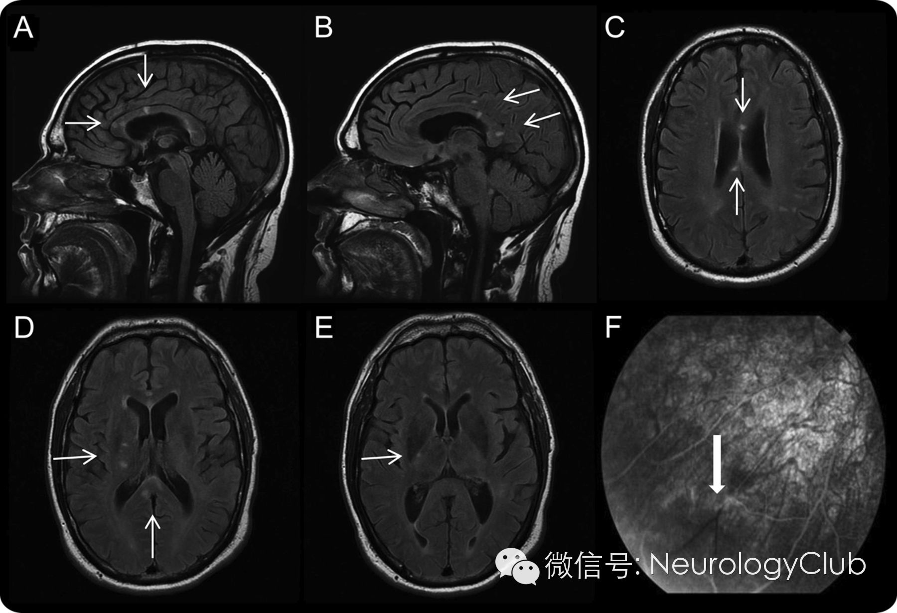
头颅MRI(黑水像)及眼底荧光血管造影如下:


(A-C:雪球样圆形病灶,直径<10mm,主要位于胼胝体中央;D-E:也可见脑室旁和皮质下病灶;F:视网膜动脉分支闭塞)



最终诊断


Susac综合征


启示

位于胼胝体中央的雪球样病灶是本病特征性的MRI改变,提示毛细血管前微动脉闭塞。因主要累及小血管,故多数病例血管造影正常。临床上如遇到难以解释的听力缺失以及胼胝体雪球样病变时,行眼底荧光血管造影有助于诊断。


[参考文献]

Oliveira P, Mayeux J. Teaching neuroimages: snowball-like lesions with sudden hearing loss. Neurology.2014 Mar 25;82(12):e100.


温馨提醒
请尊重我们的劳动成果,转载不要忘了注明出处哦~~~




神经病学俱乐部 微信号:NeurologyClub
神经病学俱乐部,立足一线临床,服务神经科同行,助力神经病学天天向上


分享 :