中年男性,身体疼痛伴意识模糊

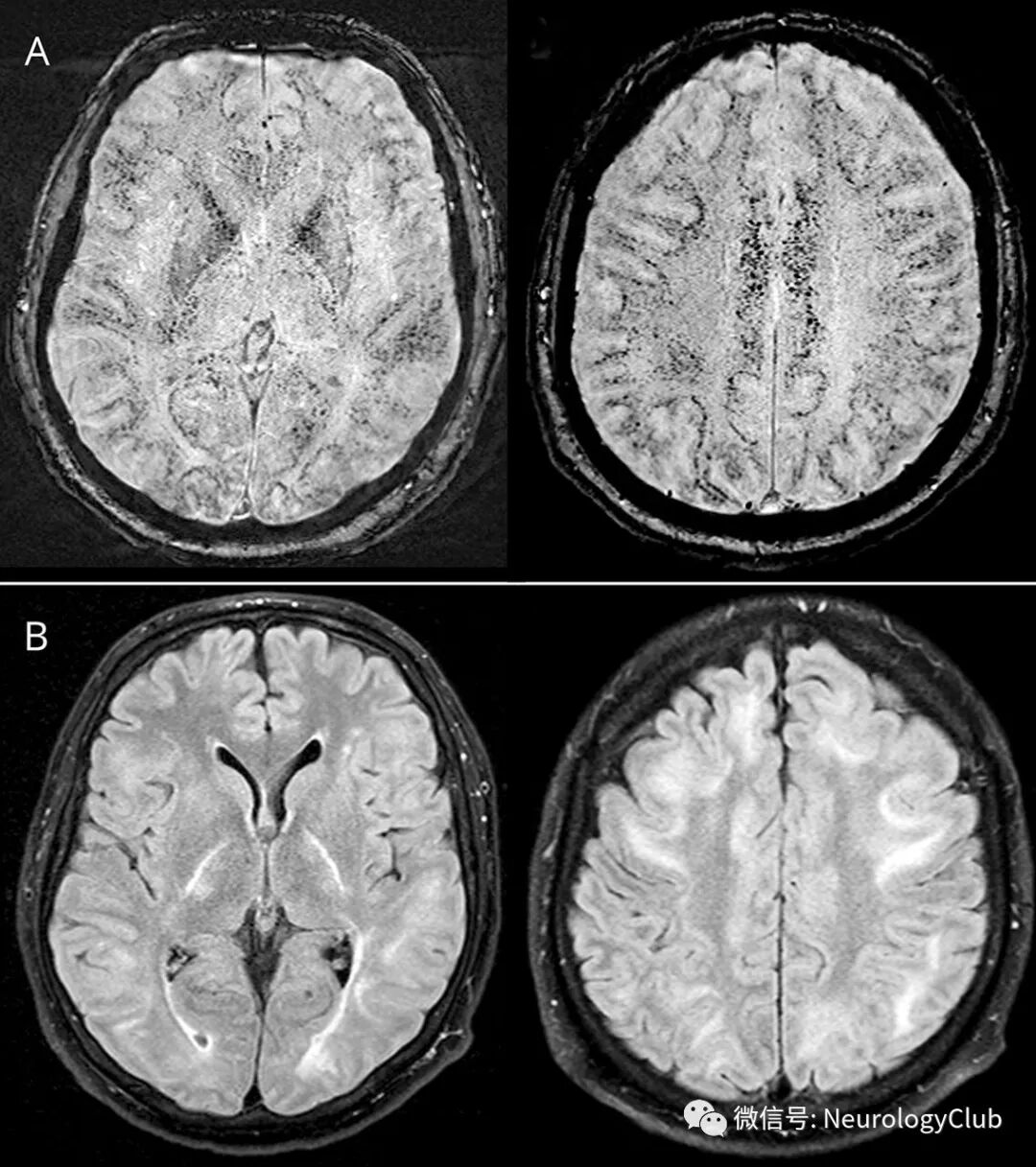
一名来自明尼苏达州的48岁男性在去南非狩猎前拒绝接受疟疾预防。在其返回后10天,出现身体疼痛,意识模糊,并逐渐进展为弛缓性无反应,急性肝肾功能衰竭,休克和血小板减少。MRI可见毛细血管受累所致大量微出血和水肿(图)。


(图:A-B:患者起病后2周的SWI和FLAIR可见皮质下白质大量微出血以及血管源性脑水肿;DWI[未放图]正常;1个月后复查MRI,脑水肿消退,但微出血没有减少)


诊治经过

血涂片上可见24%的恶性疟原虫,在积极治疗后迅速下降。患者肝肾功能改善后意识转清。经过一个多月的住院治疗后,神经系统查体和认知功能(简易精神状态检查量表)基本恢复正常,考虑到患者脑损伤严重程度,在成人中很罕见,其结局确实难以预料到。


最终诊断

脑型疟疾


讨论

疟疾在全球分布广泛,在致死的寄生虫病中居首位。可感染人类的疟原虫有间日疟原虫、三日疟原虫、卵形疟原虫和恶性疟原虫4种,其中恶性疟原虫及间日疟原虫均可引起脑型疟,脑型疟为凶险型疟疾,病死率为10%-20%。脑型疟临床可出现轻偏瘫、抽搐、共济失调、昏迷及意识障碍、脑膜刺激征及至死亡,且幸存儿童中有10%-20%出现持续性神经功能缺损、认知功能障碍、行为障碍以及运动功能损伤。脑型疟疾的主要病理学特征是感染疟原虫红细胞在脑微血管中的滞留、脑实质中的点状、环状出血,以及广泛的脑内皮细胞活化、局灶性内皮细胞损伤和坏死等。


[参考文献]

1. Wijdicks EFM, Park JG.Surviving cerebral malaria.Neurology. 2018 Nov 20;91(21):978-979.

2. 李建良, 李凯, 郭媛, 赵正, 陈利娜, 姜晓慧, 李玉洁, 图雅, 郑晓俊.中国中药杂志.2017;42(23):4548-4555.


温馨提醒
请尊重我们的劳动成果,转载不要忘了注明出处哦~~~


分享 :