赛车征(racing car sign)

影像学表现

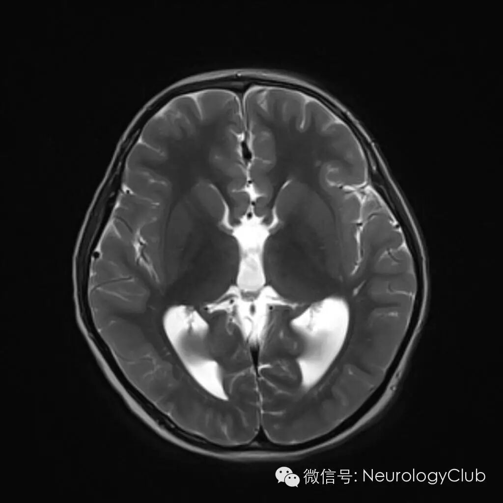
赛车征为颅脑CT或MR的横断面图像上,双侧侧脑室分离平行,间距扩大,双侧侧脑室额角与体部宽大,形似F1赛车的前后轮。





(图示赛车征,来自谷歌搜索)


临床意义

赛车征为胼胝体发育不良(Dysgenesis/Agenesis of the corpus callosum)的典型表现。胼胝体发育不良是胚胎期背部中线结构发育不良所致的胼胝体部分或全部及其周围结构缺如,是最常见的颅脑畸形之一。1899年由Bruce首先描述,1912年由Reil首先报道1例尸检患者,可伴发其他中枢神经系统畸形,也可合并脂肪瘤。一般认为,胼胝体形成顺序为膝部,体部,压部和嘴部,形成越迟的部分发育缺如越常见。


(图示胼胝体脂肪瘤,来自谷歌搜索)


[参考文献]

Yancu Hertzanu, 李明华, 张佳胤. 放射诊断学征象. 上海科学技术出版社,2013第1版


温馨提醒
请尊重我们的劳动成果,转载不要忘了注明出处哦~~~




神经病学俱乐部 微信号:NeurologyClub
神经病学俱乐部,立足一线临床,服务神经科同行,助力神经病学天天向上


分享 :