9岁女孩,行走困难伴反复跌倒4年

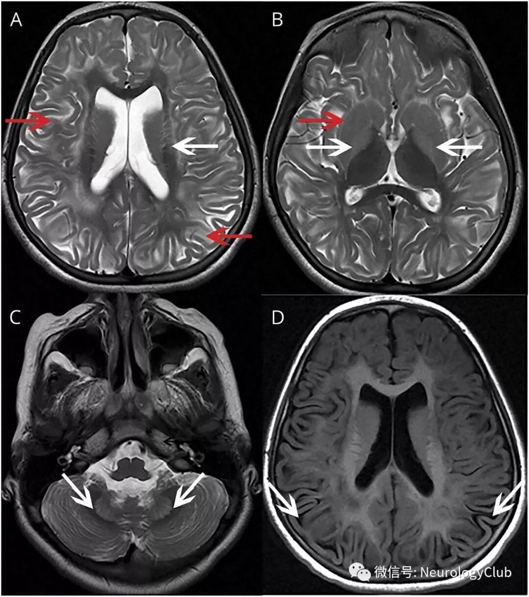
9岁女孩,5岁开始隐匿性出现行走困难,反复跌倒,焦虑和学习成绩不佳。患者MRI表现(图)提示典型的L-2-羟基戊二酸尿症(L2-HGA)。


(图:A:T2WI可见双侧对称性白质(WM)高信号[红箭],呈向心型分布,累及皮质下和深部WM,脑室周围WM不受累[白箭];B:基底节高信号[白箭]伴壳核边缘更高信号[外缘征outer rim sign,红箭];C:齿状核高信号[白箭];D:FLAIR可见脑组织稀疏[白箭])


这里输入标题

然而,在Leigh综合征,3-羟基-3-甲基戊二酸尿症和琥珀酸半醛脱氢酶缺乏症中也可观察到类似改变。尿液检测分析可见L-2-羟基戊二酸水平升高,证实诊断。


这里输入标题

L-2-羟基戊二酸尿症


讨论

L2-HGA是一种罕见的常染色体隐性遗传性代谢障碍,因缺乏L-2-羟基戊二酸脱氢酶所致。L-2-HGA在婴幼儿期或儿童期隐袭起病,最初表现为轻度精神运动发育迟缓,随后出现进行性共济失调、智力倒退、癫痫发作、锥体系和锥体外系症状和体征,一半患者出现进行性大头畸形。


其特征性MRI表现为散在或弥漫性大脑皮质下白质、基底节(苍白球、尾状核和壳核——按出现频率由多到少)和小脑齿状核长T2信号和脑萎缩,皮质下白质异常呈向心性减轻与其他白质脑病不同。


鉴别诊断主要与Van der Knaap病、Canavan病、 Alexander病、Kearns-Sayre综合征、槭糖尿症和其他有机酸尿症鉴别。Van der Knaap病除双侧齿状核受累外,还累及背侧桥脑、中脑、内囊、外囊和脑室旁白质, 这些在L-2-HGA少见。Canavan病发病较早,进展 快,白质病变比L-2-HGA更加广泛,苍白球和丘脑及脑干结构通常受累。Alexander病典型MRI表现以额叶为主的白质病变,且容易形成囊肿,呈特殊模式的强化,而L-2-HGA不存在上述特点。


[参考文献]

1. Sivadasan S, S V, Sundaram S.Teaching NeuroImages: Imaging in metabolic leukoencephalopathy, L-2-hydroxyglutaricaciduria.Neurology. 2018 Oct 16;91(16):e1549-e1550.

2. 邰宏飞, 张在强.2-羟基戊二酸尿症病例报道.首都医科大学学报. 2011;32(1):155-158.


温馨提醒
请尊重我们的劳动成果,转载不要忘了注明出处哦~~~


分享 :