脑小血管病转化医学研究中国专家共识

脑小血管病(cerebral small vessel disease,CSVD)是临床常见的一类年龄相关脑血管疾病,由各种因素影响脑内小动脉、微动脉、毛细血管、微静脉和小静脉导致的一系列临床、影像、病理综合征CSVD可急性起病,表现为脑实质出血或者缺血性卒中;多数则隐匿起病,缓慢发展,临床上通常缺乏特异性表现,患者可出现认知功能下降(血管性痴呆)、平衡步态异常、精神情感改变、尿失禁及生活能力下降等,影像学检查常可发现腔隙病灶、脑白质高信号、脑微出血、近期皮层下小梗死灶及脑萎缩等异常信号。由于CSVD的病理、发病机制及临床表现均具有异质性,其相关研究进展缓慢,且临床关注度不够,导致老年患者相关致残率高。近年来,CSVD从基础到临床转化研究受到越来越多的关注,包括动物模型、分子生物学、影像识别、临床表现和诊断、治疗及转归,国际CSVD专家组于2013年提出了CSVD影像学诊断标准,国内专家组亦就CSVD达成共识,这些均为CSVD的研究和临床诊疗提供了重要规范和参考。本文将结合目前基础、转化研究和临床需求,组织国内相关领域学者对CSVD的转化医学研究进行撰写,形成共识,希望能给我国从事CSVD研究的基础和临床工作者提供帮助。


1
CSVD动物模型的制备和选择


目前对CSVD病理过程和机制的了解还非常有限,尚缺乏早期预警以及有效的临床治疗手段,因此迫切需要开展更多的基础研究,为CSVD的治疗提供新的理论依据和研究靶点。为了使CSVD的基础研究更加规范,进一步促进研究成果的转化应用,我们归纳了现有主要CSVD动物模型的特征,供同行参考。


1.1 主要CSVD动物模型的制备和神经血管病理表现

1.1.1 双侧颈总动脉结扎模型

1.1.1.1 制备方法  将1%-2%异氟烷麻醉的雄性大、小鼠置仰卧位,使用体温维持仪保持其直肠温度(37±0.5)℃。颈部正中切开,手术显微镜下分离皮下脂肪组织与筋膜,暴露双侧颈总动脉,使用缝线同时结扎双侧颈总动脉,造成大脑的慢性低灌注损伤。手术结束后缝合颈部皮肤切口,将动物放回鼠笼中饲养。两血管结扎模型包括永久性结扎模型或经不同时间后松开缝线进行再灌注模型。也有实验室使用缝线先结扎一侧颈总动脉,1周后再结扎对侧颈总动脉的方法制作该模型。


1.1.1.2 神经血管病理表现  主要包括脑白质和血管损伤、海马神经元缺血性损伤,学习和记忆等行为学测定可检测到认知损害。该模型无CSVD的血管病变特征。


1.1.2 双侧颈总动脉狭窄模型

优缺点同1.1.1模型。


1.1.2.1 制备方法  将1%-2%异氟烷麻醉的雄性C57BL6小鼠置仰卧位,使用体温维持仪保持其直肠温度(37±0.5)℃。颈部正中切开,手术显微镜下暴露双侧颈总动脉,将2个小金属弹簧圈(内径0.16-0.2mm)分别套在双侧颈总动脉上,通过造成双侧颈总动脉管腔狭窄而引起大脑慢性低灌注损伤。其中直径0.18mm的弹簧圈最为经典和常用,可造成60%-70%的急性脑血流减少,1-3个月后脑血流减少80%-85%。


1.1.2.2 神经血管病理表现  该模型可引起脑白质血脑屏障通透性的增加(术后3-14d)、白质损伤(术后14d)、白质星形胶质细胞和小胶质细胞激活(术后3-14d)。术后6个月,小鼠出现皮层下微梗死、出血和白质血脑屏障破裂等CSVD特征,伴随记忆功能的显著下降。


1.1.3 双侧颈总动脉渐进性狭窄模型

1.1.3.1 制备方法  将1%-2%异氟烷麻醉的雄性C57BL6小鼠置仰卧位,使用体温维持仪保持其直肠温度(37±0.5)℃。颈部正中切开,手术显微镜下暴露双侧颈总动脉,将缩窄器(ameroid constrictor,内径0.5mm)套在右侧颈总动脉上,左侧颈总动脉套0.18mm的小弹簧圈。缩窄器可引起右侧颈总动脉管腔逐渐狭窄,直至28d完全闭塞。也有实验室将2个缩窄器(内径0.75mm)分别套在双侧颈总动脉上的报道。


1.1.3.2 神经血管病理表现  该模型可引起脑血流逐渐减少超过28d,并且右侧脑血流减少更为明显,造成大多数小鼠(81%)右侧皮层下多个脑区的微梗死形成、右侧海马小胶质细胞激活和神经元损失,以及工作记忆功能等认知障碍和运动能力下降。


1.1.4 卒中易感型自发性高血压大鼠模型

1.1.4.1 神经血管病理表现  该模型大鼠在10周前能够自行发展出稳定的动脉高压,5个月时左额叶皮层脑血流减少,9-10个月脑内可出现卒中和出血。可检测到血脑屏障失调、白质损伤、小胶质细胞激活、脑萎缩和神经细胞丢失,以及学习记忆功能严重受损。给予高盐低脂肪饮食可加重早期肾脏和脑损伤导致寿命缩短。


1.1.5 高血压恒河猴模型

1.1.5.1 制备方法  使用直径2mm的夹子夹住恒河猴的胸主动脉前2-4cm部位,造成血管狭窄和慢性高血压。也有实验室将该模型应用于大鼠。


1.1.5.2 神经血管病理表现  该模型可造成猴脑内尤其是白质微血栓形成以及认知功能受损,但是不出现CSVD的血管病变特征。


1.1.6 Notch3转基因小鼠模型

1.1.6.1 神经血管病理表现  通过Notch3基因显性突变引起伴皮质下梗死和脑白质病的常染色体显性遗传性脑动脉病(cerebral  autosomal dominant arteriopathy with subcortical infarcts and  leukoencephalopathy arteriopathy,CADASIL)模型。该模型小鼠在5个月时表现出脑动脉血管的颗粒状嗜锇物质沉积,12个月时脑内胶质细胞明显增多。可检测到模型小鼠胼胝体、纹状体、内囊和海马部位的白质损伤。模型小鼠在12个月时出现脑血流量下降,但是不出现血脑屏障失调等血管病变特征,行为学改变也未见报道。


1.1.7 颅内内皮素-1注射模型

1.1.7.1 制备方法  将大、小鼠麻醉后固定在立体定位仪上,切开头部正中皮肤,使用Hamilton微量注射器向纹状体或内囊注射血管收缩肽endothelin-1,造成的局部缺血和局限性梗死模型。术后用骨蜡封闭针眼,缝合头部皮肤切口,将动物放回鼠笼中饲养。也有实验室结合endothelin-1和一氧化氮合酶抑制剂注射建立该模型。


1.1.7.2 神经血管病理表现  该模型可造成局部缺血和局限性梗死,引起前肢神经损伤和运动功能下降。


1.1.8 微小栓子血管栓塞模型

1.1.8.1 制备方法  通过颈动脉注射胆固醇晶体或自体微小血栓等栓子来栓塞脑血管的方法建立的大、小鼠模型。大、小鼠经1%-2%异氟烷麻醉,使用体温维持仪保持其直肠温度(37±0.5)℃。暴露并游离一侧颈总动脉、颈内动脉和颈外动脉,血管夹夹闭颈总动脉、颈内动脉和翼腭动脉,结扎颈外动脉分支及远端后剪断,由剪口处插入内含胆固醇晶体或自体微小血栓等栓子的PE导管,移去血管夹,开放颈总动脉、颈内动脉和翼腭动脉,将栓子注入颈外动脉,通过血流将栓子冲进颅内。术后结扎颈外动脉剪口,缝合颈部皮肤,将动物放回鼠笼中饲养。


1.1.8.2 神经血管病理表现  该模型可引起深皮层、皮层下和海马等多区域的微小梗死、延迟神经细胞死和白质脱髓鞘现象,伴随小胶质细胞激活和胶质细胞增生,以及学习和记忆功能的下降。


1.2 模型选择

研究CSVD白质损伤可选用双侧颈总动脉结扎模型、双侧颈总动脉狭窄模型、双侧颈总动脉渐进性狭窄模型、卒中易感型自发性高血压大鼠模型和微小栓子血管栓塞模型,但是由于双侧颈总动脉结扎模型引起海马神经元缺血性损伤,因此更符合临床慢性脑缺血的病理表现研究血脑屏障损伤可选用双侧颈总动脉狭窄和渐进性狭窄模型、卒中易感型自发性高血压大鼠模型研究认知损伤可选用双侧颈总动脉狭窄和渐进性狭窄模型、卒中易感型自发性高血压大鼠模型、高血压恒河猴模型、颅内内皮素-1注射模型、微小栓子血管栓塞模型研究皮层下或白质梗死可选用6个月双侧颈总动脉狭窄模型、双侧颈总动脉渐进性狭窄模型、高血压恒河猴模型、微小栓子血管栓塞模型研究CADASIL应选用Notch3转基因小鼠模型双侧颈总动脉狭窄模型制作容易,重复性好,能够模拟CSVD患者的部分病理特征和认知障碍,因此近年得到广泛认可。双侧颈总动脉渐进性狭窄模型重复性好,能够模拟CSVD患者的部分病理特征和认知障碍,但是费用较高,不太适合研究的广泛应用。微小栓子血管栓塞梗死部位较随意,且该模型操作复杂,但其引起的多发性小梗死更接近CSVD的病理特征。尽管CSVD模型的研究取得了很多进展,但是目前的CSVD模型主要通过慢性低灌注或脑内局部小梗死造成白质损伤以模拟CSVD的某些病理特征,至今没有任何一个动物模型能够全面模仿CSVD患者的全部特征。因此,迫切需要从新的角度探索和开发更接近CSVD患者的动物模型,为CSVD提供新的研究工具。


2
CSVD转化研究的分子技术


研究CSVD的发病机制、早期诊断、预后评估的分子标志物以及治疗靶标的研究均需要分子技术,现介绍一些新的技术。


2.1 全基因组关联研究

全基因组关联研究是指通过对大规模的群体DNA样本进行全基因组高密度遗传标记分型,从而寻找与复杂疾病相关的遗传因素的研究方法。现阶段利用全基因组关联研究方法研究小血管病主要集中于寻找与疾病相关的单一标志物,并已发现了多种与小血管病相关的标志物。虽然目前已有针对亚洲人的全基因组关联研究并鉴定出PRKCH的1425G/A的单核苷酸多样性(single nucleotide polymorphism,SNP)与CSVD相关,然而针对中国人的全基因组关联研究亟待开展。


2.1.1 研究方法

①收集CSVD患者以及相匹配的正常人的样本;②利用SNP阵列对DNA样本进行基因分型;③比较分析得到与CSVD相关的SNP。


2.2 等位基因特异性聚合酶链式反应技术

该技术是一种操作简单、成本低廉且结果准确的SNP检测方法。利用这一方法,可以对目前已经发表的与CSVD相关的SNP在中国人群进行验证,找出与中国人群CSVD相关的SNP。


2.2.1 研究方法

①收集CSVD以及相匹配的正常人的样本;②设计针对特定SNP的特异性引物,并利用聚合酶链式反应对样本进行基因鉴定;③比较患者与正常人样本中SNP差异。


2.3 转基因技术

转基因技术指将特定DNA片段转入特定的生物中。在脑科学领域使用较多的是转基因小鼠。通过将荧光报告基因转入血管相关细胞如血管内皮细胞、平滑肌细胞或周细胞中,可以在CSVD动物模型中研究疾病发生过程中不同细胞在疾病中发生的变化。同样地,也可以在神经元或胶质细胞中引入荧光报告基因,研究在CSVD模型中神经元或胶质细胞发挥的作用。此外,将全基因组关联研究中发现的与CSVD相关的基因如Notch3引入特定的细胞或是从特定的细胞中删除,可以研究特定基因以及信号通路在疾病中发挥的作用,并可以用于筛选药物治疗CSVD。


2.3.1 技术方法

①构建及纯化报告基因或是特定基因的打靶载体;②囊胚注射并移植得到嵌合体动物;③嵌合鼠回交得到子代,鉴定得到目标转基因小鼠。


2.4 染色技术

通过苏木精伊红染色和尼氏染色可以精确地区分梗死组织和正常组织,对脑片进行成像分析可以计算梗死灶大小。通过Fluoro-Jade B组织荧光染色检测神经元退行性变化,原位末端标记组织染色检测神经元的程序性死亡。利用微管相关蛋白-2抗体进行免疫组织化学染色观察神经元突起的损伤状况。


2.5 蛋白和基因表达检测

应用免疫印迹,蛋白质组学方法检测CSVD患者样本与正常人对照样本间表达量发生改变的蛋白质利用实时定量聚合酶链式反应,原位杂交或是RNA测序的方法检测患者样本与对照样本转录水平发生变化的基因,不仅可以用于探究疾病发生的分子机制,同时也能寻找治疗药物以及评估药物的疗效


2.6 质谱技术

质谱技术通过测定分子的质量从而进行分子的鉴定。利用这一方法可以高通量地鉴定样本中不同小分子或是蛋白质的组成差异。通过组织匀浆的方法可以研究CSVD患者样本与正常人样本间小分子组成差异,通过单细胞质谱的方法可以研究患者样本不同细胞间分子组成的异质性,通过质谱成像的方法可以研究不同分子在样本中的空间分布情况。


3
CSVD临床转化研究的注意事项


CSVD是一组多病因的疾病,其临床转化研究涉及病因/危险因素、治疗、预后以及预防多方面,研究目的、研究设计需求具有多样性,但总的原则参考中华医学会神经病学分会脑血管病学组发布的《中国急性脑卒中临床研究规范共识2018》,特别是急性期的患者。尽管该共识主要针对在医院住院病房以及门诊进行的卒中急性期治疗和预防相关的临床研究,其提出的临床研究的概念、研究选题和立题、各种研究设计的选择及关键点、临床研究的伦理问题和注册、研究实施与质量控制、研究结果报告应遵循的各项声明,是所有脑血管病包括CSVD临床研究的共性问题。CSVD为脑血管病/卒中的亚型,与大动脉病变(粥样硬化并血栓形成、动脉夹层等)相比较,病因、临床表现以及预后等各有特点,如病程较长、卒中后运动功能障碍程度通常较轻、认知功能障碍损害较为突出等,在对其进行研究设计应有所侧重。

PICOS要素(也称PICOS原则)是临床对照研究设 计中的5个不可或缺的关键要素,是Participants(参与者/研究对象),Intervention(干预措施/暴露),Comparison(比较/对照),Outcome(结局/预后)及Study design(研究设计类型)的首字母缩写。关于PICOS原则已有详细的解释和说明,下面就PICOS的各要素在CSVD临床对照研究设计中需要注意的问题进行重点阐述。

3.1 研究对象

CSVD的诊断标准应该使用公认的标准(见共识)。CSVD可以表现为小动脉病变相关的急性卒中(小动脉闭塞型梗死和脑出血),以及慢性缺血性脑血管病头晕、记忆力下降等,亦可以是无症状性的仅依靠临床症状无法识别CSVD,经典的小卒中(minor stroke)不等同于CSVD,可以是心源性栓塞或大动脉粥样硬化狭窄相关的分水岭梗死或动脉到动脉微栓塞;相反,穿支动脉闭塞导致的内囊梗死可以表现为严重偏瘫。因此,CSVD的诊断依据中影像学检查不可或缺。目前临床上无直接显示CSVD的检查手段,CSVD的影像诊断主要依据头颅磁共振成像(magnetic resonance imaging,MRI)检查。CSVD的MRI影像特征性表现包括新发皮层下小梗死/腔隙、可能血管源性皮层下白质病变(缺血灶/脱髓鞘)、扩大的血管周围间隙(perivascular  space,PVS)、微出血以及脑萎缩需要注意的是,部分影像学表现不具有特异性,如液体衰减反转恢复序列(fluid-attenuated inversion recovery,FLAIR)序列皮层下白质高信号病变有时难以与多发性硬化、淋巴瘤的白质病变进行鉴别,因此诊断需要排除这些疾病。病因诊断方面,CSVD可以是年龄、高血压、糖尿病等相关的小动脉硬化,亦可以是特定的病因如脑淀粉样血管病、遗传相关的CADASIL/伴皮质下梗死和脑白质病的常染色体隐性遗传性脑动脉病(cerebral  autosomal recessive arteriopathy with subcorticalinfarcts and leukoencephalopathy,CARASIL)、自身免疫疾病相关的血管炎,如果研究对象针对特定的病因,需要符合相关的基因、病理诊断标准。总之,CSVD的诊断标准应包括临床表现、影像学检查结果以及必要时的特定病因诊断标准,且需要排除其他疾病,建议依据《中国脑小血管病诊治共识》进行诊断。纳入标准和排除标准应依据具体的研究目的进行定义,同其他临床研究。严格和宽松的纳入/排除标准将影响选择患者的难度以及研究结果的外在真实性(研究结果在临床实践中推广应用范围)。病例来源:除小动脉闭塞/出血的急性卒中患者,多数CSVD患者因临床症状较轻,常就诊于门诊,因此病例登记/筛查应充分重视门诊患者。


3.2 干预措施(或暴露因素)/对照设置

应包括剂量/强度、开始时间、疗程、应用途径以及标准化培训(非药物干预措施),建议参照《中国急性脑卒中临床研究规范共识2018》


3.3 疗效评价标准

疗效评价标准的定义应包括随访时间、结局指标及其评价方式(是否盲法)和统计分析方法。随访时间主要取决于疾病自然史,包括发病时间与恢复时间。CSVD相关急性卒中的预后评估,随访时间通常于卒中后3个月、6个月或1年,一、二级预防阶段的危险因素/病因控制研究,随访时间通常较长(1年或以上)结局指标可分为终点指标和中间指标,其定义及其统计分析方法将影响研究样本量的计算,选择结局指标应依据疾病的特点、研究目的以及研究难度(可行性)。在脑小动脉病变的急性卒中干预措施疗效评价研究中,死亡通常不是这类患者的常见或主要结局,应关注残疾水平的评估如改良Rankin量表(modified Rankin scale,mRS)评分,等级漂移分析(ordinal shift analysis)可能更有助于发现治疗组和对照组之间的差异;CSVD缺血和出血事件的风险均较高,因此在评价预防/干预措施疗效的研究中,除了关注缺血性卒中再发外,疗效指标应依据具体研究确定是否纳入颅内出血事件。


3.4 研究设计/方式

与其他疾病研究一致,CSVD临床研究应依据研究目的、可行性(资金/人力)选择具体的研究设计和研究方式,前者包括随机对照试验、非随机对照试验、队列研究、病例对照研究,后者包括临床试验、真实世界研究、卒中登记研究等。关于如何选择研究设计和研究方式建议参照《中国急性脑卒中临床研究规范共识2018》


4
CSVD转化研究的影像学技术


2011年,美国医学研究委员会、德国神经退行性疾病研究中心和加拿大卫生研究院共同建立了神经退行性疾病精英中心。2013年,该中心的核心专家组成员共同撰写了CSVD的共识指南,确立了代表CSVD的6种关键性损伤的神经影像学标志(图1),分别是近期皮质下小梗死、假定血管源性的腔梗灶、假定血管源性的白质高信号、PVS、脑微出血和脑萎缩。现将CSVD影像表现的相关影像技术介绍如下。

4.1 计算机断层扫描

计算机断层扫描(computed tomography,CT)是临床上应用最广泛的影像学检查技术,包括CT平扫及增强扫描、CT血管成像、CT灌注成像。头颅CT平扫对观察脑出血具有非常高的特异度和敏感度,脑出血在头颅CT平扫图像上表现为高密度影,但小的出血通常不易观察,脑微出血更容易被漏诊头颅CT能显示发病12h以上的腔隙性脑梗死,也能显示部分脑白质病变,且头颅CT血管成像不能显示脑小血管,故CT检查常规不用于CSVD的诊断


4.2 MRI

MRI是目前检测CSVD最重要的工具。常规检查序列包括:T1加权成像(T1-weighted imagine,T1WI)、T2加权成像(T2-weighted imagine,T2WI)、弥散加权成像(diffusion weighted  imaging,DWI)、FLAIR、梯度回波序列(gradient-recalled echo,GRE)、磁敏感加权成像(susceptibility weighted imaging,SWI),此外还有弥散张量成像(diffusion tensor imaging,DTI)、静息态功能磁共振等。而MRI上可观察到的CSVD影像学改变主要有如下几种。


4.2.1 近期皮质下小梗死

根据2013年共识指南,近期皮质下小梗死的定义为:脑内一条穿支动脉供血区域的近期梗死,且伴有近期脑损伤一致的影像学特征或临床综合征表现近期皮质下小梗死多发生在半卵圆中心、放射冠、基底节区、脑干等部位,MRI图像上呈T1WI低信号、T2WI高信号、FLAIR高信号、DWI高信号和GRE等信号其轴位切面显示急性期梗死直径<20mm,冠状位或矢状位可以>20mm


4.2.2 假定血管源性的腔隙灶

假定血管源性的腔梗灶定义为:圆形或卵圆形,直径为3-15mm,分布于皮质下,充满与脑脊液相同信号,与穿支动脉供血区陈旧梗死或者出血相关通常在FLAIR上表现为中心脑脊液样低信号,周边围绕环状高信号。但有时在FLAIR上也可表现为完全的高信号,在T1WI、T2WI上呈脑脊液样信号。

临床工作中常需要鉴别假定血管源性的腔隙灶和PVS,研究指出直径<3mm的病变是PVS的可能性较大,因此建议按照直径来区分这两种病变。此外,PVS在FLAIR上为低信号,而假定血管源性的腔隙灶通常在病灶周边可以见到稍高信号

4.2.3 假定血管源性的白质高信号

假定血管源性的白质高信号定义为:脑白质异常信号,病变范围大小不等,在T2WI或FLAIR上表现为高信号,无腔隙,T1WI上呈等信号或低信号(不及脑脊液)。除非特别说明,皮质下灰质病变及脑干病变不属于白质高信号。假定血管源性的白质高信号的提出,排除了由其他非血管源性疾病所致的白质病变,如多发性硬化、白质营养不良等。

目前对脑白质高信号的影像学评价方法很多,主要有半定量和定量评估。半定量方法主要有Fazekas直观评分量表(图2)、年龄相关脑白质改变(age-related white matter changes,ARWMC)量表、Scheltens量表。其中,Fazekas直观评分量表临床最常用,ARWMC量表可结合病变部位进行分析,能提供更多有效信息。定量方法包括Kropper法和FreeSurfer法,主要利用全自动定量分析软件对扫描后的头颅MRI图像进行分析,通过识别病变区异常信号、勾选病变区、计算病变体积来进行定量分级,从而定量评估白质病变的严重程度。

4.2.4 PVS

指南对PVS的定义为:穿过灰质或白质,与常见血管走行一致的充满液体的间隙PVS扩张在MRI上主要表现为直径<3mm的圆形、卵圆形或线形的,T1WI上低信号、T2WI上高信号(与脑脊液信号强度一致)、FLAIR上低信号、DWI上无弥散受限的病灶,通常边界清晰、无对比剂增强效应和占位效应病灶形状取决于成像平面,成像平面与血管走行平行时呈线性,与血管走行垂直时呈圆形或卵圆形该征象多见于基底节区靠近前联合附近、脑凸面皮层下、半卵圆中心、脑干及外囊,很少出现在小脑,常与假定血管源性的腔隙灶同时出现,需加以鉴别普遍接受的用来区分两者的特点是PVS直径一般不超过3mm,且在T2WI和FLAIR上不表现为围绕脑脊液样信号的环状高信号,除非间隙跨越白质高信号区


4.2.5 脑微出血

脑微出血定义为在顺磁敏感的序列如T2加权梯度回波序列或SWI上表现为小的(通常直径为2-5mm,有时达10mm)散在低信号,对磁化效应敏感病灶通常边界清楚、均质,在T2加权梯度回波序列上有高光溢出效应(指影像学上显示的微出血面积比实际含铁血红素沉积面积大)需要鉴别的可能出现类似病灶的情况有铁和钙沉积、骨、正常血管断面的流空效应、弥漫性轴索损伤等。此外,还要区分小的陈旧性的深部自发性脑出血,其范围相比脑微出血更大,有不规则囊腔,且在T1WI上可见。常用的直观定量脑微出血的方法包括微出血解剖评分量表和观察者脑微出血评分量表。计算机自动分析是近年研究热点,它可以缩短评估时间,减少个体间评估差异。


4.2.6 脑萎缩

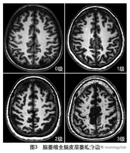
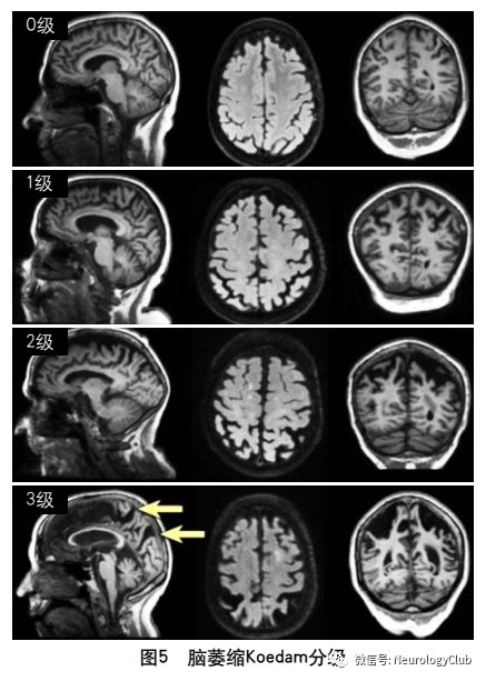
2013年的共识指南将脑萎缩定义为与特定的局灶性损伤,如脑外伤或脑梗死无关的脑容积减少脑萎缩可以是广泛的或局部的(如特定的脑叶或海马等特定区域),可以是对称或不对称的,亦可以是组织选择性的(如发生在白质等某一特定组织层)目前不同部位的脑萎缩有相应的诊断标准,全脑皮层萎缩分级用于评价全脑(图3);内侧颞叶萎缩分级主要评价颞叶内侧,重点是海马(图4);Koedam分级主要评价顶叶,尤其是扣带回和楔前叶(图5);Kipps/Davies分级主要评价额颞叶(图6)推测脑组织减少是由脑沟(周围)和脑室(中心)的脑脊液空间相对于颅内容积扩大所引起的

4.2.7 脑微小梗死

临床上常用的是1.5T、3.0T的MRI,近年来研究常用的7.0T MRI具有更高的成像分辨率,能提供更细微的脑结构信息及脑实质病变信息,7.0T MRI应用后有研究者提出脑微小梗死的概念——脑微小梗死是肉眼不可见而组织学可检测到的梗死灶,显微镜下可见细胞死亡和组织坏死在CSVD中处于亚毫米水平的脑微小梗死以往仅见于神经病理学中,并被认为是导致脑萎缩和认知功能下降的独立危险因素,使用7.0T MRI能够很容易检测到皮质脑微小梗死,并在组织病理学中得到验证


4.2.8 脑结构与功能网络完整性

脑白质结构的完整性可以通过DTI进行定量评估,一项系统综述发现,目前已有较多研究应用DTI技术验证了脑白质微结构损伤与CSVD常见的临床表现(如认知障碍、情绪障碍及运动能力)显著相关。利用DTI图像可以分析大脑区域之间白质连接的强度、复杂性及结构网络的效率,利用静息态血氧水平依赖的MRI技术能够识别脑网络的功能连接。近年来寻找CSVD脑损伤时脑结构与功能连接改变也逐渐成为研究热点,但目前还未能实现临床转化,仍需要更多在不用人群中展开、纵向的研究,以验证脑微结构损伤是否能够作为方便可靠、可重复的早期诊疗指标。


总之,在当前很多疾病的发病机制研究中,临床影像学是非常重要且可靠的研究手段。影像学技术的进步与影像采集及影像后处理的标准化提高了CSVD的影像学诊断水平,为阐明CSVD在神经退行性病变中的作用及其具体发病机制提供依据,从而使早期干预高危因素、改善预后成为了可能。可以期待,随着新的影像学技术的发展和标准化工作的推进,今后可以联合多模态影像资料与病理学资料,进一步深化疾病研究,助力临床诊断、治疗工作。


5
CSVD的量表评估


CSVD典型的认知功能损害表现为反应迟钝、执行功能受损,包括高级认知功能如计划、组织和行为监控方面,记忆障碍、行为紊乱以及精神症状,如焦虑、抑郁等也很常见。CSVD患者的认知功能损害需要综合考虑年龄、情绪和神经变性等因素的影响,量表评估可从初步筛查、整体认知筛查和认知亚领域评估等几个方面进行。


5.1 脑小血管病的初步筛查

5.1.1 《AD8》痴呆筛查量表和简易智力状态评估量表

《AD8》是一项询问知情者的认知损害筛查工具,中文版由北京大学精神卫生研究所修订编制而成,通过询问知情者或正常老人本人在过去一段时间中是否有因认知问题导致的改变,以2分作为认知损害界限的敏感度和特异度分别为93.9%和76%简易智力状态评估量表是由三项物体回忆和画钟试验两部分构成的3-min简易筛查量表前者主要评估记忆功能,而画钟试验测查的领域还包括视空间技能、执行功能、语言理解功能等。上述两个量表简便易行,受文化、种族、言语的影响较小,适用于社区、初级保健门诊和非记忆障碍专业门诊的早期筛查。


5.1.2 患者健康问卷-9项目

患者健康问卷是Spitzer等根据美国精神疾病诊断与统计手册第四版编制的用于初级医疗保健机构评估精神障碍的自评工具,其中患者健康问卷-9项目的编制是基于美国精神疾病诊断与统计手册第四版关于重性抑郁障碍诊断标准的9条症状标准,具有良好的敏感性和特异性。


5.1.3 广泛性焦虑自评量表

广泛性焦虑自评量表是基于美国精神疾病诊断与统计手册第四版编制的用于广泛性焦虑的自评筛查量表,因其信效度高、简单易于操作,已被广泛应用于临床工作中,包含7个条目,可用于临床上对于焦虑障碍患者的自我评估。


5.2 CSVD的整体认知功能筛查

目前临床上无专门针对CSVD的认知障碍整体评估量表,最为常用的仍为简易精神状态量表(mini-mental state examination,MMSE)和蒙特利尔认知量表(Montreal cognitive assessment,MoCA)


MMSE是国内外应用最为广泛的整体认知功能筛查量表,该表已标准化,总分30分,识别痴呆的划界分为文盲组≤17分、小学组≤20分、中学或以上组≤24分该量表对记忆和语言(左侧半球卒中)敏感,对痴呆诊断的敏感度和特异度较高,但缺乏执行功能的评估,可能对CSVD所致的最为常见的皮质下型痴呆和轻度认知功能障碍敏感度相对较差


MoCA包括了视空间、执行、命名、记忆、注意、语言、抽象及定向能力在内的8个认知域功能的12个检查项目,总分30分,在不同地区、不同版本的MoCA的划界分有差异。MoCA对轻度认知功能障碍的检测敏感性显著优于MMSE,而该表缺点是文盲与低教育人群的适用性较差。


此外,Hachinski缺血量表主要用于血管性认知功能障碍和阿尔茨海默病的鉴别,评定的主要依据来源于病史收集、体格检查和精神检查,由13个项目组成,总分为0-18分≤4分疑为老年性痴呆,≥7分疑为血管性痴呆,5-6分为混合型痴呆


5.3 CSVD的认知功能亚项评估

为全面了解受试者的认知障碍,应开展较为详细的成套认知评估,并综合语言差异、受教育程度等得出结论。可根据具体的认知功能评定需要选择不同的神经心理学量表来测评单项认知功能。


着重评估受试者的执行功能和信息处理速度,可选用斯特普色词测验,分析每张卡片耗时数,正确阅读数和干扰量;或连线测验B,分析耗时数和错误提醒数


评估受试者的注意功能,可选择连线测验A,分析耗时数和错误提醒数;或数字符号测验,计算正确数;或数字广度测验,记录能够复述的最高数字位数

针对性判定受试者的其他维度认知功能,以中文听觉词汇学习测验或Rey-Osterrieth复杂图形回忆部分评估记忆功能;言语流畅性或波士顿命名测验修订版评估语言功能,或增加全面的失语症检查,如北京大学第一医院汉语失语成套测验;画钟测验或Rey-Osterrieth复杂图形临摹部分评估视空间功能;神经精神问卷评估精神状态;汉密尔顿抑郁量表评估抑郁状态。


5.4 量表评估的注意事项

首先,评估人员需要接受该量表专业培训。其次,认知评估需考虑脑血管病本身所导致的感觉运动、视听和语言等功能障碍以及谵妄、淡漠等神经精神症状对认知和日常生活能力的影响,要鉴别出认知成分对功能障碍的贡献。再次,可以进行阶段性的认知评定,定期如每3个月进行认知功能的评估随访。


5.5 CSVD量表评估的专家推荐意见

CSVD认知障碍的突出特征为执行功能障碍,信息处理速度下降,注意功能障碍和(或)视空间障碍(专家共识)CSVD的整体认知筛查可以采用MMSE、MoCA量表,特征性认知损害可采用斯特普色词测验、连线测验、数字符号测验或数字广度测验来评估,同时需考虑患者的年龄、教育和语言障碍、情绪等相关因素(专家共识)


6
CSVD的运动症状及评估


对CSVD相关的步态和平衡障碍的描述已有100余年历史。早年关于CSVD步态和平衡障碍的描述多来源于临床病理研究,以病例报告的形式将CSVD相关的病理改变和临床上步态与平衡障碍的表现联系起来。近年来,对于CSVD及其相关运动功能障碍的研究,在方法上有了较大变化,一方面是产生了一系列基于影像学的大样本量人群研究,另一方面是应用了多种半定量或者定量的运动功能评估方法。


传统上,神经科医生对运动症状的评估采用以疾病为基础的路径,试图通过症状病史采集、神经系统查体、对患者行走姿态的观察以及病因学辅助检查诊断疾病,将“患者”与“健康人”区分开。但是,这样静态、二分类的手段存在局限性,未考虑到“正常”与“疾病”之间广阔的灰色地带,难以系统描述运动功能损害的多维度性,且诊室静态检查结果与真实生活中的运动能力可能并不平行。此外,CSVD患者的步态特点较为复杂,同时存在运动迟缓、肌张力改变、共济失调、下肢失用及姿势平衡障碍等,因此很难用单一的量表全面描述。在这样的背景下,为了深入理解运动功能异常,诞生了多种以任务为基础半定量化运动功能量表评分法以及采用传感设备和计算机技术的定量化运动参数采集方法。


6.1 半定量运动功能量表

半定量运动功能量表以任务为基础,评价疾病状态严重程度(帕金森病症状)或者运动障碍的某些维度(步态、平衡、共济运动等)。目前尚无专门针对CSVD的半定量运动功能量表,既往的CSVD社区或门诊队列研究,根据研究目的不同,常常独立、部分或组合使用多种为其他目的设计的量表。


6.1.1 帕金森病统一评分量表的运动部分

该量表最初在20世纪80年代为评价帕金森病的严重程度设计。其运动部分对包括言语、面部表情、静止性震颤、意向或姿势性震颤、强直、反复对掌、握拳松拳、手快速轮替、足跟快速点地、坐位起立、姿势、步态、姿势稳定性、运动迟缓与运动过少等项目进行评价。在CSVD与轻度帕金森症状关系的研究中多采用该量表,如内梅亨大学弥散张力成像与核磁成像(Radboud University Nijmegen Diffusion tensor and MRI Cohort,RUNDMC)研究与奥格斯堡老年人群记忆与相关疾病(Memory and Morbidity in Augsburg Elderly,MEMO)研究。


6.1.2 共济失调等级量表被设计用于评价共济失调的严重程度

最初在脊髓小脑共济失调的患者中进行验证,发现该量表的信度、效度、观察者间一致性均较佳。该量表评价步态、站姿、坐姿、构音障碍、手指追踪试验、指鼻试验、快速轮替试验和跟膝胫试验8个项目。该量表在CSVD运动症状评价中的价值还需要更多探究。


6.1.3 简易运动能力量表用于评价下肢功能

该量表包括3个测试:八英尺(2.44m)步行速度、重复起坐试验以及站立平衡,每个测试的分数范围为0-4分,总分12分。该量表简便易行,涉及到平衡、步态、力量和耐力等多个运动功能维度,在社区人群中评价运动能力的信度、效度与敏感性均佳。在白质高信号与残疾(Leukoaraiosis and Disability,LADIS)研究、奥地利卒中预防研究(Austrian Stroke Prevention Study,ASPS) 、洛锡安出生队列(Lothian Birth Cohort 1936)研究中均用使用了该量表或其中的一部分。


6.1.4 Tinetti量表

1986年由ME Tinetti发明,原本的设计目的是为了预测社区老年人跌倒的危险性。此量表包括平衡与步态测试两部分,每部分各有8个项目,总分28分。其中平衡测试部分包括坐位平衡、起立平衡、起立尝试、立位平衡、转立平衡、轻推反应、闭目难立、落座平衡。步态部分包括步行的启动、步幅、摆动足高度、对称性、连续性、路径变异性、躯干晃动情况和支撑相双足水平距离。Tinetti量表在CSVD运动损害的研究中也有较多应用。


6.1.5 坐位起身行走计时

能反映老年人日常生活所需的平衡、步行等功能性移动的总体能力,其重测效度较高测试内容是起身-行走3m-返回-坐下的总耗时。前瞻性城市乡村流行病学(Prospective Urban Rural Epidemiological,PUREMIND)研究与RUN-DMC研究采用了坐位起身行走计时评价步态。


利用量表评价运动能力有其局限性:①一致性差:不可避免受到评价者主观判断的影响,在评定者间的一致性差,同时评定者的内部一致性也非常低,难以客观地进行长程随访评价运动功能的变化;②不灵敏:量表的分级或定性数据,对于微小改变不敏感。


6.2 定量化运动参数

定量化运动参数采集利用了超声波动作捕捉系统、基于摄像机的光电运动分析系统、穿戴式及非穿戴式的传感器等等。步态分析是定量化运动参数采集开展得较为成熟的领域。定量化步态信息采集仪最早用于康复理疗科。这些仪器除了能采集用时、步速这些基础的定量信息外,根据传感器的不同,还可以采集多种其他参数,如步长、步宽、步高、摆臂运动、躯干角度等空间参数以及压力、压强等力学参数,全方位描摹步态特征。理疗师利用步态参数对脑瘫、卒中等多种原因引起的步态异常进行定量评估,起到辅助诊断、评估病情、指导康复训练的作用。这些较成熟的定量化步态参数采集系统被进一步应用于CSVD研究,探究CSVD影像改变与定量步态参数的相关性,如心血管健康研究(Cardiovascular Health Study,CHS)、健康,老龄和身体成分(Health,Aging andBody Composition,Health  ABC)研究等应用GaitMat II采集步态参数,RUN-DMC、塔斯马尼亚认知与步态研究(Tasmanian Study of Cognition and Gait,TASCOG)等研究则应用了GAITRite。在这些著名的CSVD与步态的研究中,比较重要的概念和应用到的定量步态参数有:①步行周期(gait cycle):行走过程中一侧足跟着地至该侧足跟再次着地所经过的时间,分为站立相(stance phase)和迈步相(swing phase)。②步速(gait speed):步行距离与步行时间之商。③步长(step length)及其变异性:步长是行走时左右足跟或足尖先后着地时两点间的纵向直线距离。除了步长本身外,亦有多项研究分析了步长变异性(step length variability)与CSVD的关系。④跨步长(stride length):指同一侧足跟前后两次连续着地时,这两个着地点间的距离。⑤步基或步宽(base of support/step width)及其变异性:步宽指的是连续两步的足迹最内缘之间的横向距离。⑥步频(cadence):单位时间内行走的步数。⑦双足支撑时间(double support time,DST):一个步行周期中双足都在地面上的时间。⑧潜伏期(latency):从接受指令到开始行走耗费的时间。⑨站立相时间(stance time)及其变异性:站立相时间指的是一个步行周期中单足着地的时间。值得注意的是,每种定量化步态分析仪器的测量精度不同,在分析参数时,应考虑到测量的精确性。


7
遗传性CSVD的转化医学研究方法


CSVD包含多种不同的单基因遗传性疾病,包括CADASIL/CARASIL、与COL4A1和COL4A2突变有关的小血管病变、常染色体显性遗传的伴有脑白质病变和TREX1突变的视网膜血管病变和Fabry病等CADASIL是最常见的单基因遗传性CSVD,以有或无先兆的偏头痛、卒中和短暂性脑缺血发作、步态、情感和认知障碍为临床特征,是由位于19号染色体上Notch3基因突变所致,目前已经报道了超过150种突变基因型。Notch3基因编码一种只在血管平滑肌细胞表达的含有6个半胱氨酸残基的跨膜受体,然而只有脑部小血管病变导致临床症状。导致CADASIL确切的机制尚未明确阐述。已知Notch3基因突变可导致半胱氨酸残基数量的奇数化异常,从而改变受体功能,导致相应的血管平滑肌细胞退行性病变。具体的细胞内通路正在研究中。


7.1 病理改变

肉眼检查可见脑白质内弥漫性髓鞘脱失与U型纤维的萎缩,显微镜检查显示累及小穿支动脉和软脑膜动脉的动脉病变。平滑肌细胞变性和所谓的非淀粉样蛋白嗜锇颗粒在小血管中膜和外膜中的沉积是特征性的改变,这些病变导致血管壁增厚并随后导致管腔狭窄,同时很可能导致脑血管自我调节能力下降,使脑血流量降低,导致脑白质病变和血管栓塞。这些血管变化在肾、脾、肝、肌肉和皮肤上均有发现,故皮肤活检已被用作诊断CADASIL的工具


7.2 影像学表现

脑部的MRI病变约在患者20岁左右时就能被测得。突变基因携带者通常在35岁时均能发现异常的MRI表现。T2WI或FLAIR上可见到皮质下白质内、脑室周围、基底节及脑干出现局灶性、弥散性和融合性白质高信号病灶;其中颞极和外囊区域融合的白质高信号是CADASIL特征性影像学表现。约2/3的有脑白质高信号患者可以发现T1WI和FLAIR上低信号的腔隙,腔隙主要出现在大脑白质、基底节区及深部脑干。脑微出血也经常被报道,不过似乎同脑白质高信号的严重程度不相关。


7.3 诊断和治疗

基于分子遗传检测作为诊断金标准,皮肤活检可以帮助发现假阴性的患者,然而,二代测序的发展提高了基因测试的成本效益和可用性,减少了对皮肤活检的需求。CADASIL的治疗方案有限,包括对症和二级预防治疗,然而,与抗凝血剂和抗血栓治疗相关的罕见脑出血病例报道提示应该谨慎使用这些治疗。由于存在脑灌注不足的风险,以前认为应避免积极的抗高血压治疗以及血管收缩药物如曲坦类药物。然而,新的研究并未发现因曲普坦治疗而导致并发症的发生,并且较高的收缩压是疾病进展的独立预测因子,表明应监测和调节动脉高血压。绝大多数的资料表明,小血管病危险因素可能会加速症状发展并应给予管理。胆碱酯酶抑制剂(多奈哌齐)在CADASIL患者中没有发现有益作用。


8
CSVD治疗的药物研究


CSVD治疗的临床目标包括减少首次或复发性卒中,预防认知功能减退和功能残疾,如平衡或步态受损或神经心理异常影像目标包括预防新的腔隙性梗死、微出血和脑萎缩的发生,并延缓脑白质高信号的恶化目前只有控制危险因素(高血压、糖尿病等)、对症治疗、康复等,由于其发病机制不清楚,尚无特异性的靶向治疗药物。先将专家讨论意见总结如下。


8.1 溶栓治疗

重组组织型纤溶酶原激活剂(recombinant tissue plasminogen  activator,rt-PA)是治疗急性缺血性卒中公认的溶栓药物,rt-PA对于不同病因的卒中治疗的有效性和安全性存在差异,对比957例不同病因卒中患者(脑梗死41%,大动脉粥样硬化23%,CSVD 11%),3个月mRS评分评估预后,发现溶栓对于CSVD所致卒中的疗效最显著。最新一项针对128733例卒中患者的回顾性研究评估了腔隙性和非腔隙性卒中患者的美国国立卫生研究院卒中量表评分和mRS评分,发现静脉溶栓治疗对两者均有益处。加拿大脑卒中网络数据库III期登记了2003-2008年11503例卒中患者,并根据脑部CT将患者分为腔隙性卒中(19.1%)和非腔隙性卒中,根据90d致死率、mRS评分和颅内出血发生率来评估预后,结果显示rt-PA治疗与腔隙性卒中临床预后较好相关。


溶栓后24-36h有2.4%-10%的患者有出现颅内出血的风险,影像学检查存在CSVD的证据是溶栓所致脑出血的高风险因素。脑微出血是缺血性卒中和颅内出血的高危因素,但目前溶栓治疗对脑微出血患者并不是禁忌证,除非是局限脑叶的微出血(提示脑淀粉样血管病)。研究者在1999-2004年招募了908例急性卒中患者进行溶栓治疗,其中27.8%患者存在脑微出血,以出现颅内出血为终点事件,颅内出血的风险和致死率随脑微出血的病灶数量增长。近期的一项研究使用MRI对326例溶栓患者的微出血病灶进行定量,也表明多发脑微出血是静脉溶栓后颅内出血的高危因素。建议进行多心中真实事件或前瞻性研究(不延误治疗时间为前提),验证CSVD溶栓的有效性和安全性,尤其存在微出血或严重白质损伤的患者。


8.2 抗血小板治疗

目前尚缺乏CSVD抗血小板药物治疗的证据,目前国际有一项正在进行的临床研究,观察小剂量阿司匹林对脑微出血及其认知功能的影响。以往研究都招募了一组混合的患者,包括腔隙性梗死和非腔隙性梗死。只有一项随机对照试验研究,即皮层下小梗死的二级预防研究,比较了3020例DWI证实的腔隙性卒中患者长期联合阿司匹林和氯吡格雷治疗与长期单用阿司匹林治疗,但由于联合治疗引起过量出血和死亡,所以这项试验很早就停止了。建议进行多中心、随机对照研究,以探究抗血小板药物是否也可以用于CSVD一级、二级预防以及急性期治疗。


8.3 危险因素的治疗

高血压是CSVD的重要危险因素,尤其与脑白质高信号进展相关,抗高血压治疗能降低脑白质高信号进展的风险。有研究者招募70-89岁的高血压人群,一部分患者接受坎地沙坦治疗,另一部分患者接受安慰剂,还设置了血压正常对照,用MRI技术对受试者的脑白质高信号体积和脑萎缩率进行定量,随访2-4年,结果显示脑白质高信号总体积进展人数依次为安慰剂组32%、坎地沙坦组20%和正常对照组5%。高血压对于腔隙性脑梗死和脑微出血的研究不多。他汀类药物是否对CSVD有效以及安全性尚缺乏更多的基础和临床研究。建议从基础到临床开展多中心研究,探讨治疗危险因素与CSVD的转归及其相关的分子机制。


8.4 针对血管病理的靶向治疗

CSVD的发病机制尚不清楚,但其白质损伤以及微出血、腔隙性梗死等均与血管内皮以及血管平滑肌功能损伤有关。目前预防和治疗CSVD的策略为靶向脑的微小血管内皮、血脑屏障、神经炎症。研究比较多的为内皮素拮抗剂,神经营养因子,一氧化碳制剂,磷酸二酯酶3或5抑制剂,过氧化物酶体增殖物激活受体-γ抑制剂,还原型烟酰胺腺嘌呤二核苷酸磷酸(NADPH)氧化酶抑制剂,前列腺素类药物。


8.4.1 血脑屏障

调节几乎没有证据表明保护血脑屏障完整性,减少潜在毒性因子通过血管壁进入实质组织治疗CSVD的药物。基础和临床研究发现丹参酮、抗氧化剂和血管内皮生长因子抗体、环磷酸鸟苷(cyclic guanosine monophosphate,cGMP)(双嘧达莫)和环磷酸腺苷(cyclic adenosine monophosphate,cAMP)(西洛他唑、己酮可可碱)调节剂在实验研究中增强血脑屏障完整性,但对脑小血管的有效性有待研究。


8.4.2 内皮素

内皮素-1是由内皮细胞释放的肽血管收缩剂,是一氧化氮和前列环素的生理拮抗剂。大多数研究内皮素受体拮抗剂治疗全身和肺动脉高压和蛛网膜下腔出血的血管痉挛,但它们在CSVD中的作用尚无报道。


8.4.3 免疫抑制剂

CSVD中的炎性反应表明免疫调节剂也可能在预防或延迟CSVD的进展中起作用。沙利度胺是一种致畸原,目前用于治疗老年患者的骨髓瘤,它能抑制肿瘤坏死因子-α并具有抗血管生成作用,可在CSVD中进行研究。


8.4.4 神经营养因子

脑活素是一种源自猪脑的肽链产品,具有潜在的神经营养和神经保护功能。小型研究提出,脑活素可能对血管性痴呆有效,但对CSVD预防或治疗作用尚不清楚,而且静脉用药不方便。


8.4.5 一氧化氮/cGMP系统

一氧化氮由氨基酸L-精氨酸通过一氧化氮合酶合成。一氧化氮通过第二信使cGMP刺激下游通路。一氧化氮可能与CSVD发生发展机制相关,一氧化氮具有抗血小板、抗白细胞、抗平滑肌细胞和其他抗炎活性,以及促内皮细胞和血脑屏障再生的作用,值得在CSVD中进行研究。


8.4.6 过氧化物酶体增殖物激活受体-γ激动剂

吡格列酮是一种已许可应用于糖尿病治疗的过氧化物酶体增殖物激活受体-γ抑制剂,具有血压调节、促内皮细胞活性、抗血管炎症、脂质调节、抗平滑肌细胞增殖以及抗纤维蛋白溶解等作用。国内有基础研究提示可改善双侧颈动脉狭窄所致的脑白质损伤,在CSVD模型上尚未研究。


8.4.7 前列环素/cAMP系统

与前列腺素相关的前列环素I2及其拟物发挥了一氧化氮和cGMP修饰剂的作用,可抑制血小板聚集,保护血管内皮,抑制炎症反应,增加红细胞变形能力,增加实验动物梗死周围血管密度,促进血管新生等作用,提示可治疗CSVD。目前临床已用于闭塞性血管病。急需更多的临床多中心研究,为治疗CSVD提供更多的循证依据。有静脉和口服药物,便于预防、急性期以及长期用药。


综上所述,建议可靶向脑小血管内皮、平滑肌、血脑屏障、氧化应激以及免疫炎症,研发新药,或筛选已应用于临床的药物,发现其治疗CSVD的新功能,为CSVD预防和治疗提供更多的选择


9
小结


总之,近年来CSVD备受关注,从基础到临床的系列研究走向前台,正在进行的国家十三五重点研发计划,资助CSVD的基础临床转化研究,对CSVD的动物模型、分子生物学标志物、分子影像学及临床队列等进行系列基础临床转化探索研究,希望揭示不同病因CSVD的发生机制,为未来疾病治疗提供依据。


指南/共识制定专家委员会成员

朱以诚(北京协和医院神经科)、刘鸣(四川大学华西医院神经内科)、张冰( 南京大学医学院附属鼓楼医院影像科)、罗本燕(浙江大学附属第一医院神经科)、赵冰樵(复旦大学医学院)、倪俊(北京协和医院神经科)、徐运(南京大学医学院附属鼓楼医院神经科)、程忻(复旦大学华山医院神经科)、熊伟(中国科技大学生命科学学院)


中国卒中杂志  2018年8月第13卷第8期

通信作者:倪俊(北京协和医院神经科) 徐运南京大学医学院附属鼓楼医院神经科


分享 :