[概述]
常染色体显陛遗传性脑动脉病伴皮层下梗死和白质脑病(cerebral autosomal dominant arteriopathy with subcortical infarcts and leucoencephalopathy,CADASIL)是一种较为少见的遗传性小动脉病。
△ 1955年,法国学者Bogaert记录了两姐妹在中年先后发生的“快速进展的Binswanger样脑病” △ 1977年,Sourander等报道了一家系三代5例患者,反复缺血性卒中后逐渐出现痴呆,尸检见
多发性腔隙性梗死灶、弥散性脑白质病变和小动脉闭塞,作者将其命名为“遗传性多梗死性痴呆”。
△ 1993年,Tournier-Lasserve等用基因连锁分析方法将该病致病基因定位于19q12;同年,国际专题研讨会形成共识,将该病统一命名为CADASIL。
△ 1996年,Joutel等克隆了CADASIL的致病基因Notch3。
[临床症状]
自然病程可分为三个阶段。
①20-40岁:频发偏头痛样发作及明确的白质影像学病灶;
②40-60岁:卒中样发作,明确的神经功能障碍,底节区腔隙性梗死及半球白质融合成片的联合病灶;
③≥60岁:近半数有皮质下痴呆与假性延髓麻痹。
[影像学特点]
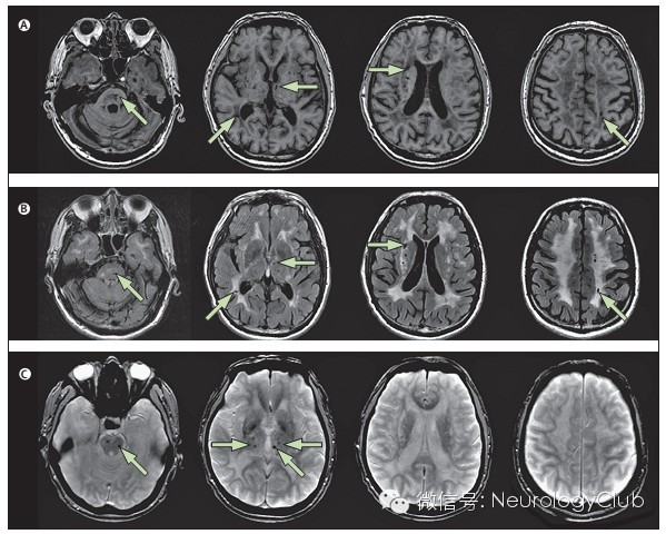
★ 常见腔隙性脑梗死、脑白质疏松和微出血
★ 在MRI的T2像表现为大小不一的高信号,不累及弓状纤维,主要位于侧脑室周围和深部白质。以额叶白质最常受累,其次为颞叶和顶叶,而枕叶受损程度相对较轻。
★ 外囊、颞极的对称性异常信号对诊断有高度提示作用。
★ 微出血部位由多到少依次为皮质和皮质下白质、脑干、丘脑、基底节和小脑

(颞极对称性T2/FLAIR高信号)

(外囊对称性T2/FLAIR高信号)

(微出血)

(A 腔隙性脑梗死 B 脑白质病变 C 微出血)
[诊断标准]
由袁云教授于2007年提出,包括以下五点:
①发病情况:中年起病,常染色体显性遗传,多无高血压、糖尿病、高胆固醇等血管病危险因素;
②临床表现:脑缺血小卒中发作、认知障碍或情感障碍等表现中的1项或多项;
③头颅MRI:大脑白质对称性高信号病灶,颞极和外囊受累明显,伴有腔隙性脑梗死灶;
④病理检查:血管平滑肌细胞表面GOM或Notch3蛋白免疫组化染色呈现阳性;
⑤基因筛查检出Notch3基因突变。
满足前3条加第4或第5为确定诊断;只有前3条为可疑诊断,只有前2条为可能诊断。