菱脑炎/脑干脑炎

概述


菱脑炎(rhombencephalitis,RE)是一组由不同病因所致的菱脑炎症性疾病综合征。菱脑这一术语来源于希腊文,其中“rhombos”意思是菱形图形,后半部分“enkephalos”,意思是脑。在脊椎动物的胚胎发育中,神经管形成之初,其前部为脑形成区,不久分成三个前后排列的脑泡。其中,最后方的为菱脑,或称后脑(广义,hindbrain),原后脑(primary hindbrain)等,由脑桥,小脑和延髓组成,其内腔是第四脑室。菱脑不久又前后分开,前面的为后脑(狭义,metencephalon),后面的为末脑(髓脑,myelencephalon)。狭义的后脑包括脑桥,小脑和第四脑室的脑桥部分。而末脑则由延髓和第四脑室的延髓部分组成。严格上讲,中脑并不是菱脑的一部分,但已报道的菱脑炎中往往包括了中脑炎。此外,术语“脑干脑炎(brainstem encephalitis)”通常可与“菱脑炎”互换使用。


病因


RE的病因可包括感染性,自身免疫性和副肿瘤综合征(表1)。最多见的感染病原体为李斯特菌,肠道病毒71型(enterovirus 71,EV 71)和疱疹病毒。罕见的情况下,许多病毒都可导致孤立性RE/脑干脑炎(见表1)。白塞病(Behçet disease,BD)是最常见的自身免疫性病因,炎性脱髓鞘疾病,如多发性硬化等,也常累及脑干和小脑。由系统性红斑狼疮(systemic lupus erythematosus,SLE)和复发性多软骨炎引起的也有个案报道。导致RE的副肿瘤综合征(paraneoplastic syndromes,PNS)与抗Yo,抗Tr,抗Hu,抗Ri,抗Ma和抗amphiphysin抗体有关。在大多数情况下,小细胞肺癌(small cell lung cancer,SCLC)是潜在的原因。

表1  菱脑炎/脑干脑炎的病因学

病因学

发生率*

感染性


 李斯特菌

常见

肠道病毒

肠道病毒71型
延髓型脊髓灰质炎

柯萨奇病毒A16

埃可病毒

常见

目前非常罕见

非常罕见

非常罕见

 黄病毒

日本脑炎

圣路易斯脑炎

   西尼罗河病毒

常见

非常罕见

罕见

 疱疹病毒

单纯疱疹病毒

Epstein-Barr病毒

人类疱疹病毒6型

巨细胞病毒

水痘-带状疱疹病毒

不常见

罕见

罕见

非常罕见

非常罕见

其他感染


 细菌性RE

结核

肺炎球菌

布鲁氏菌

疏螺旋体(莱姆病)

沙门氏菌

军团菌

   支原体

罕见

非常罕见

非常罕见

非常罕见

非常罕见

非常罕见

罕见

 病毒性RE

狂犬病病毒

东部马脑炎

腺病毒

甲型流感病毒

非常罕见

非常罕见

非常罕见

非常罕见

 其他

类鼻疽

曲霉属

毛霉菌

副球孢子菌病

诺卡氏菌

囊虫病

   弓形体病

罕见

非常罕见

非常罕见

非常罕见

非常罕见

非常罕见

非常罕见

自身免疫性


 白塞病

常见

 炎性脱髓鞘疾病

常见

 吉兰-巴雷综合征

常见

 系统性红斑狼疮

非常罕见

复发性多软骨炎

非常罕见

干燥综合征

非常罕见

结节病

非常罕见

Vogt-小柳原田综合征

非常罕见

副肿瘤综合征

不常见

其他


 淋巴瘤

 进行性多灶性白质脑病

 放射性坏死

非常罕见

非常罕见

非常罕见

*常见:数百个病例;不常见:十几到几十个病例;罕见:不到十例;非常罕见:六例及以下


临床表现


颅神经麻痹最为常见,平均发生率约为75%(67%-86%)。 小脑性共济失调在感染性RE和PNS病例中常见,但在BD中少见。长传导束征(皮质脊髓束,脊髓丘脑束,后柱)在PNS中罕见,只出现在除李斯特菌以外的少数感染性RE以及大多数的BD中。意识水平的改变主要见于感染性病例和部分BD,但在其他病因的RE中不常见。发烧常见于感染性RE和BD,在PNS中少见。假性脑膜炎仅见于在大多数感染性病例。

表2  李斯特菌菱脑炎的临床症状和体征

单侧颅神经麻痹(100%)

VII(78%)

VI(74%)

IX(58%)

X(56%)

V(47%)

<20%:XII,VIII,IV,III,XI

同侧皮质脊髓束异常(81%)

小脑症状/体征(53%):偏侧共济失调,眩晕,小脑性构音障碍

呼吸衰竭(41%)

头痛,发热,假性脑膜炎三联征(46%)

罕见:大脑脚幻觉(peduncular hallucinosis),Weber综合征

神经影像学表现


Moragas等报道的李斯特菌菱脑炎MRI异常达100%(幕下病变100%,幕上病变50%),而PNS所致菱脑炎患者MRI均正常。在病毒所致的菱脑炎中,70-75%的EV 71感染患者,50%的西尼罗河病毒感染患者,2/3合并疱疹感染患者(单纯疱疹病毒,Epstein-Barr病毒,巨细胞病毒,水痘-带状疱疹病毒和人类疱疹病毒6型)以及几乎100%的BD患者可见MRI异常信号。T2/FLAIR高信号病灶主要位于脑桥,延髓,上颈髓和小脑,而中脑累及少见。


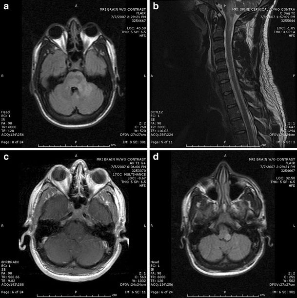
(图1:李斯特菌菱脑炎患者;a:FLAIR可见左侧小脑中脚,小脑和脑桥高信号病灶;b:T2WI可见病灶延伸至上颈髓;c:T1增强可见左侧脑桥后外侧病灶强化;d:FLAIR上可见左侧延髓后外侧病灶)


(图2:李斯特菌菱脑炎患者;a,d:症状出现时的T2WI可见延髓和脑桥2处高信号非强化病灶;b,e:短期随访复查MRI可见病灶扩大伴新的幕下病变形成。c:DWI上部分病灶弥散受限;f:增强后可见环形强化;d:在疾病过程中,T2WI可见病灶继续进展伴广泛水肿,累及上颈髓区域;d,g:可见边界不清的幕下T2低信号区域的出现伴脑干肿胀和病灶边缘强化,符合出血性脓肿形成


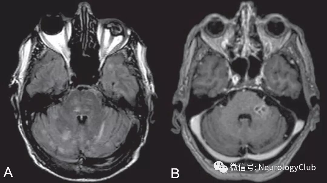
(图3:李斯特菌菱脑炎患者;A:FLAIR可见不规则,边界不清的多发高信号病灶;B:增强T1可见左侧脑桥环形强化病灶


(图4:神经白塞病患者;FLAIR和T2WI可见双侧小脑和脑桥高信号病灶)


(图5:垂体大腺瘤放疗后患者;FLAIR和T1增强可见脑干和其与小脑交界处广泛水肿伴放疗区强化)


(图6:进行性多灶性白质脑病患者;T2WI和T1增强可见脑干和小脑边界模糊高信号病灶伴不规则强化)


[参考文献]

1. Jubelt B, Mihai C, Li TM, Veerapaneni P.Rhombencephalitis / brainstem encephalitis.Curr Neurol Neurosci Rep. 2011 Dec;11(6):543-52.

2. Campos LG, Trindade RA, Faistauer Â, Pérez JA, Vedolin LM, Duarte JÁ.Rhombencephalitis: pictorial essay.Radiol Bras. 2016 Sep-Oct;49(5):329-336.

3. Rossi A, Martinetti C, Morana G, Severino M, Tortora D.Neuroimaging of Infectious and Inflammatory Diseases of the Pediatric Cerebellum and Brainstem.Neuroimaging Clin N Am. 2016 Aug;26(3):471-87.

4. Renard D, Castelnovo G, Bories C, Rieux C, Bernard-Decot C.Paraneoplastic rhombencephalitis and cerebellitis preceded by isolated intractable vomiting.Acta Neurol Belg. 2017 Sep;117(3):741-742.

5. Vecchio D, Virgilio E, Naldi P, Comi C, Cantello R.MOG-antibody demyelinating diseases: a case of post-partum severe rhombencephalitis and transverse myelitis.Mult Scler Relat Disord. 2018 Feb 8;21:9-10.

6. Décard BF, Thöne J, Haghikia A, Börnke C, Anders A, Lukas C, Gold R.Listeria rhombencephalitis mimicking a demyelinating event in an immunocompetent young patient.Mult Scler. 2017 Jan;23(1):123-125.


温馨提醒
请尊重我们的劳动成果,转载不要忘了注明出处哦~~~


分享 :