青年女性,延髓脊髓小脑症状,颅内多发病变

28岁女性,14个月大时诊断为亚历山大病(AxD),22岁时出现延髓脊髓小脑症状。脑MRI可见额叶白质异常信号伴强化(图1),提示I型AxD,延髓和颈髓萎缩以及脑干软脑膜FLAIR高信号(图2),提示II型。


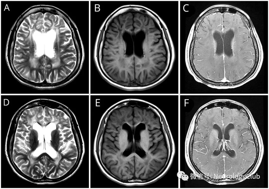
(图1:T2WI[A]和T1WI[B]可见额叶受累为主的脑白质病变,脑室边缘呈T2低信号和T1高信号;增强T1[C]可见脑室周围区域对称强化;T2WI[D]和T1WI[E]可见基底节和脑室旁白质的信号改变,侧脑室前角尖端周围有局灶性靶样病变;增强T1[F]可见基底节病灶强化;这些影像学发现提示I型亚历山大病)


(图2:矢状位T2WI[A]可见延髓,小脑和上颈髓轻度萎缩和高信号病灶;FLAIR可见中脑[B],脑桥[C]和延髓[D]软脑膜信号改变;这些影像学发现提示II型亚历山大病)


诊治经过

GFAP测序显示p.Arg88Cys杂合突变。


最终诊断

亚历山大病


讨论

亚历山大病(Alexander disease)曾称纤维蛋白样白质营养不良脑病,是一种由于星型胶质细胞功能异常导致的罕见神经系统进行性变性病。遗传方式尚不十分清楚,可能为常染色体显性遗传病,大多数为散发病例。由胶质细胞原纤维酸性蛋白(GFAP)基因突变引起,定位于 17q21.31。


成人患者常首先出现下丘脑、脑干和脊髓受损症状,也可表现为真性或假性球麻痹、锥体束征、小脑症状、肌阵挛等,还可有自主神经功能异常。


AxD根据起病年龄和中枢神经系统受累部位分为2个亚型。本例提示AxD可表现为同时具有I型和II型特征的中间类型。


[参考文献]

Nam TS, Kang KW, Choi SY, Kim MK.Teaching NeuroImages: Alexander disease with features of both frontal and bulbospinalinvolvement.Neurology. 2018 Jul 24;91(4):e396-e397.


温馨提醒
请尊重我们的劳动成果,转载不要忘了注明出处哦~~~


分享 :