狂犬病脑炎

41岁加拿大男性,因行为怪异1周(包括广场恐惧)就诊。


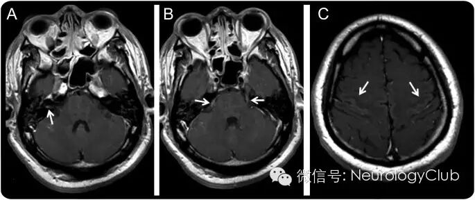
巢式PCR检查在脑脊液和唾液中均发现了狂犬病毒。起初的增强MRI正常。第8天复查神经影像学提示颅神经强化,双侧尾状核轻度信号轻度增高。


这与先前动物研究中发现的颅神经受累现象,以及2例人类狂犬病患者经电镜证实的三叉神经节细胞中存在狂犬病毒的报道符合。



(A:T1增强示内听道第7、8颅神经强化;B:双侧第5对颅神经强化;左侧第3和第9颅神经强化[未放图];C:中央前后回附近皮层轻度强化;左侧尾状核头部轻度高信号[未放图]。)


[参考文献]

Wilcox ME, Poutanen SM, Krajden S, Agid R, Kiehl TR, Tang-Wai DF. A case of rabies encephalitis: new dog, old tricks.Neurology. 2014 Mar 25;82(12):1101.


温馨提醒
请尊重我们的劳动成果,转载不要忘了注明出处哦~~~




神经病学俱乐部 微信号:NeurologyClub
神经病学俱乐部,立足一线临床,服务神经科同行,助力神经病学天天向上


分享 :