年轻女性,病毒感染后癫痫发作和头痛

18岁卵巢早衰女性患者,在病毒感染后2周出现局灶性运动性癫痫发作并继发全面性发作和头痛。她最近有精神压力。查体仅发现全身反射亢进。神经影像学提示双侧融合性白质病变和脑室周围囊性变(图)。


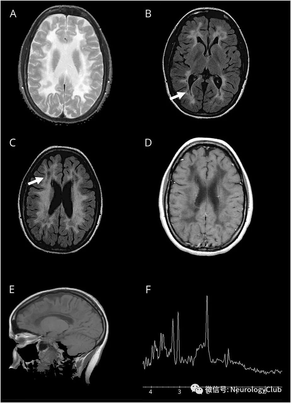
 (图:A:T2WI可见广泛性脑白质病变;B-C:FLAIR可见脑白质弥漫性异常,伴部分囊性变[箭];D:增强T1未见病灶强化;E:矢状位T1WI可见白质异常信号和胼胝体变薄;F:磁共振波谱可见乳酸峰轻度升高)


诊治经过

基因检测显示EIF2B5基因p.Arg113His纯合错义突变,证实白质消融性白质脑病(VWM)的诊断。


最终诊断

白质消融性白质脑病


讨论

VWM的表型变异非常广泛,可由发热感染,轻微头部创伤或压力事件诱发,出现突然发作的神经系统症状。MRI表现有助于诊断并与EIF2B1-5基因突变相关。


[参考文献]

Villar-Quiles RN, Delgado-Suárez C, Jorquera-Moya M, Arpa-Gutiérrez J, Ortega-Suero G.Teaching NeuroImages: Adult-onset vanishing white matter disease.Neurology. 2018 Mar 20;90(12):e1091-e1092.


温馨提醒
请尊重我们的劳动成果,转载不要忘了注明出处哦~~~


分享 :