CT影像预测急性脑出血血肿扩大

概述

自发性脑出血(intracerebral hemorrhage,ICH)是一种严重的神经系统疾病,其病死率及致残率均高于缺血性卒中。血肿扩大存在于40%的ICH患者中,是病情恶化、预后不良的一项独立预测因素。近年发现,CTA与CT中某些特异性表现与血肿扩大存在关联性,如点征(spot sign)、渗漏征(leakage sign)、混合征(blend sign)、黑洞征(black hole sign)、漩涡征(swirl sign)和岛征(island sign)等,为诊断血肿扩大的高危ICH患者提供更有效的方法。


大多数研究将血肿扩大定义为ICH患者后续CT扫描时血肿体积较首次CT增加>12.5ml或>33%。首次CT扫描在ICH发病6h内,后续CT扫描则在首次CT后24h内。血肿体积的评估方法包括:ABC/2法、测面积法及三维绘制法,半自动化测量技术较ABC/2法更准确,特别适用于不规则形血肿。而ABC/2法(长:最大血肿面积层面血肿的最长径;宽:最大血肿面积层面上与最长径垂直的最长径;高:血肿所占的层面数*层厚)操作简易,临床工作中最为常用。


1

点征


2007年由Wada等提出,指CTA上呈现的点征是指原始图像中“血肿内的强化灶”。有研究报道点征预测血肿扩大的敏感性、特异性、阳性及阴性预测值分别为51%、85%、61%及78%。Delgado等提出量化点征的评分,包括点征数量、最大衰减值(H)及最大尺寸,且研究表明点征评分不仅可预测ICH患者早期是否存在血肿扩大,还能对血肿扩大、院内病死率和临床预后进行精确分级。将有助于进一步筛选高危ICH患者。


(图1:A:CT平扫可见左侧基底节区血肿伴轻度周围水肿,邻近顶枕叶可见陈旧性梗死灶;B:CTA原始图像上可见血肿内小灶强化,即点征;C:增强CT可见点征扩大,符合对比剂外渗;D:起病1天后复查CT平扫提示血肿扩大并破入脑室)


2

渗漏征


由Orito等于2016年提出,旨在探索比点征更细微的对比剂外渗现象。临床发现其不仅可有效预测血肿扩大,且与预后不良显著相关。每例ICH患者均完成2次CTA扫描,分别为CTA期和延迟期(CTA期后5min),设定直径为10mm的感兴趣区(region of interest,ROI),并计算其CT值,延迟期ROI内CT值较CTA期增加>10%的现象定义为渗漏征。该研究发现渗漏征对预测血肿扩大的敏感性及特异性分别为93.3%及88.9%,均高于点征。


(图2:渗漏征的诊断标准)


3

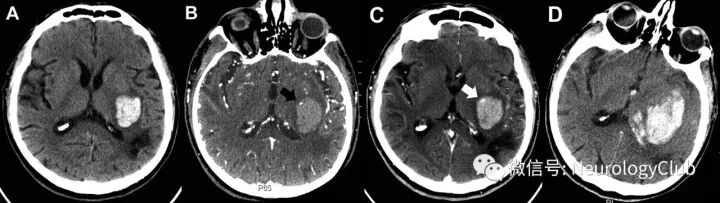
混合征


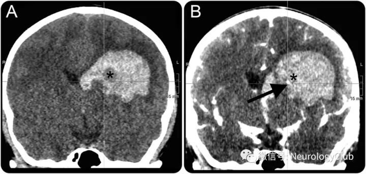
2015年,李琦等提出CT平扫混合征,并将其定义为同一血肿内混合存在相对低密度区与相邻高密度区的现象,且需满足:(1)低密度区与高密度区之间有明显可被肉眼识别的分界;(2)血肿中2个密度区CT值至少相差18HU;(3)相对低密度区未被高密度区完全包裹。当血液凝固时,血肿在CT上表现为高密度;存在活动性出血时,血肿较血块凝缩更倾向于低密度,不同出血时间的血液混合导致混合征的出现,血肿再次出血进一步导致血肿扩大发生。合征预测ICH患者血肿扩大的敏感性、特异性、阳性及阴性预测值分别为39.3%、95.5%、82.7%和74.1%,比点征具有更高的特异性。首次CT混合征阳性的ICH患者血肿体积明显>阴性者,并且血肿更易扩大,因此混合征可作为血肿扩大的独立预测因素。最近研究发现,脑出血上可见混合征患者预后较差。


(图3:基底节和脑叶出血的混合征)


(图4:脑出血混合征)


4

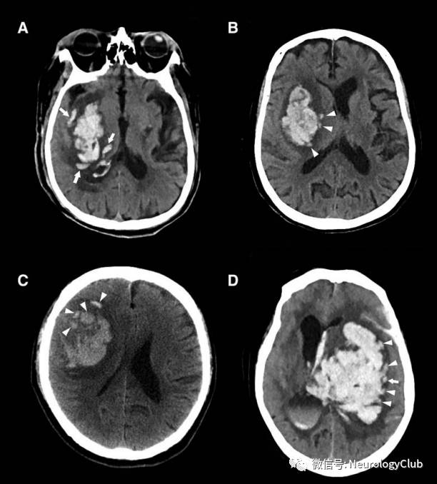
黑洞征


2016年,李琦等在ICH患者CT平扫影像中发现黑洞征,将其定义为血肿内黑洞(低密度区)被相邻高密度血肿完全包裹的现象,且需满足:(1)形状各异(可为近圆形或杆状),但与邻近脑组织不相连;(2)有明显的边界;(3)血肿内两密度区的CT值至少相差28HU。黑洞征预测ICH患者早期血肿扩大的敏感性、特异性、阳性预测值及阴性预测值分别为31.9%、94.1%、73.3%及73.2%。血肿的异质性可能反映不同时期的出血,新鲜出血在CT图像中表现为低密度;血液凝固后,血清从中分离,在CT中则表现为高密度。黑洞征的出现表明异质血肿内存在不同时期的出血,因此可作为ICH患者血肿扩大的预测因素。


 (图5:脑出血黑洞征


5

漩涡征


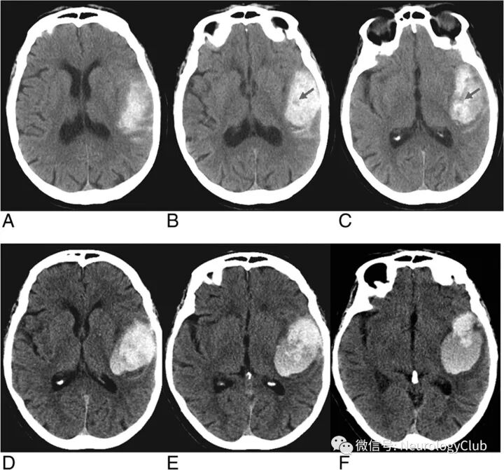
由Al-Nakshabandi于2001年首先描述。定义为CT平扫上2个或以上连续平面高密度血肿内可见低密度区(30-50HU,低或等同于脑实质密度)。近来研究证实,其与脑出血患者血肿扩大相关。

(图6:73岁脑出血患者,最初的头颅CT[A-C]可见左侧顶叶血肿,体积约33ml,其内可见低密度区,即漩涡征;8小时后复查CT[D-F]证实血肿扩大,体积约46ml


6

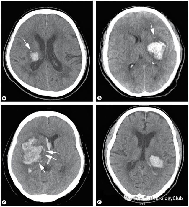
岛征


李琦等于2017年提出,其特征为CT平扫脑出血血肿周围的多灶性小出血。需满足以下两个标准中的任一条件即可定义:(1)存在≥3个分散小血肿全部与主要血肿分离或(2)存在≥4个小血肿,部分或全部与主要血肿相连。分散的小血肿好似分离的小岛,可以是圆形或椭圆形,与主要血肿分开。岛征预测ICH患者早期血肿扩大的敏感性、特异性、阳性预测值及阴性预测值分别为44.7%、98.2%、92.7%及77.7%。主要的血肿由破裂的血管出血引起,当该血肿在不断扩大时,可能导致邻近的小动脉损害,从而引起血肿周围出现海岛样不规则小血肿。岛征具有很高的特异性,可提示血肿扩大,其出现也意味着脑出血患者预后不良。在一些文献上也称主要血肿周围的小出血灶为“卫星征(satellite sign)”,其定义:CT平扫≥1个平面上邻近但与主要血肿分离的小出血(最大直径<10mm),卫星灶和主要血肿的最短距离为1-20mm。有学者研究认为其对预测血肿扩大及预后不良也有价值。


(图7:脑出血岛征)


(图8:a-c:脑出血卫星征;d:脑出血未见卫星征;注意其与岛征定义上的不同)


典型病例

10岁女孩,因头痛伴呕吐入院。CT平扫提示脑实质内高密度血肿伴低密度区,符合漩涡征(swirl sign),活动性出血的典型征象(图9)。CT血管造影提示点征(spot sign),符合出血部位活动性造影剂渗漏。随后3小时的CT可见颅内血肿进展(图10)。后患者死亡。尸检证实为凝血因子XIII缺乏症。


漩涡征和点征都是活动性出血的征象,可预测不论年轻还是老年脑实质内出血患者后期血肿扩大,死亡率升高。本例阐释了活动性出血区经典和新征象的一致性。


(图9:CT平扫[A]可见血肿内低密度区,即漩涡征[*],CT血管造影[B]可见高密度点征[箭];此时已经有占位效应伴中线移位和脑室内血肿


(图10:数小时后复查的CT可见置入脑室内引流管[箭],而血肿往内侧进一步延伸[*])


[参考文献]

1. 李瑞力, 杨明飞.CT影像预测急性脑出血血肿扩大的研究进展.中华神经外科杂志.2017年10期.

2. Wada R, Aviv RI, Fox AJ, Sahlas DJ, Gladstone DJ, Tomlinson G, Symons SP.CT angiography "spot sign" predicts hematoma expansion in acute intracerebral hemorrhage.Stroke. 2007 Apr;38(4):1257-62.

3. Orito K, Hirohata M, Nakamura Y, Takeshige N, Aoki T, Hattori G, Sakata K, Abe T, Uchiyama Y, Sakamoto T, Morioka M.Leakage Sign for Primary Intracerebral Hemorrhage: A Novel Predictor of HematomaGrowth.Stroke. 2016 Apr;47(4):958-63.

4. Li Q, Zhang G, Huang YJ, Dong MX, Lv FJ, Wei X, Chen JJ, Zhang LJ, Qin XY, Xie P.Blend Sign on Computed Tomography: Novel and Reliable Predictor for Early Hematoma Growth in Patients With Intracerebral Hemorrhage.Stroke. 2015 Aug;46(8):2119-23.

5. Li Q, Yang WS, Wang XC, Cao D, Zhu D, Lv FJ, Liu Y, Yuan L, Zhang G, Xiong X, Li R, Hu YX, Qin XY, Xie P.Blend sign predicts poor outcome in patients with intracerebral hemorrhage.PLoS One. 2017 Aug 22;12(8):e0183082.

6. Li Q, Zhang G, Xiong X, Wang XC, Yang WS, Li KW, Wei X, Xie P.Black Hole Sign: Novel Imaging Marker That Predicts Hematoma Growth in Patients With Intracerebral Hemorrhage.Stroke. 2016 Jul;47(7):1777-81.

7. Sporns PB, Schwake M, Kemmling A, Minnerup J, Schwindt W, Niederstadt T, Schmidt R, Hanning U.Comparison of Spot Sign, Blend Sign and Black Hole Sign for Outcome Prediction in Patients withIntracerebral Hemorrhage.J Stroke. 2017 Sep;19(3):333-339.

8. Al-Nakshabandi NA.The swirl sign.Radiology. 2001 Feb;218(2):433.

9. Ng D, Churilov L, Mitchell P, Dowling R, Yan B.The CT Swirl Sign Is Associated with Hematoma Expansion in Intracerebral Hemorrhage.AJNR Am J Neuroradiol. 2017 Dec 7. [Epub ahead of print]

10. Li Q, Liu QJ, Yang WS, Wang XC, Zhao LB, Xiong X, Li R, Cao D, Zhu D, Wei X, Xie P.Island Sign: An Imaging Predictor for Early Hematoma Expansion and Poor Outcome in Patients With Intracerebral Hemorrhage.Stroke. 2017 Nov;48(11):3019-3025.

11. Yu Z, Zheng J, Ali H, Guo R, Li M, Wang X, Ma L, Li H, You C.Significance of satellite sign and spot sign in predicting hematoma expansion in spontaneous intracerebral hemorrhage.Clin Neurol Neurosurg. 2017 Nov;162:67-71.

12. Shimoda Y, Ohtomo S, Arai H, Okada K, Tominaga T.Satellite Sign: A Poor Outcome Predictor in Intracerebral Hemorrhage.Cerebrovasc Dis. 2017;44(3-4):105-112.

13. Wagemans BA, Klinkenberg S, Postma AA.Teaching NeuroImages: Swirl sign and spot sign in intraparenchymal hematoma.Neurology. 2016 Nov 1;87(18):e225-e226.


温馨提醒
请尊重我们的劳动成果,转载不要忘了注明出处哦~~~


分享 :