见于心脏移植后的可逆性脑血管收缩综合征合并可逆性后部脑病综合征

概述

可逆性脑血管收缩综合征(Reversible cerebral vasoconstriction syndrome,RCVS)是一种临床影像综合征,以超急性起病的雷击样头痛,血管造影发现血管收缩证据,数周至数月内症状可逆为特征。可逆性后部脑病综合征(Posterior reversible encephalopathy syndrome,PRES)是另一种临床影像综合征,主要见于高血压脑病。RCVS与PRES可有相似的临床表现,也可同时出现,有报道10-38%的RCVS可合并PRES。我们报道一例心脏移植后的RCVS伴PRES患者,其最终出现严重的脑梗死。


病例报道

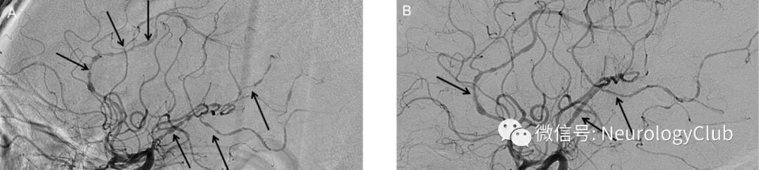
52岁男性,因扩张型心肌病所致终末期心功能衰竭行心脏移植。术后第8天,患者出现全面强直-阵挛发作。发作间期脑电图未见明显异常,实验室检查无殊。行头颅MRI和MRA检查。可见大脑半球后部多发T2高信号病灶。未见急性脑梗死或颅内血管异常(图1)。考虑为他克莫司治疗所致的PRES。为避免病情恶化,将他克莫司减量维持在正常血药浓度下限。此外,严格控制血压防止脑水肿加重。数小时后患者完全恢复。术后第18天,患者出现意识状态改变伴双侧肌力下降(2级)。影像学提示双侧额顶枕叶新发急性梗死以及多处脑血管弥漫狭窄(图2)。行DSA检查提示经典的脑动脉腊肠样外观,是RCVS的特征性改变(图3A)。实验室检查无血管炎相关证据。停用他克莫司,并给予尼莫地平治疗。患者血管痉挛较前改善(图3B)。左上肢肌力恢复至3级。随访3月,影像学未见新发梗死和血管收缩改变,但肢体肌力尚未完全恢复伴视敏度下降。


(图1:A:T2WI可见多发皮质-皮质下高信号病灶;B:ADC上病灶亦呈高信号;C:对应的DWI正常;D:MRA无殊)


(图2:A-C:DWI可见双侧额顶枕叶新发急性梗死;D:MRA可见大脑前动脉,中动脉和后动脉弥漫狭窄)


(图3:A:DSA可见右侧颈内动脉[ICA]远端多分支血管收缩;B:治疗后复查收缩血管较前改善)


讨论

PRES和RCVS可见于肿瘤,血液系统疾病,肾脏疾病和自身免疫性疾病。但目前尚无心脏移植后RCVS的报道。据我们所知,该患者为第一例心脏移植后出现的RCVS合并PRES。


PRES和RCVS的临床表现类似。均可出现严重的头痛,癫痫发作和意识改变。大多数PRES和RCVS患者,临床和影像学异常可在数天或数周内缓解。小于5%的RCVS患者可出现危及生命的症状。8-43%的RCVS病例可有短暂或持续的局灶性神经功能缺失。但RCVS通常是良性病程,复发率很低。PRES也可加重,导致脑缺血,梗死甚至死亡。10-20%的PRES可有持续性神经功能缺失,死亡率大约为3-6%。不过,PRES的预后通常较好。绝大部分患者可完全恢复,复发率低(5-10%)。


PRES和RCVS的病理生理机制仍不清楚,认为可能与脑血管自动调节障碍伴内皮功能紊乱有关。RCVS和PRES的潜在病因包括高血压,子痫或子线前期,肿瘤化疗,自身免疫性疾病,感染性休克和移植后免疫抑制治疗,其均伴有内皮破坏或激活。本例患者他克莫司的使用可能为RCVS的原因。我们开始将他克莫司减量,血清浓度维持在正常范围低限(6-8ng/ml)。然后,10天后还是出现了脑梗死,故只能停用该药。


治疗上,某些药物(例如尼莫地平,维拉帕米和硫酸镁等)可逆转血管收缩,有助于改善症状。严重患者可选择动脉给予尼莫地平或维拉帕米,也可选择球囊血管成形术。RCVS和PRES的早期诊断和治疗很重要,可降低永久性神经功能缺失的发生率。对于PRES患者,短期脑血管影像学的复查也是很有必要的。


[参考文献]

Ban SP, Hwang G, Kim CH, Kwon OK.Reversible cerebral vasoconstriction syndrome combined with posterior reversible encephalopathy syndrome after heart transplantation.J Clin Neurosci. 2017 Aug;42:118-121.


温馨提醒
请尊重我们的劳动成果,转载不要忘了注明出处哦~~~


分享 :