15月大男孩,生长发育迟滞,巨头畸形

15月大男孩,为二胎,父母非近亲结婚,围产期无殊,表现为生长发育迟滞。查体可见巨头畸形,明显的轴性和四肢肌张力低下以及腱反射活跃。


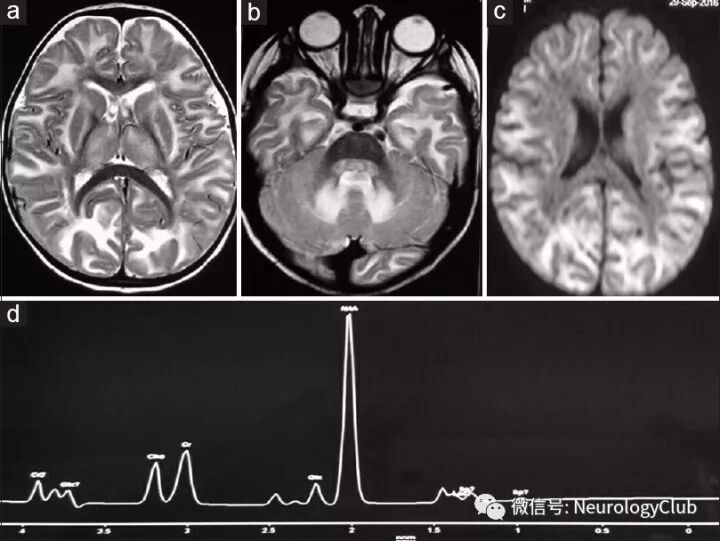
头颅MRI可见双侧齿状核和脑白质对称T2WI高信号,累及皮质下弓形纤维,DWI上呈弥散受限。未见脑积水,占位效应或中线移位。左侧顶部白质单体素MRS可见N-乙酰天冬氨酸(NAA)峰明显升高,肌酸和胆碱峰正常。


(图:a-b:T2WI可见双侧脑白质及齿状核高信号病灶伴弓形纤维受累;c:DWI上皮质下白质病灶呈弥散受限;d:右顶部白质单体素MRS可见NAA峰明显升高,而肌酸和胆碱峰正常)


诊治经过

影像学符合Canavan病的诊断。行遗传学检测进一步证实存在天冬氨酸酰基转移酶基因突变。


最终诊断

Canavan病


讨论

Canavan病,也称为脑白质海绵样变性或海绵状脑白质营养不良,是一种常染色体隐性遗传病,因位于17号染色体短臂的天冬氨酸酰基转移酶(ASPA)基因突变所致,引起N-乙酰天冬氨酸酰化酶缺乏,导致NAA在患者尿液、血浆及脑内过度聚积。影像学可见双侧弥漫对称白质T2WI高信号,累及皮质下弓形纤维。病灶一般无强化。基底节和小脑白质亦可受累。影像学鉴别诊断包括异染性脑白质营养不良、肾上腺脑白质营养不良、佩-梅病(Pelizaeus-Merzbacher disease,PMD)和亚历山大病。异染性脑白质营养不良和肾上腺脑白质营养不良可见双侧对称性T2WI白质高信号,但皮质下白质不受累。此外,肾上腺脑白质营养不良常先累及双侧额叶白质,由前向后进展,可见病灶边缘强化。PMD也可累及皮质下弓形纤维,但通常伴有明显的小脑萎缩和进行性脑沟增宽。此外,PMD患者无巨头畸形,MRS上NAA水平正常。现认为,细胞毒性水肿伴相应的DWI弥散受限是婴儿Canavan病的早期标志。类似的改变在本例中亦可见到。


[参考文献]

Israni AV, Mandal A.Canavan disease with typical brain MRI and MRS findings.Neurol India. 2017 Sep-Oct;65(5):1191-1192.


温馨提醒
请尊重我们的劳动成果,转载不要忘了注明出处哦~~~


分享 :