中年男性,反复全面性癫痫发作6月余

48岁男性,表现为反复全面性癫痫发作6月余。患者家属诉每次发作持续大约2-3分钟。癫痫发作频率和诱发因素不明。患者既往有20年饮酒史,平均250ml/天。入院神经系统查体提示患者认知功能基本完整,但言语含糊,瞳孔等大等圆,对光反射灵敏,眼球运动正常,无眼震,无第7对以及第12对颅神经麻痹,四肢肌力5级,肌张力正常,感觉无缺损,反射正常。


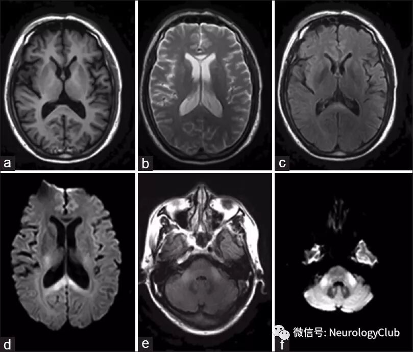
MRI可见双侧小脑中脚及胼胝体异常信号。实验室检查提示谷丙转氨酶95.2U/L,谷草转氨酶96.0U/L。余常规化验正常。未行腰穿及肝脏超声。


(图:a:T1WI可见胼胝体压部低信号;b:T2WI可见胼胝体膝部高信号;c:FLAIR可见胼胝体压部高信号;d:DWI可见胼胝体压部高信号;e:FLAIR可见双侧小脑中脚高信号;f:DWI可见双侧小脑中脚高信号


诊治经过

患者诊断考虑MBD。予大剂量B族维生素、吡拉西坦以及丙戊酸钠治疗。患者8天后出院,症状较前好转。


最终诊断

Marchifava-Bignami病


讨论

Marchifava-Bignami病(MBD)临床罕见,患者多为中年男性,以胼胝体对称性坏死或脱髓鞘改变为主要特征。本病由两位意大利病理学家Ettore Machiafava和Amico Bignami首先描述。经典的MBD以胼胝体中间层损伤为主,背侧和腹侧纤维层相对保留。胼胝体外区域亦可受累,现普遍认为,病灶越广泛,预后越差。


[参考文献]

Xuehan LI, Zhiyu LV, Wang P, Chen X.A rare case of Marchiafava-Bignami disease: Extracallosal lesions involving bilateral medipeduncle.Neurol India. 2017 May-Jun;65(3):642-643.


温馨提醒
请尊重我们的劳动成果,转载不要忘了注明出处哦~~~


分享 :