髓鞘少突胶质细胞糖蛋白(myelin oligodendrocyte glycoprotein,MOG)是一种在中枢神经系统髓鞘最外层表达的蛋白,也被用于实验性自身免疫性脑脊髓炎(Experimental autoimmune encephalomyelitis,EAE)的免疫原。EAE研究表明MOG抗体在炎性脱髓鞘疾病(Inflammatory demyelinating disease,IDD)动物模型中起直接致病作用,而既往用ELISA和Western试验检测IDD患者的MOG抗体时并未有特征性发现。近期报道在儿童急性播散性脑脊髓炎(ADEM)、AQP4阴性的视神经脊髓炎谱系疾病(NMOSD)、视神经炎(ON)和长节段横贯性脊髓炎(LETM)的患者中可通过有细胞转染免疫荧光法检测到构象敏感(conformation-sensitive)的MOG抗体,提示MOG抗体可能为IDD谱的生物标记物。通过研究大量MOG抗体阳性病例,可认识与髓鞘抗体直接或间接相关的新的临床表型。
本次研究中我们首先发现了一例伴全面性癫痫发作的MOG抗体阳性的良性单侧皮质脑炎(病例1),随后检测了一组成人不明原因激素敏感性脑炎患者中的MOG抗体出现率,来明确MOG抗体阳性病例有无特殊表现。
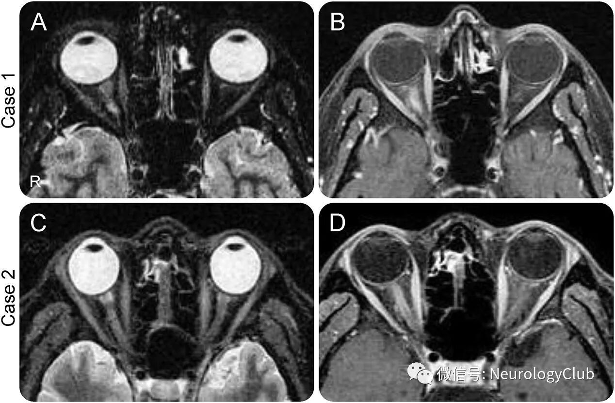
除了病例1外,还发现3例血清MOG抗体阳性的病例。4例患者的临床特征见表1。所有患者均为男性,平均发病年龄为34岁(23-39岁)。均有癫痫发作,3例出现行为异常,2例出现ON(图1),1例出现排尿困难,没有患者存在脊髓病变。脑脊液(CSF)检查平均细胞数为83/μL(平均为29-311/μL),平均蛋白浓度为46mg/dL(35-86mg/dL)。3例(病例1-3)患者的CSF行MOG抗体检测,结果均阳性,但无髓鞘碱性蛋白(Myelin basic protein,MBP)增加。4例患者均行头颅MRI检查,FLAIR上可见单侧大脑皮质高信号病灶(图2-3)。本组研究中其他MOG抗体阴性的病例均未出现如上的MRI改变。4例患者接受静脉注射大剂量糖皮质激素并给予抗癫痫药物治疗后完全恢复。同时检测了其它脑炎相关的抗体(AQP4、NMDAR、AMPA、LGI1、CASPR2、GABAb),但结果均为阴性。
表1 4例MOG抗体阳性单侧皮质脑炎患者的临床特征
| 临床特点 | 病例1 | 病例2 | 病例3 | 病例4 |
性别/发病年龄(岁) | 男性/39 | 男性/36 | 男性/23 | 男性/38 |
临床表现 | ||||
脑病 | ||||
癫痫发作 | 伴Todd麻痹的全面性强直发作 | 全面性强直发作 | 左手不自主动作,全面性强直发作 | 全面性强直发作(右手开始) |
意识障碍 | 谵妄 | 只在癫痫发作时出现 | 定向障碍 | 只在癫痫发作时出现 |
行为异常 精神症状 | 妄想、幻觉、厌食 | - | - | 易激惹、暴力行为 |
其他局灶性脑部症状 | - | - | - | 失语和右侧偏瘫 |
视神经炎 | +(右侧,癫痫发作前7个月) | +(右侧,癫痫发作后) | - | - |
脊髓炎 | - | - | - | - |
头颅MRI | ||||
FLAIR高信号 | 右侧额顶叶皮质 | 右侧额顶叶皮质 | 右侧顶叶皮质 | 左侧大脑半球皮质 |
ADEM样病灶 | - | - | - | - |
急性期CSF | ||||
细胞计数(μL)(单核:多核) | 29(23:6) | 63(62:1) | 101(51:50) | 311(129:182) |
蛋白(mg/dL) | 35 | 38 | 86 | 53 |
IgG寡克隆带 | 无数据 | - | - | - |
MBP(pg/mL) | 无数据 | <31.3 | <31.3 | <31.3 |
MOG抗体滴度 | ||||
血清(发作期) | 1:512 | 1:2048 | 1:256 | 1:1024 |
血清(缓解期) | 1:16 | 1:128 | - | - |
CSF | 1:32 | 1:4 | 1:16 | 无样本 |
治疗 | HIMP,PSL,CBZ,LTG | HIMP,PSL,CBZ | DEX,PSL,CBZ | HIMP,PSL,CBZ |
治疗反应 | HIMP治疗后完全好转 | HIMP治疗后完全好转 | DEX治疗后完全好转 | HIMP治疗后完全好转 |
复发 | 无 | 无 | 无 | 无 |
随访持续时间(月) | 30 | 40 | 23 | 72 |
注:ADEM:急性播散性脑脊髓膜炎;CBZ:卡马西平;DEX:地塞米松;HIMP:静脉注射大剂量甲强龙;IgG:免疫球蛋白G;LTG:拉莫三嗪;MBP:髓鞘碱性蛋白;MOG:髓鞘少突胶质细胞糖蛋白;PSL:泼尼松龙
(图1:A、C:短T1反转恢复序列;B、D:增强序列;病例1和2可见右侧视神经高信号病灶伴强化,提示单侧视神经炎)
(图2:病例1头颅MRI;患者住院时出现癫痫发作,右侧半球皮质区可见FLAIR高信号[A,箭头],部分强化;病灶在DWI[B]、ADC[C]、T2WI[D]、T1WI[E]和增强T1[F]上并不明显)
(图3:入院时病例1[A-C],病例2[F-H],病例3[K-N],病例4[P-R]可见单侧皮质FLAIR高信号[箭头];病例1,病例2和病例4脑SPECT提示FLAIR高信号病灶区高灌注[D,I,S];至少随访2年后复查头颅MRI,皮质FLAIR高信号病灶消失[E,J,O,T])
讨论
病例1患者以单侧良性ON为首发症状而行MOG抗体检查。继而我们对一组24例病因未明、激素治疗有效的成人脑炎患者行MOG抗体筛查,发现3例阳性。而此3例患者也出现和病例1一样的伴癫痫发作的单侧皮质脑炎,但其它MOG抗体阴性的患者无此现象。单侧皮质病变在FLAIR上最明显,具有一定的特异性,可有别于其他MOG抗体阳性的疾病(如ADEM)。
4例患者的单侧皮质损伤需要与癫痫导致的脑部MRI异常鉴别。癫痫发作导致的脑部MRI异常一般局限于皮质/皮质下区、海马、基底节、白质或胼胝体,因细胞毒性水肿常在DWI上呈高信号。但本组病例中,FLAIR比DWI和ADC显像更清晰。CSF细胞数增多、大剂量激素治疗有效提示该特殊的单侧皮质病变为炎症性,SPECT上的高灌注与皮质FLAIR高信号相对应,支持炎症本质以及急性期肿胀的皮质病变导致的癫痫发生。
表2总结了各种自身抗体或免疫介导脑炎的临床特点(见表2)。本研究中4例伴癫痫发作的单侧皮质脑炎具有一定独特性。Rasmussen脑炎(RE)为单侧大脑皮质脑炎,需与本组病例鉴别,但RE慢性期的表现为局灶性癫痫、进展性偏瘫、认知功能下降,伴单侧半球皮质萎缩,激素和其他抗炎治疗仅部分有效。4例患者的病灶分布与伴癫痫发作的NMDAR、VGKC、GAD、抗甲状腺抗体等介导的脑炎不同,且4例患者中均未发现上述抗体。4例患者的临床及影像特点也可与边缘性脑炎(GAD、LGI1、GABAb或AMPA抗体阳性)以及NOMSD的脑部表现区别。
本组病例FLAIR高信号病灶定位于大脑皮质或脑沟,与见于其他中枢神经系统疾病,如脑膜炎、蛛网膜下腔出血、肿瘤软脑膜转移、急性脑梗死和moyamoya病等。既往报道一名23岁被诊断为脑膜炎的男性患者FLAIR上出现了与本组病例相似的左侧颞枕叶皮质高信号。近期Numa等报道了一名37岁女性,4岁的时候被诊断为ADEM,33年后出现了ON,随后ADEM复发,其被查出MOG抗体阳性,FLAIR上可见左侧额叶和颞叶皮质高信号病灶。因此,MOG抗体阳性的单侧皮质脑炎既往并未被认为是一种特殊类型。本组病例中MOG抗体和单侧皮质脑炎的相关性仍不明确。2例患者合并有良性单侧ON,而病例3、4缺少类似ON、LETM、NMOSD或ADEM等疾病的特征。故推测单侧大脑皮质脑炎可能是MOG抗体阳性疾病的一种特殊表现。虽然一些MOG抗体相关疾病符合血清阴性的NMOSD的诊断标准,但MOG抗体相关疾病谱可能明显大于NMOSD。未来MOG抗体相关疾病可能成为中枢神经系统炎性脱髓鞘疾病的一种特殊临床实体。
本组回顾性病例分析有一定的局限性(样本量小,单中心,仅纳入成人患者),今后需要前瞻性、大样本、多中心的研究来明确。然而,在同一时期(2008-2014年)患者中也仅发现6例NMDAR抗体相关脑炎及1例VGKC抗体相关脑炎,可见MOG抗体阳性的单侧脑炎可能相对并不少见。
表2 自身免疫性或免疫介导脑炎的鉴别诊断
| 疾病 | 年龄 | 性别 | 临床表现 | 自身抗体 | 头颅MRI | 治疗 | 预后 |
当前病例 | 23-39岁 | 均为男性 | 癫痫发作(全部病例)、行为异常、精神症状或其他局灶性脑部症状(部分病例),无肿瘤 | MOG | FLAIR单侧皮质高信号病灶,无脑萎缩 | HIMP,AED | 完全好转,无复发 |
ADEM | 儿童和青年(<40岁) | 60%男性 | 意识和行为改变、无力、共济失调、颅神经麻痹、癫痫发作、发热、头痛、呕吐和脑膜刺激征 | MOG(约50%) | T2/FLAIR白质、基底节、脑干、小脑和脊髓多发、较大病灶(>2cm) | HIMP,IVIg,PLEX | 50-89%可完全好转 |
Rasmussen脑炎 | 婴儿至成人(平均6岁) | 无性别差异 | 偏瘫、癫痫发作、单侧运动障碍(手足徐动/肌张力障碍) | GluR(部分病例) | 单侧半球局灶性皮质病变伴萎缩 | AED,HIMP,IVIg,PLEX,手术 | 遗留严重的神经功能缺损 |
NMDAR脑炎 | 8月至85岁(平均21岁) | 主要为女性 | 精神障碍、癫痫发作、运动障碍、自主神经功能障碍、中枢性低通气,年轻女性可伴卵巢畸胎瘤 | NMDAR | 异常,半数病例可见为颞叶内侧面病灶 | HIMP,IVIg,PLEX,利妥昔单抗 | 80%恢复或遗留轻微神经功能缺损 |
VGKC抗体相关脑炎 | 47-77岁(平均63岁) | 主要为男性 | 记忆力下降、癫痫发作、精神异常、自主神经功能障碍、神经性肌强直 | LGI1,CASPR2 | T2/FLAIR半数病例可见颞叶内侧面、海马或杏仁核高信号病灶 | HIMP,PLEX,IVIg | 常为单相病程 |
GAD抗体相关脑炎 | 17-66岁(平均23岁) | 主要为女性 | 癫痫、轻度认知障碍 | GAD(>1000U/mL) | T2颞叶内侧面或海马高信号病灶 | HIMP,PLEX | 慢性或无缓解病程 |
其他自身免疫性边缘叶脑炎 | Hu抗体:50-63岁; Ma2抗体:22-70岁; AMPAR抗体:23-81岁;GABAbR抗体:16-77岁 | 男性多见:Hu,Ma,GABAbR; 女性多见:AMPAR | 意识模糊、记忆力下降、情绪变化、癫痫发作(可伴小细胞肺癌、睾丸精原细胞瘤、胸腺瘤等) | Hu,Ma,AMPAR,GABAbR | FLAIR颞叶内侧面高信号病灶 | HIMP,IVIg,PLEX,肿瘤治疗 | 因自身抗体不同预后各异,但很少完全好转 |
桥本脑病 | 23-83岁(平均60岁) | 主要为女性 | 癫痫发作、肌阵挛、幻觉、卒中样发作 | 甲状腺过氧化物酶(TPO),甲状腺球蛋白(TGB),α-烯醇化酶 | 正常或非特异性改变 | HIMP | 绝大多数有好转 |
NMOSD | AQP4抗体阳性:平均约40岁,1-2%为儿童; MOG抗体阳性:3-70岁(平均37.5岁) | AQP4抗体阳性:主要为女性(60-90%); MOG阳性:无性别差异 | 视神经炎、急性脊髓炎、呃逆或恶心呕吐、急性脑干综合征、发作性睡病症状、急性间脑综合征、症状性大脑综合征 | AQP4,MOG | AQP4抗体阳性:延髓背侧/极后区、脑干室管膜周围、皮质下或深部白质、胼胝体、长皮质脊髓束病灶; MOG抗体阳性:ADEM、脑干病灶 | 急性发作期:HIMP,IVIg,PLEX,环磷酰胺; 预防复发:免疫抑制治疗 | AQP4抗体阳性:超过1/3不能独立行走,需要协助; MOG抗体阳性:相对良性 |
注:ADEM:急性播散性脑脊髓炎;AED:抗癫痫药;AQP4:水通道蛋白-4;GAD:谷氨酸脱羧酶;HIMP:大剂量静脉注射甲强龙;IVIg:静脉注射免疫球蛋白;MOG:髓鞘少突胶质细胞糖蛋白;NMDAR:N-甲基-D-天冬氨酸受体;NMOSD:视神经脊髓炎谱系疾病;PLEX:血浆置换;VGKC:电压门控钾通道
cmt摘译,zyx审校
[参考文献]
Ogawa R, Nakashima I, Takahashi T, Kaneko K, Akaishi T, Takai Y, Sato DK, Nishiyama S, Misu T, Kuroda H, Aoki M, Fujihara K.MOG antibody-positive, benign, unilateral, cerebral cortical encephalitis with epilepsy.Neurol Neuroimmunol Neuroinflamm. 2017 Jan 16;4(2):e322.
请尊重我们的劳动成果,转载请注明出处哦~~~