中年男性,急起癫痫发作伴意识不清

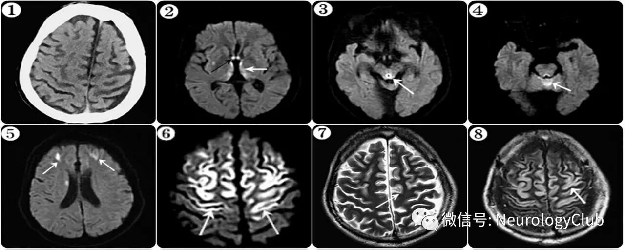
45岁男性,因2次全面性强直-阵挛发作和意识不清3小时被送至急诊。既往25年每天饮用6-9瓶啤酒,起病前未戒酒。有慢性酒精肝病史,未行系统治疗。入院查体:生命体征平稳,意识不清,Glasgow昏迷量表评分3分,双侧瞳孔等大等圆,直径3.0mm,对光反射迟钝,腱反射消失,右侧巴氏征阳性。余感觉、肌力、共济、步态等无法配合。起病后12小时的头颅MRI可见双侧额顶叶、内侧丘脑、三脑室旁、小脑蚓部以及导水管周围区域对称性T2WI/FLAIR高信号病灶,DWI上弥散受限(图)。脑电图提示中度异常。实验室检查:天门冬氨酸氨基转移酶218U/L(参考值:15-46),腰穿压力85mmH2O,脑脊液蛋白927mg/l,糖、氯化物和细胞数正常。


(图:①:CT未见明显异常;②-⑥:DWI;⑦:T2WI;⑧:FLAIR;MRI可见双侧额顶叶、内侧丘脑、三脑室旁、小脑蚓部以及导水管周围区域对称性弥散受限病灶


诊治经过

患者诊断为Wernicke脑病,予肌注维生素B1并护肝治疗。患者症状逐渐改善。


最终诊断

Wernicke脑病


讨论

Wernicke脑病(WE)是一种严重的中枢神经系统代谢性疾病,因各种原因所致的硫胺素(维生素B1)缺乏所致。典型三联征为眼球运动障碍,共济失调和意识改变。典型影像学可见双侧乳头体,内侧丘脑,导水管周围灰质对称性异常信号。皮层受累少见。先前研究发现伴皮层病变的WE常见于非酗酒人群。而本例患者为慢性酒精成瘾,如此弥漫的额顶叶皮层异常信号,比较罕见。此外,基底节、小脑蚓部以及胼胝体也可受累。需要注意的是,影像学正常不能完全排除WE。癫痫发作为WE的少见临床表现,但可见于30%伴皮层病变的WE患者。其具体发病机制尚不清楚。对于临床确诊或高度怀疑WE的患者,应尽早补充硫胺素,防止症状进一步恶化,改善预后。


[参考文献]

Fu K, Tian L, Xue W, Teng W.Epileptic seizures as the first symptom of Wernicke's encephalopathy with cerebral cortical lesions.J Clin Neurosci. 2017 Jun;40:50-52.


温馨提醒
请尊重我们的劳动成果,转载不要忘了注明出处哦~~~


分享 :