青年女性,头痛,眩晕和耳鸣8月

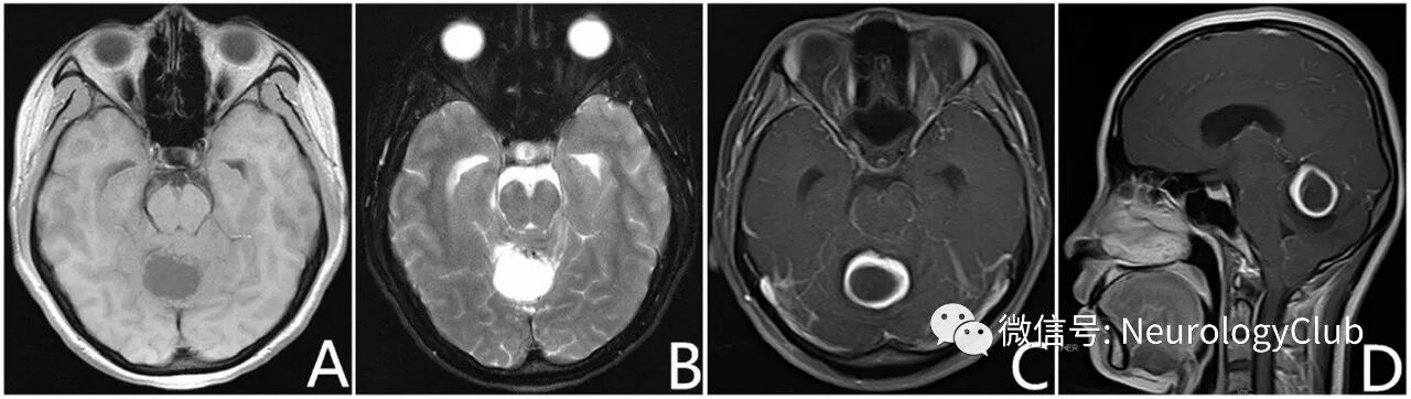
28岁女性患者,表现为头痛,眩晕和耳鸣8月。MRI可见右侧小脑半球囊性肿块(图1A-B)。注射对比剂后病灶呈环形强化不伴有明显的周围水肿(图1C-D)。


(图1:术前头颅MRI可见小脑囊性占位,T1WI呈低信号,T2WI为高信号,增强后可见较规则的环形强化,未见明显周围水肿)


(图2:A:CTA可见圆形囊性肿块伴表面异常血管;B:术后增强MRI未见肿瘤残留;C:HE染色提示小脑血管母细胞瘤)


诊治经过

根据患者的MRI表现,首先考虑星形胶质细胞瘤。行手术完全切除病灶。组织学提示为血管母细胞瘤(图2C)。术后随访复查MRI未见复发。小脑血管母细胞瘤伴囊壁强化为罕见的神经影像学表现。其CTA提示囊性肿块表面异常血管生成或可解释这一现象(图2A)。


最终诊断

血管母细胞瘤


讨论

血管母细胞瘤约占所有颅内肿瘤的2%,后颅窝肿瘤的7-10%,好发于小脑、脑干和脊髓。好发于中年人群(40-50岁),无明显性别差异。近75%的血管母细胞瘤为散发,但仍有少数伴Von Hippel-Lindau(VHL)病。散发的血管母细胞瘤患者症状体征包括头痛,眩晕,视物模糊,恶心或呕吐,肢体轻瘫,听力下降,面部感觉异常以及意识障碍等,主要同肿瘤的部位和大小有关。


根据神经影像学表现,血管母细胞瘤可分为三种类型:第一种为非强化大囊伴强化肿瘤小结节,余两种为实性强化肿瘤伴或不伴瘤周囊变。血管母细胞瘤伴环形强化可能是一种新的影像模式,十分罕见且术前容易误诊。


由于血管母细胞瘤呈现环形强化,考虑其囊壁含有肿瘤细胞,外科完整切除强化病灶及实性部分是最佳选择。不建议术前和术中行肿瘤穿刺,因有导致肿瘤播散和不必要出血的风险。术前正确识别血管母细胞瘤非常关键,例如CTA对于鉴别诊断而言很有必要。


[参考文献]

Qiguang Wang, Wenke Liu, Jian Cheng, Xuhui Hui.A cystic ring-enhancing cerebellar lesion.J Clin Neurosci. 2017 Jun;40:49, 200-201.


温馨提醒
请尊重我们的劳动成果,转载不要忘了注明出处哦~~~


分享 :