31岁男性,意识水平改变,颅内多发病变

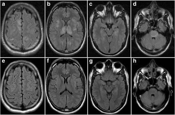
31岁印度男性,既往体健,因意识水平改变至急诊。神经系统症状起病前5天患者有轻微发热(<38°C),咽喉疼痛和头痛。患者近来在印度居留2月。神经系统查体提示步态不稳,呈宽基状,意识水平下降。可见弥漫丘疹和黏膜疹,数天后自发消失。红细胞、白细胞(13.000/μL)、血沉(30mm/h)和C反应蛋白(48mg/l)轻度升高。因考虑感染性脑炎,患者起初接受阿昔洛韦和头孢曲松治疗。脑脊液检测提示总蛋白水平53mg/dl,细胞数179/μL(90%单核细胞),未见寡克隆IgG条带。头颅磁共振FLAIR和T2WI可见丘脑、基底节、内囊、颞叶内侧面和脑干弥漫高信号伴皮质下、脑室旁和皮质区高信号小病灶不伴强化(图a-d)。DWI上病灶轻度弥散受限。全脊髓MRI正常。


(图:a-d:发病时的FLAIR;e-h:治疗后复查的FLAIR;可见皮质和皮质下病灶伴双侧丘脑和内囊,颞叶内侧面和脑桥受累,无明显强化;免疫球蛋白治疗后皮质,丘脑和基底节病灶几乎完全消失,颞叶和脑干病灶较前好转)


诊治经过

常见病毒和不典型感染PCR检测均为阴性。细菌和真菌培养无殊。自身免疫性脑炎相关抗体、副肿瘤相关抗体、抗核抗体全套、甲状腺功能及抗体全套均阴性。结缔组织疾病,血管炎,白塞病以及桥本脑病等的诊断标准尚未达到。血清(滴度1:5120)和脑脊液(滴度1:8)抗髓鞘少突胶质细胞糖蛋白(MOG)抗体阳性。患者接受静脉注射免疫球蛋白治疗5天,症状较前明显改善。2周后复查MRI,原病灶基本消失(图e-h)。仅遗留轻度的步态不稳。


最终诊断

MOG抗体相关疾病


讨论

抗MOG抗体可见于不同的炎性脱髓鞘疾病,如急性播散性脑脊髓炎(ADEM),视神经脊髓炎谱系疾病(NMOSD),特发性视神经炎,特发性脊髓炎以及不典型多发性硬化等。然而,MOG抗体相关疾病的临床表型谱仍不是十分清楚。本例为临床表现貌似脑炎的MOG抗体阳性患者,其对静脉注射免疫球蛋白反应良好。但实验室检查并无明确的感染依据,且副肿瘤和自身免疫性脑炎抗体阴性,不支持脑炎的诊断。本例患者某些特点,如多发幕上白质、基底节、丘脑和脑干病灶,与ADEM类似。然而,后者脑脊液细胞数不会如此明显增多,且灰质和脑室旁白质受累而脊髓无病灶亦不符合经典的ADEM影像学改变。因此,本例患者应归类于脑炎而非ADEM。复习文献,目前仅有5例表现为脑炎的MOG抗体相关疾病的报道。


MOG抗体相关疾病谱可能远比我们已知的要广,除了NMOSD和ADEM外,也可出现脑炎样表现。因其对免疫治疗有效,预后良好,临床上遇到不明原因脑炎的患者,可考虑检测MOG抗体。


[参考文献]

Mariotto S, Monaco S, Peschl P, Coledan I, Mazzi R, Höftberger R, Reindl M, Ferrari S.MOG antibody seropositivity in a patient with encephalitis: beyond the classical syndrome.BMC Neurol. 2017 Oct 5;17(1):190.


温馨提醒
请尊重我们的劳动成果,转载不要忘了注明出处哦~~~


分享 :