6岁男孩,颅内多发病变


6岁男孩,表现为快速进展性攻击行为,精神运动性迟滞明显。同时存在多食,多饮,多尿,既往8月体重增加17kg,BMI指数达到28.5kg/m2。此外,患者有反复的复杂部分性发作,持续1-2分钟。发作间期脑电图提示双侧大脑半球弥漫慢波和散在的棘波。左乙拉西坦在病程最开始的较短时间内有效。


血常规、电解质、血沉、血管紧张素转化酶、血乳酸脱氢酶、肿瘤标记物等正常。激素检查提示垂体-肾上腺轴受损所致的全垂体功能减退、尿崩症、继发性甲状腺功能减退以及生长激素缺乏。


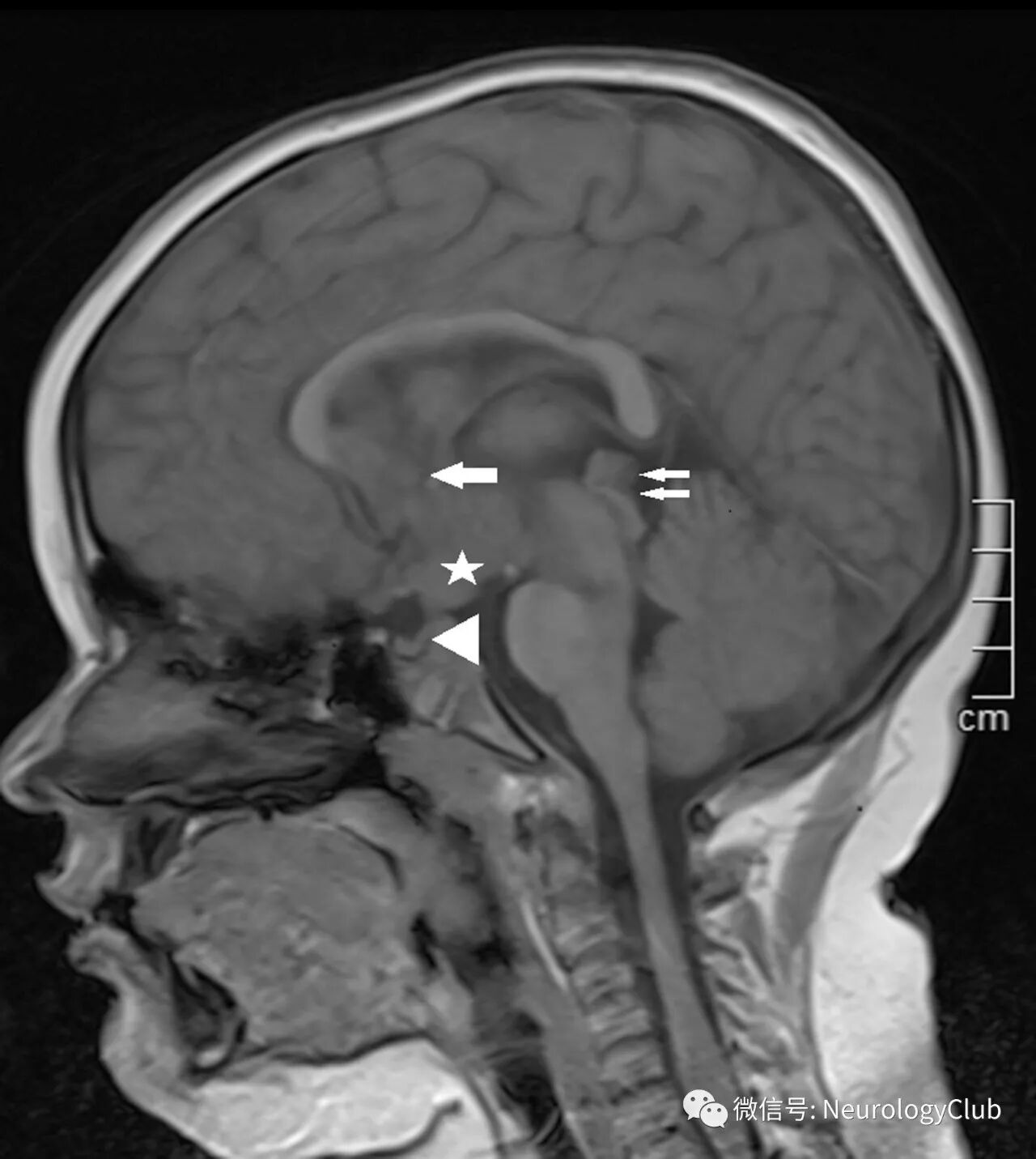
头颅MRI可见垂体柄增粗伴局限性下丘脑和松果体病变。此外T1WI上垂体后叶生理性高信号消失(图1)。FLAIR和T2WI可见脑白质广泛高信号和多发结节样病灶。增强后结节样病灶明显强化(图2)。未见骨性破坏。全身其他脏器影像学检查未发现异常。


血清和脑脊液检查未发现巨细胞病毒,EB病毒,单纯疱疹病毒,HIV,乙型肝炎病毒,曲霉菌,棘球蚴,弓形虫,新型隐球菌和结核感染证据。


(图1:矢状位T1WI可见垂体后叶生理性高信号消失[箭头]伴垂体柄增粗以及下丘脑[☆],胼胝体下[箭]和松果体[双箭]病变)


(图2:A:T2WI可见双侧大脑半球弥漫高信号白质病变;B-D:增强T1WI可见脑实质内多发肉芽肿性强化病灶)


(图3:A:HE染色;B:CD68染色;C:CD1a染色;D:S100蛋白染色)


诊治经过

行立体定向穿刺活检,病理提示脑组织Rosenthal纤维反应性改变和星形胶质细胞激活,淋巴单核细胞与组织细胞炎性浸润。免疫组化染色CD68,CD1a及S100阳性(图3)。JC病毒和BK病毒PCR阴性。患者接受化疗后症状部分改善,但9岁时因难治性感染并发症去世。


最终诊断

朗格汉斯组织细胞增生症


讨论

朗格汉斯组织细胞增生症(Langenhans cell histiocytosis,LCH)是一种罕见的单核-巨噬细胞系统疾病,儿童发病率约为3-5/1000000。垂体增大是最常见的改变,伴有内分泌疾病,特别是尿崩症(15-50%)。脑内其他部位受累罕见于儿童和青少年(2-4%)。


颅内LCH的典型MRI表现包括垂体柄增粗,有时可见垂体和下丘脑区域占位性病变。此外,肿瘤样病灶也可见于脑膜,脉络丛或松果体。第二常见的MRI表现为小脑灰质T1WI低或高信号改变,称为“放射学神经退行性变”。在某些重度残疾的儿童患者中,T2WI上可见小脑和大脑片状至融合的白质病变。非常少的病例报道提及脑实质肉芽肿性病变。本例患者的MRI改变较为特殊,表现为多发的幕上和幕下结节样病灶伴弥漫白质病变,故鉴别诊断较多,包括生殖细胞肿瘤,结节病,脑转移瘤和感染性疾病,扩大了中枢神经系统LCH的影像学类型。


[参考文献]

Rompel O, Buslei R, Hammon M, Dörr HG, Chada M, Nikkhah G, Uder M, Trollmann R.Diffuse Encephalopathy Associated with Isolated Cerebral Langerhans Cell Histiocytosis.Pediatr Neurol. 2016 Sep;62:62-5.


温馨提醒
请尊重我们的劳动成果,转载不要忘了注明出处哦~~~


分享 :