15岁男孩,发热,头痛和感觉异常

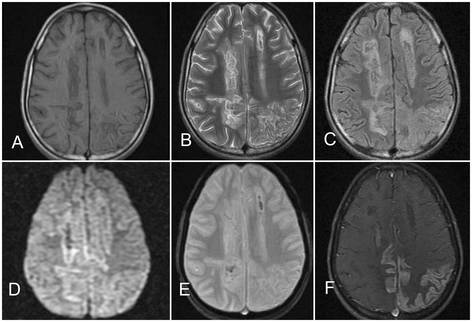
15岁男孩,表现为发热,头痛和感觉异常12天。入院时有发热(38.3℃),皮肤无瘀点瘀斑,无局灶性神经功能缺失症状,但包括脑膜刺激征在内的神经系统查体均无殊。实验室检查提示血红蛋白11g/dl,白细胞计数3300/mm3,血小板计数22000/mm3,但第二天跌至8000/mm3,天门冬氨酸氨基转移酶155U/L,丙氨酸氨基转移酶140U/L,碱性磷酸酶56U/L。其他生化指标,肾功能,血糖,电解质,动脉血气分析等正常。外周血涂片未见疟原虫。脑脊液常规和生化检查正常。脑电图可见全面性慢波。头颅MRI可见双侧顶枕叶和左侧额叶异常信号(左侧半球病灶较右侧半球更明显)。双侧基底节区可见轻度T2高信号。注射对比剂后可见脑回样强化,提示皮质层状坏死(图1)。


(图:A:T1WI;B:T2WI;C:FLAIR;可见双侧顶叶和枕叶曲线样高信号皮层病灶;D:DWI上可见轻度脑回弥散受限;E:梯度回波序列可见病灶伴出血;F:增强T1可见脑回样强化病灶)


诊治经过

血清和脑脊液登革病毒IgM抗体阳性。经相应治疗后患者7天内好转。


最终诊断

登革病毒性脑炎


讨论

登革热是一种由登革病毒经蚊媒传播引起的急性虫媒传染病,流行于100多个国家。累及中枢神经系统的登革病毒感染主要有3种类型:登革热,登革出血热和登革休克综合征。脑炎是登革病毒感染的严重并发症,在上述3种类型中均可出现。


通常认为登革病毒为非嗜神经病毒,其感染所致神经系统并发症可能有多种机制,如系统性代谢紊乱,肝肾功能障碍,直接侵袭感染,感染后免疫反应,血管通透性和血液流动异常以及凝血疾病等。病毒可能通过被感染的巨噬细胞进入神经系统。


登革病毒性脑炎患者的影像学表现多样,也有近半数患者可无明显异常。T2WI/FLAIR上常可见双侧脑室旁包括基底节的多灶性高信号。脑干、小脑、胼胝体和丘脑也可受累。多数急性出血性脑炎患者梯度回波序列可见片状出血区。登革病毒感染也可表现为急性播散性脑脊髓炎,T2WI可见皮层下和脑室旁白质异常信号,伴或不伴灰质受累,这是一种免疫介导的疾病,对静脉注射甲强龙反应较好。


皮质层状坏死是一影像学术语,常用于描述T1WI上高信号的皮层病灶,呈脑回样分布。病理学上可见累及神经元,胶质细胞和脑血管的特殊皮层坏死。通常由缺氧和代谢性疾病所致,如低血糖,中毒,缺氧缺血性脑病,肾脏和肝脏功能障碍,也可见于脑炎患者。


我们推测本例患者皮质层状坏死的主要原因是登革病毒的直接感染。代谢异常,即轻度的肝功能障碍可能是第二位原因。血小板计数降低以及肝肾功能紊乱有助于登革病毒性脑炎的诊断。


[参考文献]

Garg RK, Rizvi I, Ingole R, Jain A, Malhotra HS, Kumar N, Batra D.Cortical laminar necrosis in dengue encephalitis-a case report.BMC Neurol. 2017 Apr 20;17(1):79.

温馨提醒
请尊重我们的劳动成果,转载不要忘了注明出处哦~~~


分享 :