中枢神经系统瘤样脱髓鞘病变中国诊治指南

瘤样脱髓鞘病变(Tumefactive demyelinating lesions,TDLs)曾被称为肿瘤样炎性脱髓鞘病变或脱髓鞘性假瘤,是中枢神经系统免疫介导的炎性脱髓鞘疾病的特殊类型,主要位于大脑半球,少见于脊髓。TDLs可模拟脑肿瘤的特征,如症状相对较轻,病灶较大伴明显水肿,有占位效应,增强扫描可见强化,因此临床上易被误诊为脑肿瘤。


1993年,Kepes等学者报道了31例经病理证实的大脑TDLs,认为其是介于多发性硬化(MS)和急性播散性脑脊髓炎(ADEM)之间的疾病。近期研究显示TDLs的致病机制类似于MS、Balo病和ADEM,相互之间有重叠,因此,TDLs可能是一种独立的疾病。

虽然脑组织活检病理是诊断TDLs的金标准,但具有一些限制:(1)患者可能对手术有所顾虑,而且部分医院可能无法进行病理检查;(2)模棱两可的病理结果:不典型的TDLs病灶中可能存在胶质增生和异型细胞,较难与胶质瘤相鉴别;(3)活检前使用激素会导致原发性中枢神经系统淋巴瘤(PCNSL)缺乏典型的病理表现,反应性T细胞浸润在PCNSL病灶周围,使得PCNSL被误诊为TDLs;(4)若第一次活检未能取得足够的脑组织或未达到正确的部位,需要再次活检。


目前,TDLs的诊断主要依靠临床特征和神经影像。由于尚无诊断标准和专家共识,本病的诊断和治疗缺乏一致性。许多患者因被误诊而未接受合理的治疗,部分患者甚至接受了病灶切除术或伽马刀治疗。近年来,中国关于TDLs的研究增加了本病诊治的依据,对其认识也越来越成熟。因此,来自神经免疫学、神经影像学和神经病理学等领域的专家共同制定了TDLs诊断和治疗的指南,为中国不同等级的医院提供参考。特别是对于无法实施活检的患者,其意义更加重大。


临床特征


起病方式

TDLs的发病率和患病率尚缺乏相应数据。TDLs通常为急性或亚急性起病,少数患者也可慢性起病。起病前常无前驱症状,少数患者可有疫苗接种史或上呼吸道感染病史。男女发病率无明显差异。本病可发生于任何年龄,但好发于中青年人群。中国患者平均发病年龄为35岁,而其他国家的患者发病年龄更大。


疾病进程

先前,学者们认为TDLs是介于MS和ADEM之间的疾病。青少年ADEM患者可能伴发TDLs。Poser和Brinar认为TDLs是经典MS的变异表型,Lolekha和Kulkantrakorn亦同意该观点。近来,来自中国和其他国家的研究显示多数TDLs是单相病程,部分患者可转变为复发-缓解型MS(RRMS),或者复发型TDLs。极少数患者可伴发视神经脊髓炎谱系疾病(NMOSD)。


症状和体征

TDLs病灶主要位于大脑,少数位于脊髓。相较于胶质瘤,多数TDLs患者的症状和体征更重。但是,少数TDLs患者影像学表现很重而症状和体征相对较轻,又类似于胶质瘤。TDLs的常见症状包括头痛、言语含糊和肢体无力。部分患者可有认知和精神症状,如记忆力减退、反应迟钝和神志淡漠,容易被患者和家属忽视。症状通常会持续恶化或者出现新的症状,也可有视觉障碍。TDLs的症状和体征与病灶的位置和范围有关,一次病程中症状可以加重或出现新的症状,癫痫发作相对少,而更多见于胶质瘤。播散性或多发性病灶的TDLs可以影响认知,甚至引起尿便障碍。


TDLs更倾向于累及白质,但皮层和皮层下也可以受累。病灶可以是单发或多发,常为双侧,同时累及脊髓者极少。额叶病灶最常见,颞顶叶、基底节区、胼胝体和半卵圆中心也可出现。


辅助检查


脑脊液和血液学检查

1. 脑脊液检验:颅内压多正常或轻度升高,蛋白含量正常或轻-中度升高。细胞数通常在正常范围内。部分患者寡克隆带(OB)轻度或强阳性。髓鞘碱性蛋白(MBP)水平或IgG指数可升高。动态复查脑脊液OB持续阳性可提示其向MS转化的可能。


2. 血化验:极少数TDLs患者可转变为NMOSD,其血清AQP4抗体阳性。伴可提取性核抗原抗体阳性的患者更容易复发。


电生理检查

对于TDLs并非特异性检查,但视觉、脑干和体感诱发电位可作为亚临床依据,用于TDLs病灶的定位和受累范围的推断。


神经影像学

根据神经影像学形态特征,可以将TDLs的病灶分为三类(图1-7):(1)弥漫浸润性病灶:边界不清,不均匀强化,T2WI可见弥漫浸润性生长方式(图1a和b);(2)环形强化病灶:病灶为圆形或类圆形,呈闭环或开环强化(图1c);(3)巨大囊性病灶:T1WI低信号,T2WI高信号,边界清,环形强化(图1d)。


图1:三例TDLs患者,三种形态类型:浸润性(a和b),环形强化(c)和巨大囊性(d)


头颅CT

平扫时多数TDLs病灶呈低密度(图2a),少数为等密度(图3b),增强扫描时强化不明显。


头颅MRI
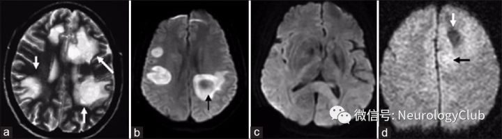
1. MRI平扫:TDLs病灶常为T1WI低信号,T2WI高信号,较CT显示的病灶范围大。约70-100%TDLs患者的病灶在T2WI上为高信号,边界清楚(图5b),而少数病灶的边缘可见T2WI低信号(图4a)。大多数TDLs病灶具有占位效应(图1a,2b,2c,和3a),但较脑肿瘤轻,病灶周围常可见水肿。在急性或亚急性期,水肿主要为细胞毒性水肿,DWI序列上为高信号(图4b)。经激素治疗后,病灶可在数周内变小或消失。


2. 增强MRI:在急性期或亚急性期,由于血脑屏障的破坏,增强MRI可见不同模式的强化,如结节状、闭环、开环或火焰状强化。开环强化又称为C形强化(图5a),是最典型的,即病灶边缘不连续的半环形强化。对于部分TDLs病灶,扩张的小静脉形成梳齿状结构(图1b和2d),垂直于侧脑室,常见于急性期或亚急性期,是TDLs相对特异的影像表现,而未见于脑肿瘤。


在中国,一项纳入60例TDLs患者的研究显示TDLs的病灶呈动态变化,和病情进展相一致:(a)在急性期(起病时间≤3周),病灶为斑片状或结节状强化(图5c);(b)在亚急性期(起病4-6周),病灶逐渐演变为开环、闭环或花环状强化,可伴有斑片状强化(图5d);(c)在慢性期(起病7周后),病灶仍呈开环或闭环强化,强化逐渐减弱或消失。


磁共振波谱成像(MRS)

MRS可以反应病灶内组织代谢产物,有助于TDLs和PCNSL的鉴别诊断。TDLs的MRS表现:胆碱(Cho)峰升高,N-乙酰天门冬氨酸(NAA)峰降低,多数病灶乳酸峰可一定程度地升高(图6a)。


磁共振灌注成像(PWI)

PWI可用于TDLs和脑肿瘤的鉴别。高灌注通常见于胶质瘤(图7a和b),而TDLs灌注多不增高(图7c和d)。


 图2:轴位CT上的TDLs病灶:双侧半卵圆区大片状低密度灶(a);FLAIR序列:右侧半卵圆区大片状高信号影,左侧半卵圆区多发斑片状高信号影(b);T2WI:右侧半球大片状高信号影(c);T1增强:梳齿状强化,垂直于侧脑室(d


图3:轴位MRI FLAIR上可见蝴蝶状的TDLs病灶(a);轴位CT上同样的病灶表现为大片状稍低密度影(b);胼胝体III级星形胶质细胞瘤,胼胝体压部和双侧顶枕叶之间可见大片弥漫稍高密度影(c);PCNSL患者(弥漫性大B细胞淋巴瘤)轴位CT可见左侧基底节区“肾”形高密度病灶(d


图4:T2WI上多发圆形的TDLs病灶,即“煎蛋”征(a);DWI序列示双侧侧脑室旁TDLs病灶呈高信号,伴有环形弥散受限(b);DWI序列可见PCNSL胼胝体压部病灶弥漫稍高信号(c);III级间变性星形胶质细胞瘤患者, DWI序列上可见右侧额叶片状低信号灶,周围可见弥漫高信号影(d)


图5:一例TDLs患者,增强T1WI可见闭环强化和开环强化,开口处朝向皮层;同时可见斑片状或结节状强化(a,起病22天);另一例TDLs患者,轴位T2WI可见双侧侧脑室额角和枕叶“云雾状”高信号灶伴随边缘低信号(b,起病30天);增强T1WI可见双侧侧脑室额角斑点状强化(c,起病10天);矢状位增强T1WI可见双侧侧脑室额角和枕叶“C”形强化,前者开口朝向侧脑室,后者朝向皮层(d,起病30天)


图6:一例TDLs患者,MRS示Cho峰明显升高,NAA峰轻度降低,Cho/NAA=1.28,乳酸峰(TE=144)升高,β、γ-Glx峰升高(a);一例III级间变性星形胶质细胞瘤患者,MRS示Cho峰升高,NAA峰降低,Cho/NAA=3.72,可见乳酸峰升高(b);一例PCNSL(弥漫性大B细胞淋巴瘤)患者,MRS示Cho峰升高,Cho/Cr=8.0,NAA峰在正常范围,脂质峰明显升高(c)


图7:一例胶质母细胞瘤患者,增强T1WI可见左顶枕叶结节状强化病灶(a),ASL示病灶高灌注(b);一例TDLs患者,轴位FLAIR可见皮层和侧脑室之间蝴蝶状皮层下病灶,累及胼胝体膝部(c);ASL示双侧病灶低灌注。ASL:动脉自旋标记


病理学


TDLs病灶主要累及脑白质,也可累及皮层和皮层下区域(图1a)。TDLs的病理学表现如下:(1)HE染色可见组织结构破坏和髓鞘脱失;(2)轴索神经丝蛋白免疫组化染色可见脱髓鞘区轴索保留;(3)HE和CD68免疫组化染色可见病灶内巨噬细胞吞噬髓鞘,在急性期,勒克司坚牢蓝(Luxol fast blue)染色可见巨噬细胞胞浆内充满髓鞘碎片;(4)病灶内及周围可见血管周围淋巴细胞浸润;(5)HE和胶质纤维酸性蛋白(GFAP)免疫组化染色显示病灶内不同程度的星形胶质细胞增生,GFAP或Holzer染色可见星形胶质细胞具有丰富的胞浆,伴偏心核和多发成星形过程;(6)多数病灶中,可见分散型Creutzfeldt细胞(偏心核、增大的星形胶质细胞),其特点为胞浆丰富,淡染色,核膜消失,染色质不规则被称为“流产核分裂”,容易误诊为胶质瘤。Creutzfeldt细胞并无诊断TDLs的价值,但同时伴有病理性脱髓鞘有助于TDLs的诊断;(7)TDLs的病理特征随着病程进展而变化。急性期(起病3周内)病理结果符合炎症反应急性期表现:病灶内炎症反应活跃,髓鞘大量脱失,不同程度的髓鞘内水肿。亚急性期(起病4-6周)病理结果符合炎症反应的慢性期表现:病灶边缘清晰,轴索相对保留,巨噬细胞包含髓鞘碎片,聚集在病灶周围。慢性期(起病7周后),阴燃或无炎症活动是主要的病理表现:病灶内部分髓鞘再生,无活动性炎症反应,病灶内可见少量炎症细胞,周围可见巨噬细胞和小胶质细胞,其胞浆内少见髓鞘碎片。逐渐的髓鞘再生是病灶非活动性炎性期主要的病理改变。


诊断标准


根据临床表现、实验室检查、神经影像和病理结果,TDLs的诊断标准包括基本标准、支持性标准、警示性标准和排除性标准。建议将TDLs的诊断分为三类:


1. 病理确诊的TDLs:TDLs典型的病理表现,无其它排除诊断的表现。


2. 临床确诊的TDLs:必须满足以下标准:(1)无排除诊断的依据;(2)符合所有基本标准;(3)6条支持性标准需满足至少4条;(4)无警示性标准。


3. 临床很可能的TDLs:必须满足以下标准:(1)无排除诊断的依据;(2)符合所有基本标准;(3)6条支持性标准需满足至少4条;(4)可存在警示性标准,警示性标准需要被支持性标准抵消:(a)存在一条警示性标准,需要至少多一条支持性标准;(b)存在两条警示性标准,需要至少多两条支持性标准;(c)警示性标准不能超过两条。


诊断标准细则

基本标准

1. 症状和体征持续超过24小时,在一段时间内进展,伴或不伴神经功能缺损。


2. 头颅MRI(≥1.5T):单发或多发病灶,至少一个病灶具有占位效应,伴或不伴水肿,病灶长轴需要≥2cm。


a. 占位效应评分:(a)轻度:脑沟消失;(b)中度:脑室受压;(c)重度:中线移位,或海马钩回疝,或大脑镰下疝。


b. 水肿评分:(a)轻度:<1cm;(b)中度:1-3cm;(c)重度:>3cm。


3. 主要累及脑白质。


4. 头颅CT病灶呈低密度或等密度。


5. 患者的临床表现、实验室结果和神经影像学表现不能被其它颅内病变所解释。

支持性标准

1. 对于临床症状和体征,需满足以下4条:(1)中青年起病;(2)急性或亚急性起病;(3)以头痛作为首发症状;(4)疾病严重程度与神经影像表现相符(一些感染性疾病临床症状重于影像学表现,胶质瘤则相反)。


2. 对于实验室结果,需符合以下5条中至少3条:(1)颅内压正常或轻度升高(通常≤240mmH2O);(2)脑脊液细胞数正常或轻度升高(通常≤50/mm3);(3)脑脊液蛋白正常或轻-中度升高(通常≤10000mg/L);(4)脑脊液OB阳性和/或MBP升高;(5)血清AQP4阳性。


3. 对于神经影像学表现,需符合以下2条中至少1条:(1)多发病灶,但非粟粒状,双侧大脑半球受累;(2)病灶边界清楚(有时在T2WI上有低信号边缘)。


4. 不同临床阶段(≤3周,4–6周,>7周)增强MRI表现呈动态变化:同样的病灶可表现为“结节状”、“斑片状”、“环形”(“开环形”、“花环状”、“火焰状”)强化,后期强化常逐渐消退。


5. 增强MRI上可见环形强化病灶,伴如下特征:环是不连续的,有一个或多个开口,呈“开环”、“C形”或“倒C形”强化。


6. “梳齿”征(“comb” sign)阳性:增强MRI见脑室周围“梳齿”状扩大的小静脉。

警示性标准

如果存在以下条目时,诊断TDLs的可能性减小:


1. 以下临床表现中存在至少1条:(1)起病年龄>60岁;(2)隐袭起病,病程超过1年;(3)影像学表现重,而临床症状和体征轻;(4)脑膜刺激征阳性;(5)发热时间超过24小时,而无其它已知的病因。


2. 以癫痫发作起病。


3. T1WI或T2WI上病灶边界不清。


4. 病灶内存在出血或坏死,或DWI序列病灶内低信号或高低混杂信号。


5. 增强MRI:病灶形态规则,边界平整,闭环强化。


6. MRS:病灶区Cho/NAA≥2或脂质峰高耸。


7. 大剂量激素治疗后3月内复发。

排除性标准

1. 脑脊液细胞学可见肿瘤细胞。


2. 头颅CT病灶呈高密度(已除外钙化、出血和海绵状血管畸形)。


3. 增强MRI:(1)PCNSL的典型表现:均匀片状强化,“缺口征(也即脐凹征)”或“握拳征”;(2)胶质瘤的典型表现:基底动脉“包绕”征;(3)其它肿瘤性或非肿瘤性病变的典型表现。


4. ASL或PWI:病灶明显高灌注。


5. PET-CT:病灶高代谢。


6. 确诊为非炎症性脱髓鞘疾病,如肿瘤、感染或血管炎。


鉴别诊断


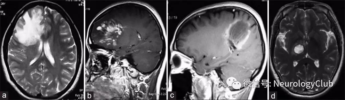
需与星形胶质细胞瘤,PCNSL,原发性中枢神经系统血管炎(PACNS)以及其他(如生殖细胞瘤,脑转移瘤等)鉴别(可参见文末相关链接)。


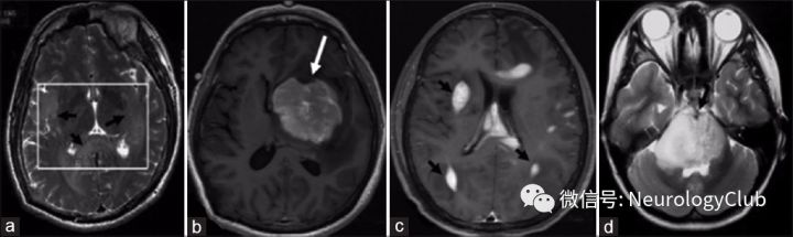
图8:一例III级间变性星形胶质细胞瘤患者,T2WI可见胼胝体压部,双侧颞叶弥漫高信号病灶(a);一例PCNSL(弥漫大B细胞淋巴瘤)患者,可见左侧基底节区大的圆形强化肿块伴上部“脐凹”(b);另一例PCNSL(弥漫大B细胞淋巴瘤)患者,可见多发脑室旁和脑室内病灶,均匀强化伴“雨滴”征或“尖角”征(c);一例II级弥漫性星形胶质细胞瘤患者,T2WI可见脑桥弥漫高信号伴脑干明显水肿,病灶将基底动脉前部分包绕其中(d)


图9:一例病理确诊的PACNS患者,额叶和顶叶可见圆形T2WI高信号伴脑回样T2WI低信号病灶(a);DWI上可见脑回样低信号病灶(b);T1WI可见额叶脑回样高信号(c);增强可见病灶脑回样强化(d)


治疗


(1)病理和临床确诊的TDLs:应该立即开始治疗。(2)临床很可能的TDLs:根据病灶的位置和手术风险的评估,建议行活检明确。如果病理结果不典型而无法诊断TDLs,分析失败原因后可重复活检和病理检查。根据病理结果而制定治疗方案。(3)如果根据病理结果无法诊断TDLs且由于各种原因无法再次活检,在排除禁忌症的情况下可使用激素治疗。治疗后,患者需要行增强MRI重新评估。如果病灶完全或大部分好转,则胶质瘤可能性非常小。但患者仍需要定期随访,若在半年内疾病复发或加重,需要考虑淋巴瘤的可能。


TDLs是中枢神经系统特殊类型的脱髓鞘疾病。根据近期关于该病预后的研究,大多数TDLs是单相病程,少数患者可能复发。部分患者可能与MS和NMOSD共病。对于复发型TDLs,应如同MS和NMOSD开始治疗,包括急性期和缓解期的管理(疾病修饰治疗)、营养神经、对症治疗、康复治疗和日常生活咨询。由于大多数TDLs患者是单相病程,较少复发,病灶相对较大,该病的治疗较为特殊,不同于NMOSD的“小剂量激素维持”治疗和MS的“短期激素”治疗

由于NMOSD和MS治疗方案存在显著差异,因此应该先进行血AQP4抗体检测。AQP4抗体阳性提示TDLs可转变为NMOSD,这类TDLs复发率高,神经功能缺损更明显。此时,TDLs急性期和复发时的治疗应参考“2016年中国视神经脊髓炎谱系疾病诊断与治疗指南”。对于AQP4抗体阴性的患者,治疗措施参考如下。


TDLs急性期的治疗

1. 治疗目标:急性期缓解症状,缩短病程,改善神经功能,使得病灶缩小甚至消失以达到影像学上的缓解或治愈,预防并发症。


2. 适应症:TDLs首次发作或新发神经功能缺损。


3. 药物和使用方法

激素

激素是首选治疗药物,可以缓解TDLs急性期的症状,减少病灶大小和影像上的强化。然而,相比于MS,TDLs的病灶更大,症状更严重,因此,激素冲击治疗后的减量过程应维持更长时间,以避免疾病的复发和加重。


a. 激素应用原则:大剂量冲击,缓慢减量。


b. (1)成人:甲强龙1000mg/天静脉滴注(IV)持续3-4小时,维持3-5天,然后逐渐减量,每次减半,每个剂量维持2-3天,当剂量减至120mg/天,80mg/天时,应改为口服甲泼尼龙(或相当剂量泼尼松龙)40mg/天×3天,然后减为32mg/天×3天,28mg/天×3天,后续每周减少1片,直至停止。(2)儿童:甲强龙20-30mg/kg/天,IV持续3-4小时,维持5天。考虑到激素对儿童的副作用,建议短程使用激素。如达到疾病完全缓解,即可开始口服泼尼松龙1mg/kg/天,然后每隔一天减少5mg直至停止;如果症状缓解较慢,剂量可每2-3天减半。当甲强龙减至80mg/天时,改为泼尼松龙(或甲泼尼龙)口服,减量方法同上。大多数TDLs患者对激素敏感,在静脉激素冲击序贯口服泼尼松龙后可缓解,在激素减量过程中,如果患者症状复发或新发症状,需要重新来一轮激素冲击疗法,或一个疗程的丙种免疫球蛋白(具体用法如下)。


c. 注意事项:(a)激素应该在早晨服用,与人体内源性激素节律一致,减少下丘脑-垂体-肾上腺轴的抑制作用。(b)大剂量激素可引起心律失常,因此静脉滴注激素不应太快,应在3-4小时内滴注完成。当发生心律失常时,应立即停止滴注激素,并及时给予处理。(c)其它不良反应包括低钾血症、高血糖、高血压、血脂异常、上消化道出血、骨质疏松、股骨头坏死等。可以考虑预防性使用质子泵抑制剂(护胃)、补钾、补钙、补充维生素等;此外,大剂量激素可能引起失眠,可给予唑吡坦对症处理。(d)对于怀疑PCNSL的患者,尽量避免在活检前使用激素,因为激素可以使影像和病理变得不典型,令诊断复杂化。


激素联合免疫抑制剂

对激素无反应的患者,可考虑联合免疫抑制剂,如硫唑嘌呤、环磷酰胺、霉酚酸酯、甲氨蝶呤和他克莫司等。目前尚无循证依据支持这些药物可治疗TDLs。其具体用法和注意事项可参考“2016年中国视神经脊髓炎谱系疾病诊断与治疗指南”。


静脉注射免疫球蛋白

尚无循证依据支持静脉注射免疫球蛋白可治疗TDLs。其可能适用于AQP4阳性的患者,无法使用激素的患者,激素治疗无效的患者,或者不适合使用免疫抑制剂的患者,如孕妇、哺乳期妇女和儿童。推荐用法:0.4g/kg/天,静脉注射,5天为一疗程。


复发型TDLs的维持治疗

1. 治疗目标:延缓疾病进展和预防复发。对于症状符合MS时间和空间多发性的患者,治疗包括免疫抑制和疾病修饰治疗(DMT),对于不符合MS或NMOSD的患者,即使缺乏循证依据,也可以考虑免疫抑制治疗。


2. 主要DMTs:美国FDA批准治疗MS的DMTs药物有10种:(a)一线:Betaseron(干扰素β-1b),Extavia(干扰素β-1b),Rebif(干扰素β-1a),Avonex(干扰素β-1a),醋酸格拉替雷,富马酸二甲酯,特立氟胺。(b)二线:那他珠单抗。(c)三线:米托蒽醌。目前,中国FDA批准的药物有Betaseron和Rebif。国外有报道芬戈莫德诱发TDLs的病例,使用时需当心。

专家推荐

对于血清AQP4阴性的复发型TDLs患者,可以使用DMT。具体使用方法和注意事项可以参考“2014年多发性硬化诊断和治疗中国专家共识”。


3. 免疫抑制剂:对于符合MS诊断标准的TDLs,可以将这些药物作为三线治疗选择;对于不符合MS或NMOSD诊断标准的TDLs,则可作为一线治疗药物。其中,硫唑嘌呤、环磷酰胺和霉酚酸酯是常用的药物。具体使用方法和注意事项可以参考“2016年中国视神经脊髓炎谱系疾病诊断与治疗指南”。


神经保护治疗

B族维生素包括维生素B1、甲钴胺、复合维生素B和叶酸可作为常规治疗药物。另外,神经生长因子、神经节苷脂和胞磷胆碱也可应用。


对症治疗

1. 抑郁/焦虑:推荐药物包括选择性5-羟色胺再摄取抑制剂(SSRIs),5-羟色胺-去甲肾上腺素再摄取抑制剂(SNRIs),去甲肾上腺素和特异性5-羟色胺能抗抑郁药(NaSSA)和5-羟色胺1A受体激动剂(如坦度螺酮)。


2. 认知受损:可应用胆碱能抑制剂。


3. 头痛:头痛是常见的首发症状。对于颅高压引起的头痛,可选用甘露醇和甘油果糖。也可应用其他止痛药物。


4. 痛性痉挛:可选用卡马西平、奥卡西平、普瑞巴林、加巴喷丁、巴氯芬和替扎尼定等药物。


5. 慢性疼痛和感觉异常:可选用普瑞巴林、抗抑郁药/抗焦虑药如阿米替林、5-羟色胺1A受体激动剂、SSRI、SNRI或NaSSA和替扎尼定等药物。心理治疗可作为补充治疗。


6. 疲乏和嗜睡:可选用莫达非尼和金刚烷胺。


7. 自主神经功能障碍:(a)对于尿失禁,可选用丙咪嗪、奥昔布宁、哌唑嗪和坦索罗辛。(b)对于尿储留的患者可予导尿。(c)便秘:可应用泻药,严重时可予灌肠。(d)性功能异常:可应用增强性功能的药物。


预后和随访


基于有限的数据显示,TDLs的预后良好。Liu等学者随访了60例TDLs患者3-6年,发现大多数患者恢复可,只有2例患者死亡(非TDLs相关的死亡)。TDLs多为单相病程,少部分患者可复发。部分患者可转变为MS,或合并NMOSD,而前者更多见。


随访策略:(1)对于所有TDLs患者都应进行电话随访(诊断3年内,病理确诊的患者至少每年一次,临床确诊的患者至少半年一次,临床很可能的患者至少3月一次)。(2)对于复发型TDLs患者,每3-6月应复查增强MRI。(3)对于病灶复发或增大的患者,建议头颅CT/MRI检查,必要时进行活检。


[参考文献]

Neuroimmunology Group of Neurology Branch of Chinese Medical Association; Neuroimmunology Committee of Chinese Society for Immunology; Immunology Society of Chinese Stroke Association.Chinese Guidelines for the Diagnosis and Management of Tumefactive Demyelinating Lesions of Central Nervous System.Chin Med J (Engl). 2017 Aug 5;130(15):1838-1850.


lql摘译,zyx审校


温馨提醒
请尊重我们的劳动成果,转载不要忘了注明出处哦~~~


分享 :