年轻女性,进行性头痛、恶心和闭经

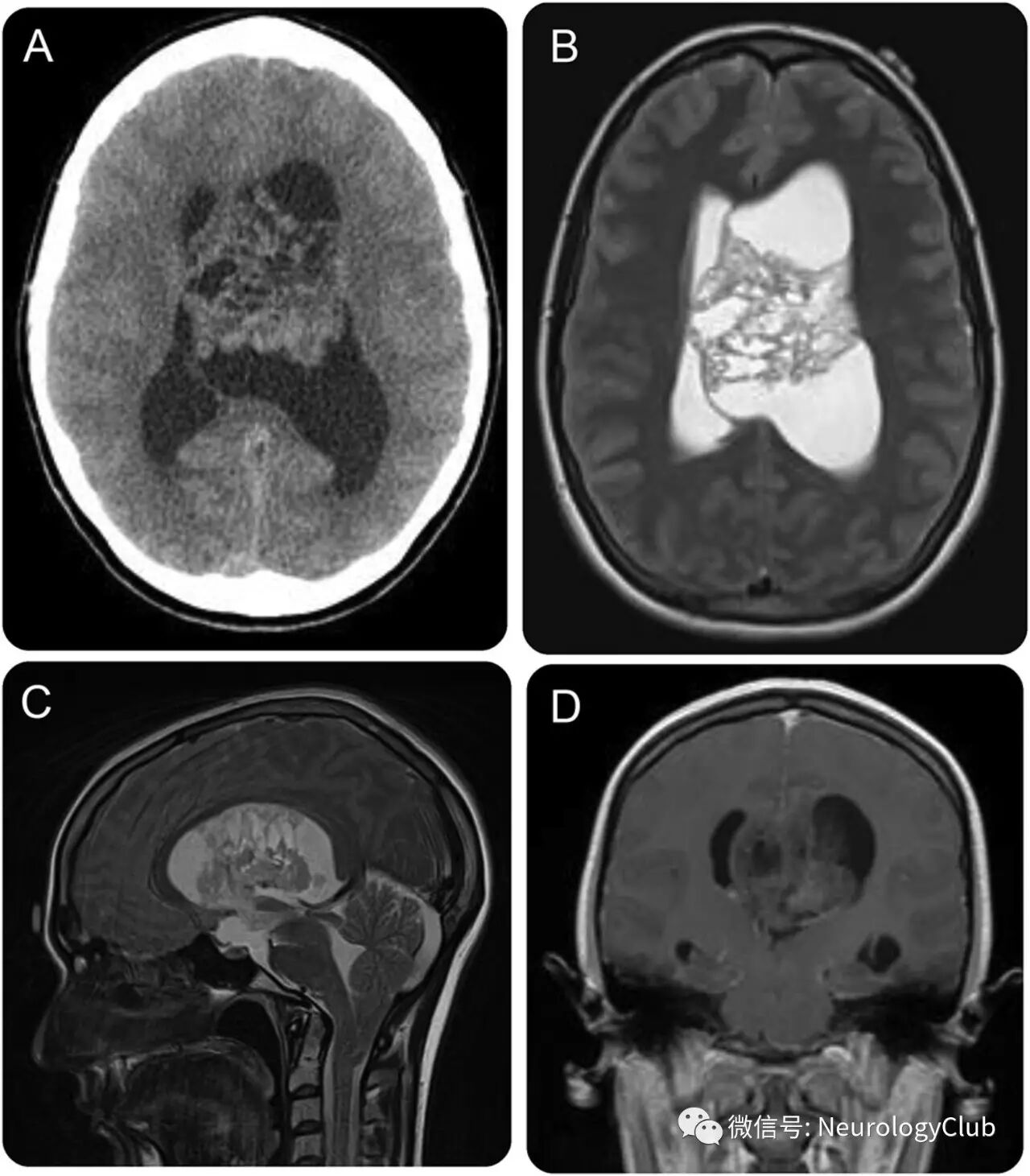
20余岁女性,表现为进行性加重的头痛,闭经和恶心6月。神经系统查体可见找词困难,右侧肢体轻度无力以及右侧轻度忽视。影像学提示左侧脑室内复杂的囊性不均匀强化的肿块,延伸累及Monro孔(图)。


(图:A:CT;B-C:T2WI;D:增强T1;可见5×5×4cm囊性肿块,导致脑积水;偶见存在大约2cm的小脑扁桃体下移[C],符合Chiari I畸形;临床表现的闭经可能因颅内压升高,鞍上池扩大间接压迫以及肿瘤直接作用于下丘脑所致)


诊治经过

患者行手术治疗,术后病理学证实为中枢神经细胞瘤。


最终诊断

中枢神经细胞瘤


讨论

这一良性肿瘤,占所有脑肿瘤的0.25%-0.5%,通常见于年轻人,起源于室管膜下神经前体细胞。治疗包括手术和放疗,预后普遍较好


MRI可以更好地显示中枢神经细胞瘤的范围,特别在矢状位和冠状位扫描对判断肿瘤范围和起源部位有很大价值。实性部分T1WI呈不均匀等低信号,T2WI 呈不均匀高信号;坏死、囊变部分呈更长T1、长T2信号;出血、钙化或肿瘤血管等有其相对特征性的信号表现;肿瘤形态不规则,增强扫描多呈较明显强化,其中可见迂曲粗大的血管影明显强化。周围水肿罕见,双侧或同侧脑室扩大。


影像学上需要与其他好发于侧脑室内的肿瘤相鉴别,其中发病部位与年龄,特殊的影像学表现对鉴别诊断非常重要。①脑室内脑膜瘤:多见中年妇女,主要在侧脑室三角区,形态规则,边界光整,多为均匀的等信号,强化明显。②室管膜瘤:主要发生于5岁前,好发于三角区,常与侧脑室室壁广基相连,沿脑室塑形生长,增强后呈不均质硅著强化。③脉络膜乳头状瘤: 最常见于10岁以下儿童,主要累及侧脑室三角区,易于侵犯室壁和室管膜下白质,引起水肿,增强扫描明显强化,并常引起交通性脑积水,成人则多见于第四脑室。④室管膜下巨细胞星形细胞瘤:多见于20岁以下青少年,常伴有结节性硬化,临床表现有癫痫、皮脂腺瘤、智力低下三联征。通常瘤体直径2-3cm,境界清楚,信号均匀,增强后显著强化。⑤少突胶质细胞瘤:单纯的脑室内少突胶质细胞瘤罕见,其钙化和囊变常见,坏死和出血少见,大而不规则的条带状或丛状钙化是特征性表现。⑥脑室内星形细胞瘤:也可发生钙化,但是20%的病例出现肿瘤周围水肿,而这在中枢神经细胞瘤极少见到。


[参考文献]

1. Smith-Cohn M, House PA, Anzai Y.Teaching NeuroImages: Central neurocytoma.Neurology. 2017 Sep 5;89(10):e126-e127.

2. 赵天平, 程敬亮, 张勇, 杜红, 张伟, 杨雷振.中枢神经细胞瘤的CT、MRI影像特点与鉴别诊断.实用放射学杂志.2009年2期.


温馨提醒
请尊重我们的劳动成果,转载不要忘了注明出处哦~~~


分享 :